陈旧性脑梗死,也称为“软化灶”或“脑囊变”,指的是脑组织发生缺血性坏死并已被清除后留下的永久性病变,其MRI表现与急性期和亚急性期截然不同,主要反映了组织坏死后的一系列病理演变过程。

(图片来源网络,侵删)
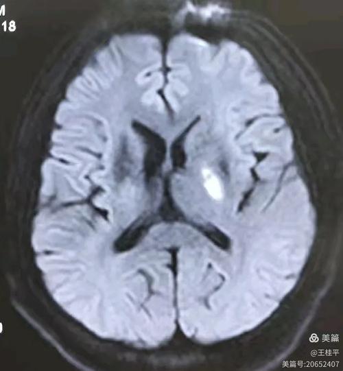
陈旧性脑梗死的MRI特点可以概括为 “长T1、长T2信号,信号均匀,边界清晰,无占位效应,可伴有脑萎缩和脑室扩大”。
下面我们根据不同的MRI序列进行详细说明:
常规序列表现 (T1WI, T2WI, FLAIR)
这是诊断陈旧性脑梗死最基本也是最重要的序列组合。
| 序列 | 主要特点 | 病理基础解释 |
|---|---|---|
| T1加权像 (T1WI) | 低信号 (暗区) | 坏死的脑组织被脑脊液或富含蛋白的液体替代,而脑脊液的T1值很长,因此在T1WI上呈低信号。 |
| T2加权像 (T2WI) | 高信号 (亮区) | 同样是由于液体(脑脊液)的填充,液体的T2值很长,因此在T2WI上呈明显高信号。 |
| FLAIR序列 | 高信号 (亮区) | FLAIR(液体衰减反转恢复)序列是一种特殊的T2加权像,它通过抑制脑脊液信号,使得靠近脑室和脑沟的病灶显示得更加清晰,陈旧性梗死的病灶内为液体,信号未被抑制,因此呈高信号,边界比在普通T2WI上更锐利。 |
核心特征总结:

(图片来源网络,侵删)
- 信号特征: 典型的 “长T1、长T2” 信号,即T1WI上低信号,T2WI和FLAIR上高信号。
- 信号均匀性: 病灶内部信号通常非常均匀,不像急性期那样混杂。
- 边界: 边界清晰锐利,这是因为坏死组织已被完全清除,形成了明确的囊腔或软化灶。
- 占位效应: 无或极轻微,急性期脑水肿导致的脑组织移位(占位效应)在陈旧性病灶中已经完全消失。
- 形态: 病灶的形态取决于其供血动脉的分布。
- 大脑中动脉梗死的典型形态为 楔形,尖端朝向侧脑室,底边朝向大脑皮层。
- 穿支动脉(深穿支)梗死则表现为 基底节区或丘脑的圆形或卵圆形 小病灶。
特殊序列表现 (DWI, SWI, MRA)
这些序列对于鉴别诊断和评估继发改变非常重要。
| 序列 | 主要特点 | 病理基础解释 |
|---|---|---|
| DWI (扩散加权成像) | 等信号或低信号 | 这是与急性期鉴别的关键!急性期脑细胞毒性水肿导致水分子扩散受限,DWI上呈高信号,而陈旧性梗死灶内为液体,水分子可以自由扩散,因此表现为等信号(与周围正常脑组织相似)或低信号(类似脑脊液)。 |
| ADC (表观扩散系数) | 高信号 | ADC值反映水分子扩散的自由度,陈旧性病灶内液体扩散不受限,ADC值升高,因此在ADC图上呈高信号,这与急性期的ADC低信号形成鲜明对比。 |
| SWI (磁敏感加权成像) | 可能呈低信号 | 如果梗死灶内发生陈旧性出血(含铁血黄素沉积),SWI上会显示出特征性的 “低信号环” 或 “低信号核心”,这是因为含铁血黄素具有很强的顺磁性,会导致局部磁场不均匀,在SWI上表现为显著的信号丢失,这是陈旧性梗死的一个常见但非必备的征象。 |
| MRA/CTA (血管成像) | 相应动脉闭塞或狭窄 | 如果导致梗死的血管病变(如动脉粥样硬化斑块、血栓形成)持续存在,MRA或CTA可能会显示相应供血动脉的 闭塞、重度狭窄或血流信号缺失,这对于病因诊断和复发风险评估至关重要。 |
伴随的继发性改变
陈旧性脑梗死不仅仅是局部的信号改变,还会引起一系列脑结构的继发性改变。
-
局部脑萎缩:
- 这是陈旧性梗死最常见的伴随表现,由于脑组织体积永久性丢失,病灶所在的脑叶会体积变小。
- 在MRI上表现为:脑沟加深、增宽,脑回变窄。
-
脑室扩大:
(图片来源网络,侵删)- 如果梗死灶靠近脑室或累及了大量的脑白质,会导致局部脑组织塌陷,使得邻近的脑室代偿性扩大,这种扩大通常是局灶性的,而不是全脑性的交通性脑积水。
-
胶质增生:
- 梗死灶的边缘会由星形胶质细胞增生形成的胶质瘢痕包绕,在MRI上,这表现为病灶边缘在T2WI和FLAIR上可能有一个 “稍高信号”的环,但这通常不如急性期水肿那样明显。
鉴别诊断
陈旧性脑梗死需要与其他一些在MRI上表现为长T1长T2信号的病变相鉴别:
- 脑囊虫病 (钙化或死亡期): 囊虫死亡后也会形成囊腔,信号类似,但形态多呈圆形或椭圆形,有时在病灶内可见到点状头节(T1WI上等信号,T2WI上低信号),SWI上也可能显示钙化。
- 脑穿通畸形: 这是一种先天性疾病,是脑室与脑表面之间的异常沟通,形成一个充满脑脊液的囊腔,其形态更不规则,直接与脑室相连。
- 手术后残腔: 有明确的手术史,形态不规则。
- 肿瘤囊变坏死: 囊变坏死区信号类似,但通常肿瘤主体在囊壁上可见强化,并且常有占位效应,而陈旧性梗死没有。
总结表格
| 特征 | 陈旧性脑梗死 | 急性期脑梗死 |
|---|---|---|
| T1WI | 低信号 | 等或稍低信号 |
| T2WI / FLAIR | 高信号 | 高信号(更明显) |
| DWI | 等或低信号 | 高信号 (关键鉴别点) |
| ADC | 高信号 | 低信号 (关键鉴别点) |
| SWI | 可有含铁血黄素低信号 | 可见微出血灶(点状低信号) |
| 占位效应 | 无 | 有(明显) |
| 强化 | 无或边缘胶质增生轻微强化 | 可见脑回状、斑片状强化 |
| 伴随改变 | 局部脑萎缩、脑室扩大 | 脑水肿 |
一句话总结陈旧性脑梗死的MRI特点: 在常规T1/T2序列上表现为一个边界清晰、信号均匀的“水样”长T1长T2信号灶,DWI上不呈高信号,并常伴有局部的脑萎缩和脑室扩大。
