核心原则:时间就是生命!
对于这三种疾病,“黄金救治时间”的概念至关重要:

(图片来源网络,侵删)
- 心梗: 发病后 1-2小时 内是开通血管的黄金时间。
- 脑梗: 发病后 5小时(部分患者可延长至6小时)内是静脉溶栓的黄金时间,6-24小时内是动脉取栓的黄金时间。
- 脑溢血: 虽然没有像心梗和脑梗那样的“溶栓/取栓”黄金窗,但立即就医控制血压、防止出血加重和降低颅内压是决定预后的关键。
任何疑似症状出现,不要犹豫,立即拨打急救电话(在中国是120),并清晰说明患者的症状和情况。
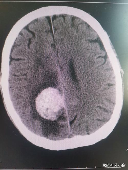
脑溢血
脑溢血,也叫脑出血,是指非外伤性脑实质内血管破裂引起的出血,最常见的原因是高血压。
如何识别?(FAST原则是脑梗的,脑溢血有不同特点)
除了FAST原则,脑溢血还可能伴随以下更剧烈的症状:
- 突发的、剧烈的头痛: 被形容为“一生中最严重的头痛”,可能伴有恶心、呕吐。
- 意识障碍: 很快出现嗜睡、昏睡甚至昏迷。
- 血压急剧升高: 患者可能既往有高血压病史。
- 其他神经系统症状:
- 偏瘫: 一侧肢体无力或无法活动。
- 言语障碍: 说话含糊不清或无法说话。
- 口角歪斜: 一侧面部下垂。
- 视力模糊或视野缺损。
- 抽搐。
- 颈部僵硬。
关键区别点: 脑溢血的头痛和意识障碍通常比脑梗更严重、更迅速。

(图片来源网络,侵删)
如何检测和诊断?(在医院进行)
- 体格检查: 医生会检查患者的意识、瞳孔、肢体活动、语言能力、生命体征(尤其是血压)等。
- 影像学检查(金标准):
- 头颅CT扫描: 这是首选和最快的检查,CT可以清晰地显示脑内的出血部位、出血量大小,以及是否破入脑室,在发病几分钟内就能确诊。
- 头颅MRI(磁共振成像): 对于某些不典型的或亚急性期的出血,MRI有更高的敏感性,但通常不如CT快捷。
脑梗
脑梗,也叫缺血性脑卒中,是指因脑部血管阻塞导致局部脑组织缺血、缺氧而发生坏死,最常见的病因是血栓或栓子堵塞脑血管。
如何识别?(牢记FAST原则)
这是公众最容易掌握和记忆的口诀:
- F - Face (面部歪斜): 请患者微笑,观察是否有一侧口角歪斜。
- A - Arm (手臂无力): 请患者闭眼,双臂平举10秒,观察是否有一侧手臂无力、下坠。
- S - Speech (言语不清): 请患者重复一句简单的话(如“今天天气很好”),观察是否说话含糊、用词错误或无法说话。
- T - Time (立即就医): 出现以上任何一种症状,立即拨打120!
其他可能症状:
- 一侧或双侧肢体麻木、无力。
- 看东西重影、模糊或视野缺损。
- 眩晕、剧烈头痛、行走不稳、突然摔倒。
- 原因不明的昏迷。
如何检测和诊断?(在医院进行)
- 体格检查: 医生会进行详细的神经系统功能评估,如NIHSS(美国国立卫生研究院卒中量表)评分,以评估病情严重程度。
- 影像学检查:
- 头颅CT扫描: 首选检查。主要目的是排除脑出血,因为脑梗在早期几小时内CT可能完全正常,但能迅速鉴别出血和缺血,这是决定后续治疗(如溶栓)的前提。
- 头颅MRI + DWI(磁共振弥散加权成像): 诊断脑梗最敏感的检查,在发病后30分钟到1小时内就能发现缺血病灶,是确诊脑梗的金标准。
- CTA/MRA(CT血管造影/磁共振血管造影): 用于寻找血管堵塞的部位和原因(如颈动脉狭窄、大脑中动脉闭塞等)。
- 血管超声: 颈部血管超声可以检查颈动脉是否有斑块和狭窄。
心梗
心梗,也叫心肌梗死,是指冠状动脉急性、持续性缺血缺氧所导致的心肌坏死,最常见的原因是冠状动脉粥样斑块破裂形成血栓。

