腔隙性脑梗是陈旧性脑梗的一种特殊类型,它们的核心共同点都是“梗塞已经发生了一段时间,现在是稳定期”。

(图片来源网络,侵删)
陈旧性脑梗
定义
“陈旧性脑梗”是一个时间性描述,而不是一个病因或形态学的诊断,它指的是脑梗塞(也就是我们常说的“中风”或“缺血性脑卒中”)已经发生超过数周甚至更长时间。
当脑组织因为血管堵塞缺血坏死(梗塞)后,身体会启动修复机制,在急性期(通常是几周内),坏死区域是“新鲜”的,周围有水肿,临床上称为“急性期脑梗”,随着时间的推移(通常2-3周后),坏死组织被逐渐清除,由胶质细胞(大脑的“清洁工”)填充,形成一个囊状的疤痕,这个区域就变成了“陈旧性病灶”。
影像学特征
在CT或MRI上,陈旧性脑梗灶有非常典型的特征:
- CT(计算机断层扫描):表现为低密度(比周围正常脑组织颜色更深/更黑)的病灶,边界清晰,没有占位效应(不会压迫周围组织)。
- MRI(磁共振成像):这是诊断陈旧性脑梗最敏感的检查。
- T1加权像:表现为低信号。
- T2加权像和FLAIR像:表现为高信号(像一个小水泡或小空腔)。
- DWI(弥散加权成像):没有高信号,这是它与“急性期脑梗”最重要的区别,因为急性期细胞内水肿在DWI上是高信号的。
临床意义
- 病史证明:一旦在影像上看到陈旧性脑梗灶,就明确说明患者过去发生过脑梗塞,即使本人可能没有症状或已经忘记了。
- 风险评估:它是未来再次发生脑梗或其他心脑血管事件(如心肌梗死)的重要危险信号,医生会根据这个结果,对患者进行更严格的二级预防(如控制血压、血脂、血糖,使用抗血小板药物等)。
- 功能评估:如果病灶位于关键功能区,即使陈旧,也可能遗留永久的神经功能缺损,如肢体无力、言语不清等。
腔隙性脑梗
定义
“腔隙性脑梗”是一个病因和形态学描述,它特指大脑深穿支动脉(直径通常在0.2-2毫米之间)阻塞,导致其供血区域发生的小范围、深在的脑组织缺血坏死。

(图片来源网络,侵删)
因为阻塞的血管非常细小,所以梗塞灶的体积也很小,一般直径在5-2厘米以下,坏死组织被清除后,会留下一个小小的“腔隙”,故名“腔隙性脑梗”。
好发部位
主要发生在大脑的一些关键深部结构,如:
- 基底节区
- 丘脑
- 脑干(尤其是脑桥)
- 放射冠(大脑白质纤维束)
病因
最常见的病因是长期、严重的高血压,导致这些小动脉壁发生玻璃样变、纤维素样坏死,最终闭塞,其他原因包括糖尿病、高脂血症、小动脉粥样硬化等。
临床特点
- 症状多样但相对较轻:由于病灶小,通常不会引起大面积的神经功能缺损,其临床症状被称为“腔隙综合征”,
- 纯运动性轻偏瘫:一侧身体无力,但无感觉障碍或语言问题。
- 感觉运动性卒中:一侧身体无力和感觉障碍同时出现。
- 构音障碍-手笨拙综合征:说话含糊不清,同时手不灵活。
- 共济失调性轻偏瘫:一侧肢体无力且走路不稳。
- “无症状性”或“静息性”梗塞:非常常见!很多腔隙性脑梗灶发生在非关键功能区,患者完全没有症状,只是在做头颅CT或MRI检查时偶然发现。
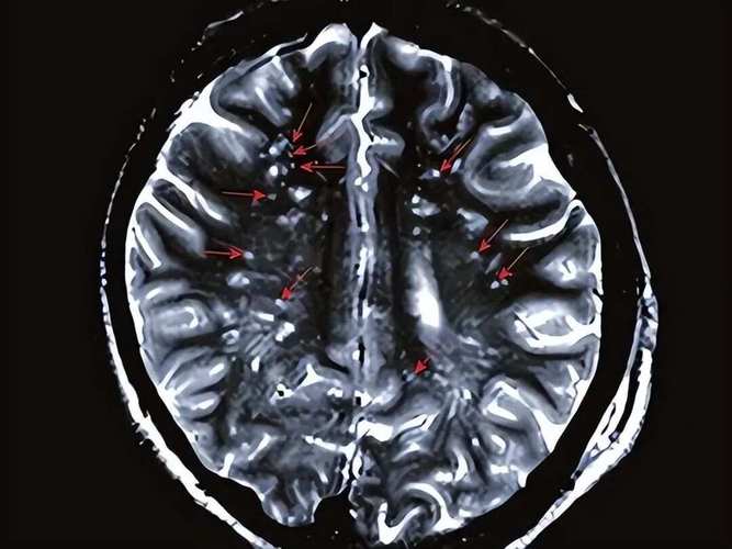
影像学特征
- CT:可能显示为一个小点状的低密度灶,但如果病灶太小或位于后颅窝(脑干、小脑),CT很容易漏诊。
- MRI:是诊断腔隙性脑梗的金标准,可以清晰地显示大脑深部的小点状、圆形或卵圆形的T2加权像高信号病灶。
两者的关系与区别
为了更清晰地理解,我们可以用一个表格来总结:

