第一部分:逐字解读报告
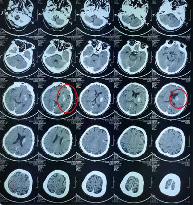
这份报告包含了三个关键信息点:检查方法(脑CT)、病变位置(基底节左侧)、病变性质(脑梗)。

(图片来源网络,侵删)
检查方法:脑CT(计算机断层扫描)
- 是什么? CT是一种利用X射线来生成大脑详细图像的检查,它可以快速、清晰地显示大脑的结构,帮助医生判断是否存在出血、肿瘤、梗塞等问题。
- 在脑梗中的作用: CT是诊断急性脑卒中的首选和最紧急的检查,它的主要作用是“排除脑出血”,因为脑梗和脑出血的治疗方法完全相反,在用药前必须明确是哪种情况,新鲜的脑梗塞在CT上早期可能看不出来,但可以排除更危险的脑出血。
病变位置:基底节左侧
- 基底节是什么? 您可以把大脑想象成一个复杂的城市,基底节就是这个城市里非常重要的“交通枢纽”和“控制中心”之一,它位于大脑的深部,负责协调运动、控制肌肉张力、以及参与一些高级认知功能。
- 左侧意味着什么? 大脑的左半侧主要控制右侧身体的功能,左侧基底节发生梗塞,通常会导致对侧(即右侧)身体出现症状。
病变性质:脑梗(脑梗死)
- 脑梗是什么? “梗”堵塞”的意思,脑梗,全称是“脑梗死”,也叫“缺血性脑卒中”,通俗地讲,就是给大脑某部分区域供血的血管被堵住了,导致该区域的脑细胞因为缺血缺氧而死亡。
- 为什么会堵? 最常见的原因是:
- 血栓形成: 血管壁上长出血栓,把血管堵死了(通常是长期高血压、高血脂、糖尿病导致血管硬化)。
- 栓塞: 身体其他地方(比如心脏或颈动脉)的斑块或血块脱落,随血流飘到大脑,把较细的脑血管堵住了。
第二部分:这意味着什么?(可能出现的症状)
根据“左侧基底节梗塞”这个位置,患者可能会出现以下一种或多种症状,具体取决于梗塞范围的大小和堵塞血管的分支:
运动功能障碍(最常见)
- 右侧偏瘫: 右侧手臂、腿无力或完全无法活动。
- 右侧肢体麻木: 感觉右侧身体像有东西裹着,或者针刺、蚂蚁爬的感觉。
- 右侧口角歪斜: 左侧的面部肌肉无力,导致嘴巴向左歪。
- 行走困难: 走路不稳,容易摔倒。
语言功能障碍(如果梗塞范围影响到语言中枢附近)
- 失语症: 表现为说话不清楚、表达困难(运动性失语),或者听不懂别人说的话(感觉性失语),或者读写能力下降。
认知和情绪问题
- 认知障碍: 可能会出现反应变慢、记忆力下降、注意力不集中等。
- 情绪障碍: 很多患者会出现抑郁、焦虑、情绪波动大、容易哭或笑等情况(这被称为“假性球麻痹”或与大脑边缘系统受损有关)。
第三部分:接下来应该怎么做?(紧急处理和后续治疗)
发现脑梗后,时间就是大脑!每分钟都有大量的脑细胞死亡。
紧急处理(黄金4.5小时)
- 立即拨打120! 这是最重要的一步,不要自行开车或让家人开车送医,因为专业的急救人员可以在途中就开始评估和初步处理。
- 明确时间窗: 医生会非常关键地询问患者“最后看起来正常是什么时候?”,如果这个时间在4.5小时以内,并且没有禁忌症,患者可能符合静脉溶栓的条件。
- 静脉溶栓: 这是一种通过注射药物(如阿替普酶)来溶解血栓的治疗方法,是急性期最有效的治疗手段,能显著降低致残率。
- 血管内治疗(取栓): 如果是大血管堵塞(如大脑中动脉),即使超过了4.5小时,在24-36小时内,如果患者符合条件,还可以通过介入手术将血栓直接取出来。
后续治疗和康复(长期过程)
一旦过了急性期,治疗的重点就转向了防止复发和功能恢复。
- 病因治疗: 医生会安排检查(如颈动脉超声、心脏超声、血脂、血糖等)来明确导致脑梗的根本原因,并进行针对性治疗。
- 药物治疗(二级预防):
- 抗血小板药物: 如阿司匹林、氯吡格雷,防止血小板聚集形成新的血栓。
- 他汀类药物: 如阿托伐他汀、瑞舒伐他汀,降低血脂、稳定斑块,这是预防复发的基石。
- 控制血压、血糖: 长期服用降压药、降糖药,将血压、血糖控制在理想范围内。
- 康复治疗: 这是恢复生活质量的关键,越早开始效果越好,康复是一个团队工作,包括:
- 物理治疗: 针对偏瘫,帮助患者重新学习走路、站立、转移等。
- 作业治疗: 帮助患者恢复日常生活能力,如穿衣、吃饭、洗漱、写字等。
- 言语治疗: 针对失语、构音障碍等进行训练。
- 心理治疗: 帮助患者和家属应对抑郁、焦虑等情绪问题。
第四部分:康复的希望和注意事项
- 康复是可能的: 大脑具有可塑性,通过科学的康复训练,受损的功能可以在很大程度上得到恢复,很多患者经过积极治疗和康复,能够生活自理,甚至重返工作岗位。
- 耐心和毅力: 康复是一个漫长且可能反复的过程,需要患者本人和家属极大的耐心和毅力,不要急于求成,循序渐进。
- 生活方式的改变: 这是预防复发的根本。
- 健康饮食: 低盐、低脂、低糖,多吃蔬菜水果、全谷物。
- 规律运动: 在医生指导下进行适度的有氧运动,如散步、慢跑。
- 戒烟限酒: 必须戒烟,严格限制饮酒。
- 保持心态平和: 避免情绪激动和过度劳累。
“脑CT基底节左侧脑梗”是一个严肃的诊断,意味着左侧大脑的交通枢纽发生了堵塞,导致了右侧身体可能出现功能障碍。

(图片来源网络,侵删)
核心要点:
- 时间就是大脑: 立即就医,抓住溶栓/取栓的黄金时间窗。
- 明确病因: 找到堵住血管的“元凶”(斑块、血栓等)。
- 长期预防: 坚持服药,控制好“三高”(高血压、高血脂、高血糖)。
- 积极康复: 尽早开始科学的康复训练,是恢复的关键。
请务必与神经内科医生密切沟通,制定最适合患者的个体化治疗方案,祝患者早日康复!

(图片来源网络,侵删)
