这是一个非常严重且复杂的情况,对于患者和家属来说无疑是一个巨大的打击,我们来详细解析一下“肺腺癌脑转移忽发脑梗”这个情况,希望能帮助您更好地理解病情和应对策略。

(图片来源网络,侵删)
核心问题:肺腺癌、脑转移、脑梗,这三者是什么关系?
这三者同时出现,绝不是孤立的事件,它们之间存在着密切且复杂的联系。
- 肺腺癌:是原发病灶,是“总根”。
- 脑转移:是癌细胞从肺部通过血液循环“跑”到了大脑,并形成了新的肿瘤,这是癌症的晚期表现之一。
- 脑梗(缺血性脑卒中):是大脑的血管被堵塞了,导致脑组织缺血坏死。
关键点在于:脑梗的发生,很可能与肺腺癌和脑转移有直接关系,而不仅仅是“巧合”。
脑梗的可能原因分析(为什么癌症患者容易发生脑梗?)
在癌症患者,尤其是晚期癌症患者中,发生脑梗的风险比普通人要高得多,主要原因有以下几种,需要医生仔细鉴别:
癌症相关的凝血功能异常(最常见、最需要警惕的原因)
这是癌症患者发生血栓(包括脑梗)的首要原因。

(图片来源网络,侵删)
- 高凝状态:癌细胞会分泌一些物质,激活人体的凝血系统,使血液处于“容易凝固”的状态,就像水变得粘稠一样,这种状态被称为“Trousseau综合征”,是恶性肿瘤的副肿瘤综合征之一。
- 直接风险:这种高凝状态使得患者体内非常容易形成血栓,血栓一旦脱落,随血流到达大脑,堵塞脑血管,就会引发脑梗。
- 脑转移的“助攻”:脑转移瘤本身也会压迫、刺激周围的血管,破坏血管壁,更容易在局部形成血栓。
治疗相关的副作用
- 化疗药物:很多化疗药物(如顺铂、长春碱类等)有损伤血管内皮、促进血栓形成的作用。
- 激素治疗:如果患者因脑水肿使用大剂量糖皮质激素(如地塞米松),虽然能快速减轻水肿,但长期或大剂量使用会增加血液粘稠度,从而升高血栓风险。
- 靶向治疗:部分靶向药也可能增加血栓风险,虽然相对少见,但仍需关注。
- 抗血管生成靶向药:这类药物(如贝伐珠单抗)通过抑制肿瘤新生血管来起效,但有时也可能影响正常血管,增加出血或血栓风险。
肿瘤直接压迫或侵犯
- 脑转移瘤如果长得很大,或者位置特殊,可能会直接压迫大血管(如颈内动脉、大脑中动脉),导致血流不畅甚至完全堵塞,形成类似脑梗的“缺血性”表现。
其他非癌症因素
- 传统风险因素:患者本身可能患有高血压、高血脂、糖尿病、房颤等基础病,这些都是脑梗的常见原因。
- 长期卧床:晚期患者活动量减少,容易导致下肢深静脉血栓形成,血栓脱落后随血流到达肺部(肺栓塞)或大脑(脑梗)。
临床上的诊断与鉴别
面对这种情况,医生的首要任务是快速、准确地判断脑梗的“元凶”,因为这直接决定了后续的治疗方案。
-
紧急影像学检查:
- 头颅CT:第一时间做,主要目的是排除脑出血,因为治疗脑梗和脑出血是截然相反的,如果误用溶栓或抗凝药物,会致命。
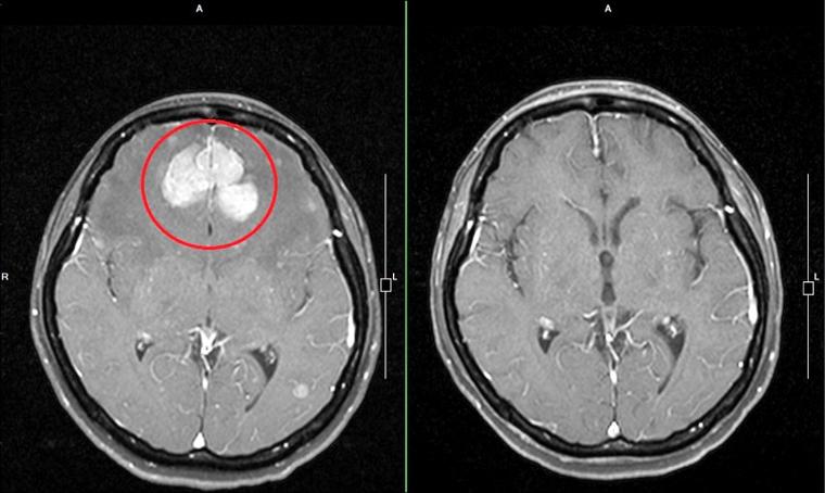
- 头颅MRI + DWI序列:这是诊断早期脑梗的“金标准”,可以清晰地显示缺血坏死的脑组织。
- CTA/MRA(血管成像):评估脑血管是否有明显的狭窄、闭塞或血栓形成。
-
寻找血栓来源:
- 心脏彩超:检查心脏内是否有附壁血栓(常见于房颤患者)。
- 颈动脉超声:检查颈部大血管是否有斑块或狭窄。
- 下肢血管超声:排查是否有深静脉血栓。
-
凝血功能评估:
(图片来源网络,侵删)检查D-二聚体等指标,如果D-二聚体显著升高,提示体内存在高凝状态或血栓形成,更支持是癌症相关的高凝状态导致的脑梗。
治疗策略:如何平衡“抗癌”与“抗凝”?
