这是一个非常好的问题,也是很多人在看到脑部CT或MRI报告时的常见困惑。

(图片来源网络,侵删)
简单直接的回答是:脑白质缺血灶不等于脑梗,但它们是密切相关的,脑白质缺血灶可以看作是脑梗的一种非常轻微、慢性的形式。
为了更好地理解,我们来详细拆解一下这两个概念的关系和区别。
什么是脑白质缺血灶?
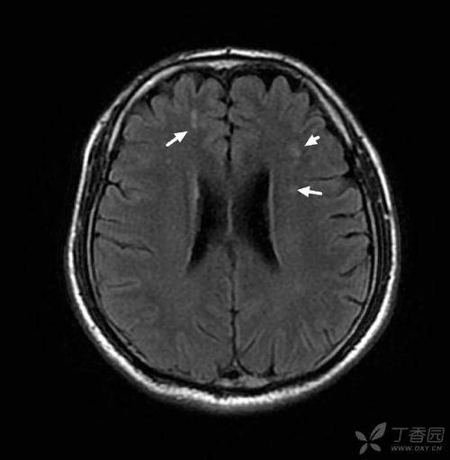
- 位置:位于大脑的“白质”区域,白质主要负责连接不同的脑区,传递神经信号,可以想象成大脑的“电缆”或“高速公路”。
- 病因:主要原因是长期的、慢性的脑部小血管缺血,这些小血管负责向白质区域供应血液,随着年龄增长、高血压、糖尿病、高血脂、吸烟等因素影响,这些小血管会变得狭窄、硬化,导致供应的脑组织长期处于“营养不良”的状态,最终发生轻微的、点状的缺血和坏死,形成这些小的病灶。
- 影像学表现:在磁共振上,这些病灶通常表现为点状、斑片状的异常信号,边界比较模糊,它们往往是陈旧性的,意味着是长期累积形成的,而不是急性发生的。
- 俗称:在医学上,这种由小血管病变引起的广泛白质改变,也常被称为“脑白质疏松”(Leukoaraiosis)或“慢性缺血性白质脑病”,在中老年人群中非常常见,很多人没有任何症状,只是在体检做头颅MRI时偶然发现。
你可以把它理解为:大脑高速公路(白质)的路面(小血管)年久失修,出现了一些小坑洼(缺血灶),虽然不影响整体通行,但反映了道路的老化和健康状况不佳。
什么是脑梗(脑梗死)?
- 位置:可以发生在大脑的任何地方,包括白质,也可以是灰质(负责思考、运动的“处理器”区域)。
- 病因:通常是急性的,由于某个较大的血管突然被血栓或栓子完全堵塞,导致该血管供应的脑组织在短时间内(几分钟到几小时内)严重缺血、缺氧,最终导致大片脑组织坏死,这是一个“急症”。
- 影像学表现:在CT或MRI上,急性脑梗死的病灶通常范围较大,形态不规则,边界相对清晰,在急性期,患者会突然出现相应的神经功能缺损症状,如偏瘫、失语、口角歪斜等,需要紧急就医。
- 俗称:就是我们常说的“中风”或“卒中”的一种类型。
你可以把它理解为:大脑高速公路上突然发生了严重的交通事故(血管堵塞),导致整条路完全不通,造成大范围交通瘫痪(脑组织坏死),必须紧急处理。

(图片来源网络,侵删)
两者的核心区别与联系
| 特征 | 脑白质缺血灶 | 脑梗死(脑梗) |
|---|---|---|
| 性质 | 慢性、渐进性 | 急性、突发性 |
| 病因 | 长期小血管缺血、老化 | 急性血管堵塞(血栓/栓子) |
| 病灶大小 | 微小、点状 | 较大、片状 |
| 症状 | 通常无症状,或轻微、非特异性(如头晕、记忆力下降) | 严重、特异性(如偏瘫、失语、意识障碍) |
| 紧急程度 | 不紧急,是长期管理问题 | 非常紧急,是医疗急症 |
| 关系 | 是脑梗的危险因素和前兆 | 是脑梗的急性发作形式 |
总结与建议
- 不等同:脑白质缺血灶不是急性脑梗死,看到“脑白质缺血灶”的报告,不必像看到“急性脑梗”那样恐慌。
- 是信号灯:脑白质缺血灶的出现,强烈提示你的脑血管已经出现了问题,处于一种“亚健康”或“老化”状态,它是未来发生更严重脑血管事件(包括急性脑梗、脑出血等)的重要危险信号。
- 怎么办?
- 咨询医生:拿着你的影像报告和结果,去看神经内科医生,让医生评估你的具体情况。
- 控制危险因素:这是最关键的一步!无论有没有症状,都应积极管理:
- 严格控制血压:高血压是导致小血管病变的首要元凶。
- 控制血糖和血脂:糖尿病和高血脂会加速血管硬化。
- 健康生活方式:戒烟限酒、低盐低脂饮食、规律运动、控制体重。
- 遵医嘱用药:如果医生认为需要,可能会开具一些改善循环、保护血管的药物。
- 定期复查:遵医嘱定期进行复查,监测病情变化。
脑白质缺血灶是大脑发出的一个“警告”,告诉你血管需要好好保养了,把它看作一个提醒,积极采取措施,可以有效降低未来发生严重脑梗的风险。

(图片来源网络,侵删)
