核心概念解释
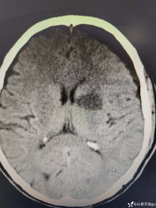
大面积脑梗
- 什么是脑梗? 脑梗,全称“脑梗死”,就是我们常说的“中风”的一种,它的本质是大脑的某一部分血管堵塞了,导致由该血管供血的脑组织因为缺血、缺氧而发生坏死。
- 什么是“大面积”? 这指的是梗死的范围非常广,通常影响到大脑的一个或多个主要动脉的供血区域,比如大脑中动脉是临床上最容易发生大面积梗死的血管,大面积脑梗意味着大量的脑细胞在短时间内死亡。
- 为什么会发生? 最常见的原因是血栓栓塞,即心脏(如房颤)或大血管的斑块脱落,随血流堵塞了脑部的主要动脉,其次是严重的脑动脉粥样硬化导致血管自身狭窄、闭塞。
脑沟裂消失
- 什么是脑沟裂? 我们的大脑表面不是光滑的,而是布满了凹凸不平的沟和回。脑沟是凹陷的裂隙,脑回是凸起的隆起,这些沟回极大地增加了大脑皮层的表面积,从而容纳了更多的神经细胞。
- 什么是“脑沟裂消失”? 这是指在医学影像(主要是CT或MRI)上,原本清晰可见的脑沟和脑回的形态变得模糊、平坦,甚至看不到了。
- 为什么会消失? 这不是脑沟真的“消失”了,而是因为严重的水肿(脑肿胀),当大面积脑梗死后,坏死的脑组织会引发一系列炎症反应,导致周围甚至远处的脑组织细胞内外都充满水分,就像一块海绵吸满了水一样,这种弥漫性的水肿会“填平”了脑沟和脑回的凹陷结构,因此在影像上表现为“脑沟裂消失”。
两者之间的关系:因果与恶性循环
“大面积脑梗”是“因”,“脑沟裂消失”是“果”,并且这个“果”反过来会加剧“因”,形成恶性循环。

(图片来源网络,侵删)
-
第一步:梗死发生
- 一条主要的脑动脉(如大脑中动脉)被堵死。
- 该动脉供血区的脑组织开始缺血,在几分钟到几小时内,这部分脑细胞就会发生不可逆的坏死,形成脑梗死灶。
-
第二步:水肿出现
- 坏死的脑组织会释放出大量的炎性物质和自由基,这些物质会破坏血脑屏障(保护大脑的一道屏障)。
- 血脑屏障被破坏后,血管里的水分和蛋白质就会不受控制地大量渗漏到脑组织中,引起血管源性水肿。
- 坏死的脑细胞自身也会肿胀,引起细胞毒性水肿。
- 这两种水肿共同作用,导致整个大脑半球(或受影响区域)的体积急剧增大。
-
第三步:脑沟裂消失
大脑半球的整体肿胀,就像一个吹得过大的气球,其表面的褶皱(脑沟裂)被撑开、拉平,最终在CT或MRI上表现为“脑沟裂消失”。
(图片来源网络,侵删) -
第四步:恶性循环——颅内压急剧升高
- 大脑被坚硬的颅骨包裹,是一个封闭的空间,当脑组织因水肿而肿胀时,颅内的压力会急剧升高,这就是颅内高压。
- 颅内高压会压迫那些尚未完全梗死的、但处于缺血边缘的脑组织,进一步加重它们的缺血缺氧,导致梗死范围扩大。
- 更严重的是,颅内高压会压迫脑血管,阻碍血液回流,使得水肿更加严重,形成“水肿→颅内压升高→加重水肿→颅内压更高”的恶性循环。
临床意义与严重性
“大面积脑梗合并脑沟裂消失”是一个极其危险的信号,预示着:
- 病情危重: 患者通常处于深度昏迷状态,对疼痛刺激无反应,一侧或双侧瞳孔可能散大,对光反射消失。
- 中线移位: 大脑半球严重肿胀时,会将脑组织从一侧推向另一侧,压迫对侧的大脑,并使位于大脑中间的结构(如脑室)偏移,这在影像上称为“中线结构移位”,这是颅内高压的严重表现。
- 脑疝风险: 这是最致命的并发症,当颅内压力高到极限时,肿胀的脑组织会通过颅骨的自然孔道(如小脑幕裂孔、枕骨大孔)被“挤”出去,形成脑疝,脑疝会压迫负责心跳、呼吸的脑干(生命中枢),导致患者呼吸心跳骤停,迅速死亡。
- 预后极差: 即使经过积极抢救,患者的死亡率也非常高,即使存活下来,也几乎都会留下严重的后遗症,如植物状态、重度偏瘫、失语等。
治疗原则
面对这种情况,治疗的核心是争分夺秒,打破恶性循环。
-
紧急溶栓或取栓(时间窗内):
(图片来源网络,侵删)- 溶栓: 在发病后4.5小时内(部分患者可延长至6小时),使用静脉溶栓药物(如阿替普酶)溶解血栓,但对于已明确形成大面积脑梗的患者,溶栓效果有限,且出血风险高。
- 机械取栓: 在发病后6-24小时内(对于符合条件的患者),通过介入手术将血栓直接取出来,是恢复血流最有效的方法,这是目前治疗大血管闭塞所致大面积脑梗的首选方案。
-
降颅压治疗(关键措施):
- 高渗性脱水剂: 静脉快速滴注甘露醇或高渗盐水,通过提高血液渗透压,将脑组织中的水分“抽”回血管里,从而快速减轻脑水肿,降低颅内压。
- 利尿剂: 如呋塞米,通过增加尿量来减少体内总水量,辅助降颅压。
- 抬高床头: 利用重力促进颅内静脉回流,有助于降低颅内压。
- 过度通气: 通过呼吸机让患者过度换气,使血液中二氧化碳浓度降低,引起脑血管收缩,从而快速降低颅内压(通常是临时性抢救措施)。
-
神经保护: 使用一些药物试图保护缺血半暗带(即濒临死亡的脑细胞)免受进一步损伤,但疗效尚不确切。
-
手术治疗(去骨瓣减压术):
- 对于药物无法控制的、即将发生脑疝的严重颅内高压,去骨瓣减压术是最后的救命手段。
- 手术方法是:在患者头部开一个较大的骨窗(去掉一块颅骨),让肿胀的大脑有空间向外膨出,从而极大地降低颅内压,为挽救生命争取时间,术后患者颅骨缺损处需要用钛板等材料修补。
大面积脑梗脑沟裂消失是一个描述灾难性脑梗死后果的影像学术语,它意味着大面积脑细胞坏死,并引发了致命的脑水肿和颅内高压,这是一个医学急症,治疗窗口极短,预后极差,需要立即送往有卒中救治能力的医院进行最高级别的抢救,治疗的关键在于尽快恢复血流,并采取一切措施降低颅内压,防止脑疝的发生。