(图片来源网络,侵删)
| 特征 | 陈旧性脑梗 | 腔隙性脑梗 |
|---|---|---|
| 核心定义 | 时间概念:指梗塞发生一段时间后(>2-3周)的稳定期病灶。 | 形态/病因概念:指由小深穿支动脉阻塞引起的小范围梗塞。 |
| 病灶大小 | 可大可小,从几毫米到几厘米都有。 | 通常很小,直径<1.5-2厘米。 |
| 病因 | 各种原因导致的大、中动脉阻塞(如大动脉粥样硬化、心源性栓塞等)。 | 主要由长期高血压导致的小动脉病变。 |
| 好发部位 | 大脑任何动脉供血区,如大脑中动脉、前动脉、后动脉分布区。 | 主要在脑深部结构,如基底节、丘脑、脑干。 |
| 影像学 | CT/MRI显示为边界清晰的低密度/长T1长T2信号区,DWI阴性。 | MRI显示为脑深部的小点状长T2信号灶。 |
| 关系 | 腔隙性脑梗是陈旧性脑梗的一种特殊类型,一个小的腔隙性梗塞,在2-3周后,自然就变成了一个“陈旧性腔隙性脑梗”。 |
总结与建议
-
发现后怎么办?
- 不要恐慌:发现陈旧性或腔隙性脑梗灶,首先说明您有过一次“无声”或“已愈”的脑梗,但更重要的是,它是一个强烈的“健康警报”。
- 立即就医:请务必咨询神经内科医生,医生会评估您的整体健康状况,寻找导致这次脑梗的根本原因。
-
核心是“二级预防”
- 控制血压:这是预防脑梗复发最重要的一环,严格将血压控制在医生建议的目标值(lt;140/90 mmHg,根据情况可能更低)。
- 管理血脂:特别是降低“坏胆固醇”(LDL-C),通常需要他汀类药物。
- 控制血糖:对于糖尿病患者,严格控制血糖至关重要。
- 健康生活方式:戒烟限酒、低盐低脂饮食、规律运动、控制体重。
- 遵医嘱服药:医生可能会根据您的情况开具抗血小板药物(如阿司匹林)或抗凝药物,以预防血栓再次形成。
-
影像检查的重要性
- 头颅MRI是发现和评估这类病灶最敏感的检查,特别是对于微小的腔隙性梗塞。
陈旧性脑梗是“过去的故事”,腔隙性脑梗是“故事的类型”,发现它们,不是为了纠结于过去,而是为了更好地管理现在和未来,防止更严重的事件发生,积极干预,可以有效降低复发风险。
