核心概念解释
多发性脑梗塞
-
“梗塞”是什么? 梗塞,简单来说就是“梗死”或“堵塞”,在脑部,就是指供应大脑某一部分血液的血管被堵住了,导致该区域的脑组织因为缺血、缺氧而发生坏死。
(图片来源网络,侵删) -
“多发性”是什么? 指的是这种梗塞不是单一发生的,而是在大脑的不同位置、不同时间发生了多次梗塞。
-
为什么会堵住? 最常见的原因是动脉粥样硬化,就像水管里长了水垢,大脑的动脉血管壁上也会形成斑块,这些斑块一旦破裂或脱落,就会形成血栓,随血流堵住远端的较细血管,造成梗塞。
-
简单比喻: 把大脑想象成一个城市,血管是城市的供水管网。多发性脑梗塞就像是这个城市的不同区域,在好几次不同的时间里,因为水管(血管)被垃圾(血栓)堵住了,导致好几片区域(脑组织)断水(缺血)并最终干涸、损坏(坏死)。
脑软化灶
-
“软化”是什么? 软化,就是指组织变软、坏死,当脑组织因为缺血梗死后,它会开始液化、分解,最终形成一个“囊腔”或“洞”,这个区域就是软化灶。
(图片来源网络,侵删) -
“灶”是什么? “灶”在医学上通常指一个病变的局部区域,就像一个“病灶”。
-
它和脑梗塞的关系? 脑软化灶是脑梗塞(或其他原因导致的脑坏死)留下的“疤痕”或“遗迹”。
- 过程: 发生脑梗塞 → 脑细胞死亡 → 坏死的脑组织被身体清除 → 该区域形成一个充满液体的空腔 → 这个空腔就是“脑软化灶”。
- 时间: 脑梗塞是急性事件(突然发生),而脑软化灶是慢性结果(梗塞后数周、数月甚至数年才形成)。
-
简单比喻: 延续上面的比喻,脑软化灶就是那些断水区域干涸后留下的废墟和空洞,这些废墟是永久性的,不会恢复成原来的建筑。
两者之间的关系
一句话总结:多发性脑梗塞是“因”,脑软化灶是“果”。

(图片来源网络,侵删)
- 因果关系: 一次脑梗塞,就会在脑内留下一个软化灶。“多发性脑梗塞”的病人,其脑部影像(如CT或MRI)上通常就会看到多个脑软化灶。
- 时间关系: 新发生的脑梗塞在影像上可能表现为新鲜的梗死灶(急性期),而旧的脑梗塞则表现为已经形成的软化灶(慢性期),一个病人脑里可能同时存在“新梗塞”和“旧软化灶”。
它们的临床意义
多发性脑梗塞的临床意义:
- 急性期危害: 每一次新发的梗塞,都可能导致突发的神经功能缺损,如偏瘫、失语、口角歪斜、视力模糊、眩晕、意识障碍等,这是需要紧急抢救的。
- 复发风险高: “多发性”本身就说明患者的脑血管基础病(如高血压、高血脂、糖尿病、动脉粥样硬化)非常严重,未来再次发生脑梗塞的风险极高。
- 病因提示: 强烈提示患者存在严重的血管病变,需要积极查找和控制病因。
脑软化灶的临床意义:
- 代表“陈旧性”病变: 看到软化灶,医生就知道这里以前发生过脑梗塞或其他类型的脑损伤(如脑出血、脑外伤等)。
- 反映脑功能受损: 软化灶所在的位置,决定了它可能造成的永久性后遗症,运动区的软化灶可能导致永久性的肢体无力;语言区的软化灶可能导致永久性的失语。
- 是脑萎缩的一部分: 多个软化灶会使得脑组织的体积减少,加剧脑萎缩,脑萎缩与认知功能下降、记忆力减退、痴呆等有密切关系。
- 癫痫的风险: 某些软化灶(尤其是位于脑皮层的)可能会成为异常放电的源头,增加日后发生癫痫的风险。
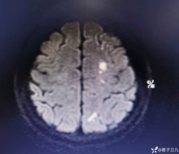
影像学表现(如何看懂报告)
-
CT(计算机断层扫描):
- 急性期脑梗塞(几个小时到几天内): 早期可能看不出异常,24小时后才会显示为低密度(发黑)的区域。
- 慢性期脑软化灶: 表现为边界清晰的低密度(发黑)区域,形态不规则,像一个“洞”。
-
MRI(磁共振成像):
- 急性期脑梗塞: 对早期梗塞非常敏感,几小时内就能发现,表现为T2加权像和FLAIR像上高信号(发白),DWI像上高信号(发白),这是诊断急性脑梗塞的金标准。
- 慢性期脑软化灶: 表现为T1加权像上低信号(发黑),T2加权像和FLAIR像上高信号(发白),其内信号均匀,像脑脊液。
治疗与管理
治疗的核心是“二级预防”,即防止新的脑梗塞发生,同时管理好已有的后遗症。
-
病因治疗(根本):
- 严格控制“三高”: 严格管理血压、血糖、血脂,这是最重要的基础。
- 抗血小板治疗: 常用药物如阿司匹林、氯吡格雷等,防止血小板聚集,形成新的血栓。
- 他汀类药物: 降低血脂,稳定甚至逆转动脉粥样硬化斑块。
- 抗凝治疗: 对于心源性栓塞(如房颤)的患者,需要使用华法林或新型口服抗凝药。
-
生活方式干预(基础):
- 健康饮食: 低盐、低脂、低糖饮食。
- 规律运动: 每周进行适量的有氧运动。
- 戒烟限酒。
- 控制体重。
-
康复治疗(功能恢复):
- 物理治疗: 针对肢体瘫痪,进行肌力训练、平衡训练等。
- 作业治疗: 训练日常生活自理能力。
- 言语治疗: 针对失语、构音障碍等进行训练。
- 认知训练: 针对记忆力、注意力下降进行训练。
-
对症治疗:
- 如果出现癫痫,需要长期服用抗癫痫药物。
- 如果出现痴呆症状,给予相应的认知改善药物和护理。
| 特征 | 多发性脑梗塞 | 脑软化灶 |
|---|---|---|
| 性质 | 疾病过程(急性事件) | 疾病结果(慢性遗迹) |
| 含义 | 大脑多处血管堵塞,导致脑组织缺血坏死 | 脑组织坏死、液化后留下的永久性“疤痕”或“空洞” |
| 关系 | “因” | “果” |
| 影像表现 | 急性期为低密度/高信号灶 | 慢性期为边界清晰的低密度/信号灶,像“洞” |
| 临床意义 | 提示复发风险高,需紧急处理和长期预防 | 代表既往脑损伤,与永久性后遗症和脑萎缩有关 |
如果您或家人被诊断为“多发性脑梗塞”或“脑软化灶”,请务必在神经内科医生的指导下,进行系统、长期的病因治疗和生活方式管理,这是预防病情恶化、提高生活质量的关键。
