各个疾病的独立解读
心肌梗死 (心梗, Myocardial Infarction)
- 核心问题: 心脏的冠状动脉(为心脏供血的血管)被血栓堵塞,导致部分心肌因缺血缺氧而坏死。
- 常见原因: 动脉粥样硬化,血管壁上的斑块破裂,暴露出其内容物,身体误以为有“伤口”,迅速形成血栓堵住破口,从而堵死了血管。
- 典型症状:
- 胸痛/胸闷: 位于胸骨后或心前区,呈压榨感、紧缩感或烧灼感,可放射至左肩、左臂内侧、颈部、下颌。
- 大汗淋漓: 常常是冷汗。
- 呼吸困难: 心脏泵血功能下降导致。
- 恶心、呕吐、头晕、乏力: 尤其是女性和老年人,症状可能不典型。
- 关键点: 时间就是心肌,时间就是生命! 必须立即就医,进行溶栓或介入治疗(放支架)。
脑梗死 (脑梗, Ischemic Stroke)
- 核心问题: 脑部的动脉血管被血栓堵塞,导致该血管供应的脑组织缺血坏死。
- 常见原因: 与心梗类似,也是动脉粥样硬化,心房颤动(房颤)等心脏疾病产生的栓子脱落,随血流进入脑部堵塞血管(称为“心源性栓塞”)也是常见原因。
- 典型症状 (FAST原则):
- F (Face - 脸): 一侧面部下垂,口角歪斜。
- A (Arms - 手臂): 一侧手臂无力,无法抬起。
- S (Speech - 语言): 言语不清、表达困难或听不懂别人的话。
- T (Time - 时间): 出现上述任何一种症状,立即拨打急救电话!
- 关键点: 同样是争分夺秒,早期溶栓或取栓治疗可以挽救濒死的脑细胞,减少后遗症。
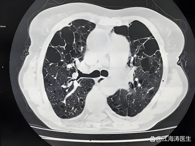
肺部感染
- 核心问题: 病原体(细菌、病毒、真菌等)侵入肺部,引起肺泡和肺间质的炎症。
- 常见类型: 支气管炎、肺炎,社区获得性肺炎和医院获得性肺炎都很常见。
- 常见原因: 身体免疫力下降、误吸(食物、口水)、长期卧床等。
- 典型症状:
- 咳嗽、咳痰: 痰液可能呈脓性、铁锈色或带血。
- 发热、寒战。
- 胸痛: 咳嗽或深呼吸时加重。
- 呼吸困难、气促。
- 关键点: 对于有基础病(如肺气肿、心梗、脑梗后卧床)的患者,肺部感染是极其危险的并发症,是导致病情加重甚至死亡的重要诱因。
肺气肿
- 核心问题: 一种慢性阻塞性肺疾病(COPD)的主要类型,肺泡(肺部进行气体交换的小泡)的结构被破坏,导致肺过度充气,弹性回缩力下降。
- 常见原因:
- 长期吸烟: 是最主要的原因。
- 空气污染、职业粉尘暴露等。
- 典型症状:
- 进行性加重的呼吸困难: 早期在活动后出现,后期静息状态下也感到气短。
- 慢性咳嗽、咳痰。
- 桶状胸: 胸廓前后径增大,像桶一样。
- 身体消瘦、乏力。
- 关键点: 这是一个不可逆的、进行性发展的慢性病,治疗目标是控制症状、延缓发展、提高生活质量。
四者之间的恶性循环关系
这四个病就像一个“死亡闭环”,一旦其中一个出现问题,就极易引发其他问题。

(图片来源网络,侵删)
中心环节:肺气肿和心脏功能
-
肺气肿 → 心脏负担加重 → 心衰 → 心梗风险增加
- 机制: 肺气肿导致肺部气体交换效率低下,血液中的氧气含量低(缺氧),二氧化碳含量高(二氧化碳潴留),为了给全身供氧,心脏必须更努力地泵血,长期如此,右心室会因负担过重而肥厚、扩大,最终发展为肺源性心脏病(肺心病)和右心衰竭。
- 后果: 心脏功能整体下降,更容易发生心律失常(如房颤),而房颤是脑梗(心源性栓塞)的最常见原因之一,心功能差也更容易在冠状动脉斑块的基础上诱发心梗。
-
肺部感染 → “压垮骆驼的最后一根稻草”
- 对肺气肿患者: 感染会急剧加重气道阻塞和缺氧,诱发或加重呼吸衰竭,呼吸衰竭会进一步加重心脏负担,直接导致急性心力衰竭、肺性脑病(因缺氧和二氧化碳潴留导致意识障碍),甚至猝死。
- 对心梗/脑梗患者: 这类患者往往身体虚弱,卧床,吞咽和咳嗽反射可能减弱,容易发生误吸,导致肺部感染,感染会升高体温,增加新陈代谢和耗氧量,给本已脆弱的心脏和大脑带来巨大压力,极易诱发心梗复发、脑梗加重或引发新的梗死。
-
心梗/脑梗 → 卧床 → 肺部感染风险飙升
(图片来源网络,侵删)- 机制: 心梗或脑梗后,患者常常需要卧床休息,长期卧床会导致:
- 痰液淤积: 咳嗽无力,痰液不易排出,堵塞气道。
- 坠积性肺炎: 肺部下半部分的血液流动缓慢,加上痰液淤积,极易滋生细菌,引发肺炎。
- 后果: 肺部感染反过来又加重了心梗和脑梗的病情,形成恶性循环。
- 机制: 心梗或脑梗后,患者常常需要卧床休息,长期卧床会导致:
总结这个循环:
肺气肿 → 长期缺氧 → 肺心病、心衰 → 心梗、脑梗风险↑ 心梗/脑梗 → 卧床、免疫力↓ → 肺部感染风险↑ 肺部感染 → 加重缺氧和心脏负担 → 心衰、呼吸衰竭 → 病情急剧恶化,甚至死亡
预防与管理策略
针对这个复杂的健康问题,必须采取综合性的管理策略。
-
源头预防:
(图片来源网络,侵删)- 严格戒烟: 这是对抗肺气肿和心脑血管疾病的最有效、最根本的措施。
- 控制基础病: 积极治疗高血压、高血脂、糖尿病,这是动脉粥样硬化的基础。
- 健康生活方式: 均衡饮食、规律运动、控制体重、保持良好心态。
-
定期体检:
定期检查肺功能(诊断肺气肿)、心电图、心脏超声、颈动脉超声、血脂、血糖等,早发现早干预。
-
科学治疗与康复:
- 肺气肿患者: 遵医嘱使用支气管扩张剂吸入剂,进行呼吸康复训练(如缩唇呼吸、腹式呼吸),接种流感和肺炎疫苗预防感染。
- 心梗/脑梗患者: 坚持服用抗血小板、调脂、控制心率的药物,定期复查,在医生指导下尽早进行康复训练,预防肌肉萎缩和关节僵硬,但避免过早过度劳累。
- 预防感染: 注意保暖,避免去人多拥挤的场所,勤洗手,保持口腔卫生。
-
家庭护理:
- 对于卧床病人,要定时翻身、拍背,帮助排痰,防止压疮和坠积性肺炎。
- 保持室内空气流通,温湿度适宜。
- 家属要密切观察患者的生命体征(呼吸、体温、精神状态),一旦出现异常,立即就医。
也是最重要的一点: 如果您或您的家人同时患有上述一种或多种疾病,请务必在专业的医生指导下进行系统性管理,不要自行用药或听信偏方,建立一个由心内科、神经内科、呼吸科医生共同参与的治疗团队,是实现最佳预后的关键。
