这是一个非常常见且重要的问题,对于怀疑轻微脑梗的患者,首选且最佳的检查方法是磁共振成像,特别是DWI序列(弥散加权成像)。

(图片来源网络,侵删)
下面我将从多个角度详细解释为什么,并对比CT的优缺点,帮助您做出最合适的判断。
核心结论:为什么首选核磁?
核磁在诊断早期、轻微脑梗方面,远比CT敏感和准确。
可以把脑梗理解为大脑里的“火灾”,CT就像是看房子的外墙,而核磁(尤其是DWI)则是直接探测房子内部哪里着火了。
-
时间优势(“时间窗”问题)
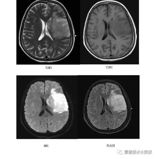
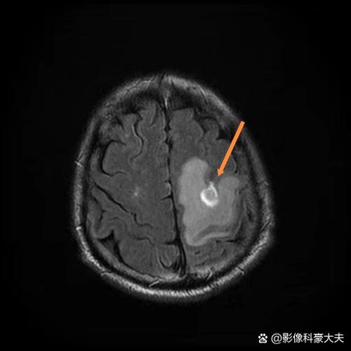
(图片来源网络,侵删)- 核磁: 可以在发病后30分钟到1小时内就发现脑梗死的迹象,它对早期细胞内的水分变化非常敏感,一旦脑细胞开始缺血坏死,DWI序列上就会显示出高信号(亮点)。
- CT: 在发病最初的6小时内,尤其是在轻微脑梗或小面积梗死的区域,CT往往是完全正常的,因为它需要等到脑组织因为缺血而发生水肿、密度改变后才能被看到,这个过程通常需要6小时以上,甚至更久。
-
敏感性优势
- 核磁: 对非常小的梗死灶、位于脑干、小脑等后颅窝的病灶,显示得非常清楚,轻微脑梗往往病灶很小,CT很容易漏诊。
- CT: 对于小于5毫米的微小梗死灶,检出率很低,而且后颅窝(小脑、脑干)的骨质伪影会干扰CT图像,影响观察。
-
鉴别诊断价值
- 核磁: 能够更好地鉴别脑梗和脑出血,通过其他序列(如FLAIR、ADC)可以帮助判断梗死的时期,是急性期还是亚急性期。
- CT: 虽然是诊断脑出血的“金标准”,但对于纯粹的缺血性脑梗,早期诊断价值有限。
两种检查的详细对比
| 特性 | CT (计算机断层扫描) | 核磁共振成像 |
|---|---|---|
| 诊断早期脑梗 | 不敏感,发病6小时内多显示正常,容易漏诊轻微脑梗。 | 非常敏感,发病30分钟-1小时内即可发现,是诊断早期脑梗的“金标准”。 |
| 诊断脑出血 | 非常敏感,是诊断脑出血的首选和“金标准”,发病即刻就能看到。 | 敏感,但急性期极少量出血可能不如CT。 |
| 辐射 | 有电离辐射,虽然单次剂量不高,但应尽量避免不必要的多次检查。 | 无电离辐射,对病人更安全。 |
| 检查时间 | 快,通常几分钟内就能完成,适合急危重症、不配合的患者。 | 长,通常需要20-30分钟,对病人制动能力要求较高。 |
| 费用 | 较低。 | 较高。 |
| 禁忌症 | 极少,主要是对碘造影剂过敏。 | 较多,体内有金属植入物(如某些心脏起搏器、动脉瘤夹)、幽闭恐惧症、妊娠早期(需谨慎)等。 |
临床决策流程:医生会怎么选择?
在实际临床中,医生会根据患者的具体情况选择:
首选核磁共振的情况(强烈推荐):
- 患者症状高度怀疑脑梗:如出现突发的口角歪斜、肢体麻木无力、言语不清、视物模糊等,但症状较轻。
- 在发病时间窗内:特别是发病在24小时内的患者,为了尽快明确诊断,指导治疗(如溶栓、取栓),必须做核磁。
- CT检查结果正常,但症状持续存在:这是最典型的情况,患者有明确的脑梗症状,但CT显示正常,此时必须立即做核磁来寻找病灶,以免漏诊。
先做CT的情况:
- 急性卒中绿色通道流程:当患者被怀疑是“中风”被送到急诊时,为了最快地排除脑出血(因为脑出血的治疗和脑梗完全相反),医生会立刻先做一个CT平扫,如果CT显示出血,就可以立即开始相应的治疗。
- 患者无法配合核磁检查:例如意识不清、躁动不安、体内有MRI禁忌的金属植入物等。
- 需要快速评估:对于一些病情危重,需要迅速了解颅内情况(如外伤、大出血)的患者,CT速度更快。
给您的建议
如果您的家人或您自己出现了疑似轻微脑梗的症状(如一过性的手脚发麻、说话不利索、眼前发黑等),请务必:

(图片来源网络,侵删)
- 立即就医:时间就是大脑,越早诊断,治疗效果越好。
- 主动与医生沟通:向医生清晰地描述症状的开始时间、具体表现。
- 强烈建议做核磁:您可以向医生说明,怀疑是脑梗,希望能做一个核磁共振(特别是DWI序列)来明确诊断,如果因为各种原因(如费用、禁忌症)无法做核磁,也应在症状出现后24-48小时复查CT,或者根据医生建议进行其他检查(如CTA/MRA检查血管)。
对于“轻微脑梗”这个诊断,CT的价值在于“排除”出血,而核磁的价值在于“确认”梗死,为了不漏诊、不延误治疗,核磁是无可替代的最佳选择。
