这是一个非常严重且危急的神经系统疾病组合,请您务必以医生的专业诊断和治疗为准,以下信息是基于医学知识的详细解释,旨在帮助您更好地理解病情,不能替代任何医疗建议。

(图片来源网络,侵删)
这意味着什么?
当这几个词组合在一起时,描述的是一次极其凶险的脑卒中(中风)事件,并且病情已经发展到非常危重的阶段,可以把它想象成大脑这个“精密仪器”内部发生了三重灾难:
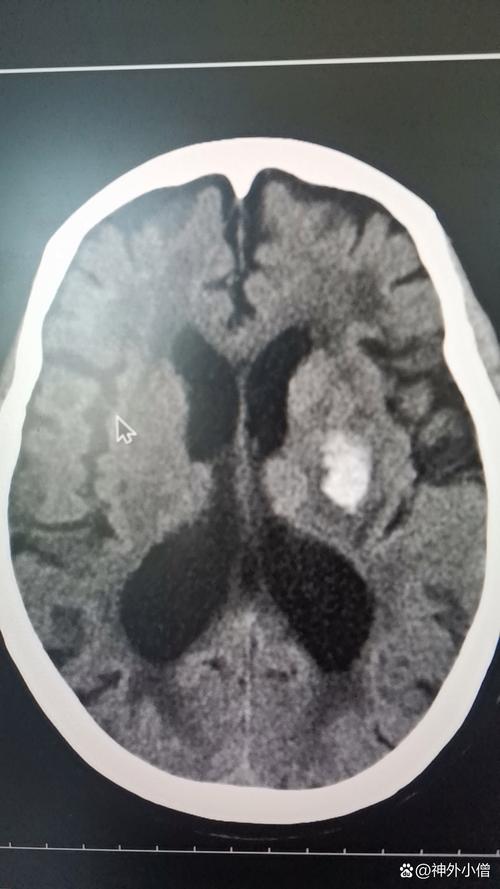
- 脑梗 (缺血性损伤):大脑某条血管堵塞了,导致一部分脑组织因为缺血缺氧而开始坏死。
- 出血 (破坏性损伤):在缺血区域,或者因为其他原因(如高血压导致血管破裂),血管破裂了,血液流到了大脑不应该有血液的地方,形成血肿,直接压迫和破坏周围的脑组织。
- 积液与脑干变形 (灾难性后果):
- 积液:血液和坏死的脑组织会像“垃圾”一样,刺激大脑产生大量的脑脊液来“冲洗”和包裹这些有害物质,导致颅内压力急剧升高,血肿本身也会占据空间。
- 脑干变形:颅腔是一个封闭的空间,里面的压力急剧增高后,会把整个大脑向压力最低的地方——颅底的枕骨大孔挤压。脑干是连接大脑和脊髓的生命中枢,控制着呼吸、心跳、血压等所有基本生命活动,当它被挤压、变形、移位时,意味着生命中枢受到了直接的、致命的威胁。
对每个部分的详细解释
脑梗
- 病因:通常由血栓(血管内形成的血块)或栓子(从其他地方脱落随血流而来的物质)堵塞了脑血管。
- 后果:被堵塞血管供应的脑细胞会因缺乏氧气和葡萄糖而在几分钟内开始死亡,导致相应的神经功能丧失,如偏瘫、失语、意识障碍等。
出血
- 病因:最常见的原因是高血压,长期高压使血管壁变脆、硬化,容易破裂,也可能是梗死后继发出血(即出血性转化),或者是血管畸形破裂。
- 后果:流出的血液会形成一个血肿,像一个不断膨胀的“气球”,对周围脑组织产生物理性压迫,导致神经细胞迅速死亡,血液分解后产生的有毒物质也会进一步损伤脑组织。
积液与脑干变形 (最危险的部分)
这是脑梗和出血共同导致的颅内压增高的最终表现。
-
积液 (Edema/脑水肿):
- 血管源性水肿:血脑屏障被破坏,血浆成分从血管漏到脑组织间隙,导致组织肿胀。
- 细胞毒性水肿:脑细胞缺血缺氧后,能量耗尽,无法维持正常的离子平衡,导致细胞内水肿。
- 这些“积水”和肿胀使得颅腔内容物体积急剧增加。
-
脑干变形 (Brain Stem Herniation/脑疝):
(图片来源网络,侵删)- 颅腔是一个坚硬的骨性盒子,没有多余的空间,当颅内压力过高时,大脑组织会被迫从压力高的区域向压力低的区域移位。
- 枕骨大孔疝:这是最危险、最常见的类型,由于小脑和脑幕下的压力极高,位于颅底最中央的脑干会被向下挤压,穿过枕骨大孔,进入椎管。
