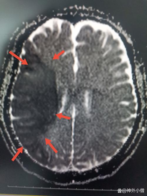
这是一个非常严肃的医学问题,答案是:是的,右侧侧脑旁的脑梗通常是比较严重的,需要立即就医。

(图片来源网络,侵删)
“侧脑旁”这个描述指的是病变位置紧邻侧脑室,这个位置的脑梗之所以严重,主要有以下几个关键原因:
损伤关键神经纤维束
大脑的白质区域(侧脑室周围主要是白质)是连接不同脑区的重要“高速公路”,由上行的感觉纤维和下行的运动纤维组成,侧脑室旁区域尤其重要,它包含了:
- 皮质脊髓束: 这是控制对侧肢体运动最关键的通路,如果这里的梗塞,会导致对侧(左侧)身体出现严重的偏瘫,可能包括整个左臂、左腿无法活动,肌肉张力增高(痉挛)。
- 皮质脑干束: 控制对侧的面部表情和吞咽功能,损伤会导致中枢性面瘫(左侧鼻唇沟变浅,口角向右歪斜)和吞咽困难,后者极易引发误吸性肺炎,是脑梗后常见的并发症和死亡原因。
- 感觉传导束: 损伤会导致对侧肢体感觉障碍,如麻木、针刺感、感觉减退或消失。
- 认知相关纤维: 梗塞范围如果较大,累及额叶、颪叶的连接纤维,还可能导致认知功能下降、记忆力减退、注意力不集中等问题。
容易引起大面积脑水肿
侧脑室旁区域空间相对较大,一旦发生梗塞,梗塞区域的细胞会迅速死亡,导致血管通透性增加,引发严重的脑水肿,由于侧脑室是大脑内的一个空腔,周围水肿会向压力较低的脑室中心挤压,导致颅内压急剧升高。
颅内压增高是极其危险的,它会:

(图片来源网络,侵删)
- 压迫健康的脑组织,导致神经功能进一步恶化。
- 使脑组织移位,可能形成脑疝,这是脑梗最致命的并发症之一,会迅速导致昏迷、呼吸心跳停止,死亡率极高。
累及重要的“生命中枢”
虽然侧脑室旁本身不是“生命中枢”(脑干才是),但严重的脑水肿会向上压迫间脑和脑干,影响维持心跳、呼吸和血压的基本生命功能。
恢复难度较大
由于损伤的是连接大脑皮层和脊髓的“主干道”,神经功能的恢复过程通常非常漫长且艰难,即使经过积极的康复治疗,很多患者也可能遗留永久性的残疾,如偏瘫、生活无法自理等。
严重程度还取决于什么?
除了位置,脑梗的严重程度还由以下因素决定:
- 梗塞面积大小: 梗塞范围越大,症状越重,预后越差,CT或MRI上显示的梗塞体积是判断预后的重要指标。
- 是否合并大血管闭塞: 如果导致梗塞的血管是大脑中动脉等大血管,梗塞面积通常会很大,病情危重。
- 就诊是否及时(时间窗): 是否在发病后的“黄金4.5小时”内到达医院,能否进行静脉溶栓治疗,或在“6-24小时”内进行动脉取栓治疗,直接关系到能否挽救濒临死亡的脑细胞,是决定预后的最关键因素。
- 患者的年龄和基础疾病: 年轻、没有高血压、糖尿病、心脏病等基础疾病的患者,通常恢复潜力更大。
总结与建议
右侧侧脑旁脑梗是一种严重的卒中类型,具有高致残率和高风险。

(图片来源网络,侵删)
如果您或您的家人出现以下任何症状,请立即拨打急救电话(如120),不要等待症状自行缓解:
- 突然出现的口角歪斜、流口水。
- 突然出现的左侧肢体无力或麻木(无法抬起左臂、无法行走、左手握不住东西)。
- 突然说话不清、听不懂别人的话。
- 突然视物模糊或看东西重影。
- 突然剧烈头痛、头晕、恶心呕吐。
- 突然意识模糊、反应迟钝。
送医后,医生会立即进行头颅CT或MRI检查,明确诊断,并评估是否符合溶栓或取栓的适应症,这是挽救生命和功能的关键。 后续的治疗和康复过程也需要在专业医生的指导下长期坚持。