这是一个非常棘手的平衡问题,需要肿瘤科、神经内科、影像科、甚至介入科等多学科团队(MDT)共同决策。
脑梗的急性期治疗
- 时间就是大脑:如果是在发病4.5小时内(部分患者可延长至6小时),且严格排除禁忌症(如脑出血),可以考虑静脉溶栓,但前提是必须与主治医生充分沟通,权衡溶栓带来的出血风险(尤其是在有脑转移和正在使用抗凝药的情况下)。
- 血管内治疗:对于大血管闭塞,如果条件允许,可以考虑取栓手术。
- 对症支持治疗:控制脑水肿(使用甘露醇或激素)、维持生命体征、预防并发症(如肺炎、褥疮)。
抗凝治疗(预防血栓扩大和新血栓形成)
这是核心且最具争议的治疗环节。
- 为什么需要抗凝?:明确诊断为脑梗,通常需要使用抗凝药(如低分子肝素、利伐沙班等)来防止血栓进一步增大,并预防新的血栓形成。
- 最大的风险是什么?:出血,抗凝会增加脑转移瘤出血的风险,一旦发生肿瘤大出血,可能致命。
- 决策依据:
- 肿瘤负荷:脑转移瘤的数量、大小、位置,如果肿瘤很小、很稳定,出血风险相对较低。
- 出血风险:评估肿瘤是否靠近重要脑功能区,是否有出血倾向。
- 脑梗的严重程度:大面积脑梗本身就有出血性转化的风险。
- 患者的整体状况:预期生存期、体力状态评分等。
- 常用药物:临床上,对于癌症相关血栓,低分子肝素是常用的一线选择,因为它起效快、可逆、出血风险相对可控。
抗癌治疗的调整
- 暂停或调整某些治疗:如果正在使用会显著增加出血风险的靶向药或化疗药,可能需要暂时停用或更换方案。
- 优先控制脑转移:如果脑梗是由肿瘤压迫或高凝状态引起,积极控制脑转移病灶(如局部放疗、立体定向放疗SRS)本身就是治疗脑梗的根本方法之一,放疗可以缩小肿瘤,减轻压迫,同时部分放疗也有一定的抗凝、改善微循环的作用。
- 全身抗肿瘤治疗:在病情稳定后,需要尽快重启或调整全身治疗方案(如化疗、靶向治疗、免疫治疗),从根源上控制癌症,才能从根本上改善高凝状态。
给家属的建议
- 保持冷静,积极配合:情况虽然危急,但现代医学有多种手段可以应对,当务之急是与医疗团队充分沟通,了解所有治疗方案和利弊。
- 寻求MDT会诊:主动要求医院组织多学科会诊,整合各领域专家的意见,制定最适合患者当前情况的综合治疗方案。
- 重点询问:向医生问清楚几个核心问题:
- “我爱人/父亲的脑梗,最大可能的原因是什么?”
- “现在最危险的是什么?是脑梗本身,还是肿瘤出血?”
- “抗凝治疗的必要性和风险有多大?”
- “接下来的抗癌计划需要如何调整?”
- 做好护理工作:患者卧床期间,要特别注意定时翻身、拍背,预防肺部感染和褥疮,保证营养摄入,维持水电解质平衡。
- 关注心理支持:患者和家属都会承受巨大的心理压力,及时的沟通、专业的心理疏导非常重要。
肺腺癌脑转移患者突发脑梗,是一个极其凶险的合并症,其核心机制很可能是癌症本身导致的“高凝状态”。
治疗的核心在于平衡:既要积极处理脑梗,防止神经功能进一步恶化;又要最大程度地规避抗凝和抗癌治疗带来的出血风险,这需要经验丰富的医疗团队进行精细化的个体化治疗。
请务必与您的医疗团队紧密合作,共同为患者制定最佳的治疗路径,祝患者能平稳度过这个难关。