- 后果:脑干内部密集地分布着负责心跳、呼吸、血压等生命基本活动的神经核团,一旦脑干被挤压、变形、移位,这些生命中枢就会受到直接损伤或压迫,导致:
- 呼吸心跳停止:这是最直接的致命危险。
- 意识丧失加深:从嗜睡、昏迷到深昏迷。
- 瞳孔变化:一侧或双侧瞳孔散大,对光反射消失,是脑干受压的典型体征。
- 四肢去脑强直或去皮层强直:异常的肢体姿势,是脑干严重受损的表现。
治疗原则
面对如此危重的病情,治疗的核心目标有两个:救命和减轻神经损伤。
-
降低颅内压:这是首要任务,也是最紧急的。
- 药物脱水:使用高渗脱水剂(如甘露醇)、利尿剂等,强行将脑组织中的水分“吸”到血管里,然后通过小便排出,从而快速降低颅内压。
- 过度通气:通过呼吸机让患者过度换气,使血液中的二氧化碳浓度降低,引起脑血管收缩,减少脑血流量,从而降低颅内压,但这是临时措施,不能长期使用。
- 手术减压:如果血肿很大,或者药物无法控制颅内压,可能需要紧急开颅手术,清除血肿、去除部分颅骨(去骨瓣减压术),为肿胀的大脑腾出空间。
-
控制出血:
- 如果是活动性出血,需要手术止血。
- 如果是高血压导致的,需要静脉使用强效降压药,将血压严格控制在一个安全的范围内,防止进一步出血。
-
治疗脑梗:
(图片来源网络,侵删)- 如果在发病的极早期(如4.5小时内),且没有禁忌症,可能会考虑使用溶栓药物(如阿替普酶)来溶解堵塞血管的血栓,但在已经出血的情况下,这是绝对禁忌的。
- 后期治疗主要是改善侧支循环、营养神经、预防并发症等。
-
生命支持与并发症防治:
- 患者通常需要进入重症监护室,使用呼吸机辅助呼吸,严密监测生命体征(心率、血压、血氧等)。
- 积极防治肺部感染、应激性溃疡、深静脉血栓、褥疮等常见并发症。
预后
这个组合的预后极差,死亡率非常高,即使存活下来,也极有可能留下严重的后遗症,如:
- 植物生存状态
- 严重的四肢瘫痪
- 失语、吞咽困难等
- 认知功能障碍
预后的好坏取决于:
- 出血量和位置:出血越多,越靠近脑干,预后越差。
- 脑干受压和变形的程度:这是决定性因素,一旦发生,生命中枢功能受损,抢救难度极大。
- 治疗是否及时有效:能否在“黄金时间窗”内有效降低颅内压是关键。
- 患者的年龄和基础状况:年轻、身体基础好的患者恢复潜力相对大一些。
“脑梗出血积液脑干变形”是神经科最危重的急症之一,它意味着大脑经历了缺血、出血、水肿三重打击,并且最关键的生命中枢——脑干,已经因为颅内压过高而受到致命性压迫。
当前最重要的是:
- 完全信任并积极配合神经外科和ICU医生的治疗方案。
- 做好面对最坏结果的心理准备,同时也要保持希望,现代医学有强大的抢救手段。
- 与医疗团队保持密切沟通,了解病情的每一阶段变化。
这是一个对家属和患者都极其艰难的时刻,请务必照顾好自己的情绪,这是支持患者的重要力量。