(图片来源网络,侵删)
如何识别?(牢记“典型”和“不典型”症状)
典型症状(占大多数):
- 胸痛: 位于胸骨后或心前区,呈压榨性、紧缩性、窒息性疼痛,感觉像“一块大石头压在胸口”。
- 放射痛: 疼痛可向左肩、左臂内侧、颈部、下颌、背部或上腹部放射。
- 伴随症状: 常伴有大汗淋漓、恶心、呕吐、呼吸困难、面色苍白、濒死感。
不典型症状(极易被忽视,尤其在女性、老年人、糖尿病患者中):
- 无痛性心梗: 没有胸痛,而是表现为突发性呼吸困难、极度疲劳、晕厥、意识模糊、上腹部剧痛(类似胃痛)。
- 牙痛、咽喉痛: 疼痛部位不典型,容易被误诊为牙科或耳鼻喉科疾病。
- 无痛性心衰: 突然出现无法解释的咳嗽、咳粉红色泡沫痰。
关键点: 症状可能持续15分钟以上,含服硝酸甘油(如果患者有且血压不低)不能完全缓解。
如何检测和诊断?(在医院进行)
- 体格检查: 医生会检查生命体征、听诊心脏、观察有无颈静脉怒张、肺部啰音等心衰体征。
- 心电图: 最快速、最基本、最重要的检查,心梗的典型心电图表现是ST段抬高(STEMI),或非ST段抬高(NSTEMI),但心梗早期心电图可能正常,需动态观察。
- 心肌损伤标志物检测:
- 心肌酶谱: 肌酸激酶同工酶、肌钙蛋白。肌钙蛋白是诊断心梗的“金标准”,心梗发生后,肌钙蛋白会升高,通常在发病后3-4小时开始升高,24小时达到峰值。
- 影像学检查:
- 冠状动脉造影: 是诊断冠心病的“金标准”,同时可以立即进行介入治疗(如支架植入),开通堵塞的血管。
- 心脏超声: 可以评估心脏功能、室壁运动情况,发现并发症(如室壁瘤)。
总结与对比
| 特征 | 脑溢血 | 脑梗 | 心梗 |
|---|---|---|---|
| 根本原因 | 脑血管破裂出血 | 脑血管堵塞 | 冠状动脉堵塞 |
| 核心病理 | 出血性 | 缺血性 | 缺血性 |
| 最典型症状 | 剧烈头痛、呕吐、迅速意识障碍、血压飙升 | FAST原则(面、臂、言) | 压榨性胸痛、大汗、濒死感 |
| 首要现场识别 | 头痛+呕吐+意识障碍+偏瘫 | FAST原则 | 胸痛+放射痛+大汗 |
| 首选急诊检查 | 头颅CT(快速鉴别出血) | 头颅CT(排除出血)→ MRI(确诊) | 心电图 + 心肌标志物 |
| 关键治疗 | 控制血压、降颅压、必要时手术 | 溶栓 / 取栓(时间窗!) | 开通血管(溶栓/介入,时间窗!) |
急救要点(家庭现场)
- 立即拨打120: 清晰说明地址、患者情况和怀疑的疾病(如“有人昏迷,怀疑中风”或“有人胸痛,怀疑心脏病”)。
- 保持镇静,让患者休息:
- 脑溢血/脑梗: 让患者平躺,头偏向一侧,防止呕吐物误吸,解开衣领,保持呼吸道通畅。不要喂水喂药。
- 心梗: 让患者半卧位或坐位,保持镇静,减少心脏负担,如有医生处方的硝酸甘油且血压不低,可舌下含服。
- 不要自行用药: 不要随意给患者服用阿司匹林等药物,因为如果是脑溢血,阿司匹林会加重出血。
- 密切观察: 注意患者的呼吸、脉搏和意识变化,为急救人员提供信息。
预防永远大于治疗。 控制好“三高”(高血压、高血脂、高血糖)、戒烟限酒、健康饮食、规律运动、保持良好心态,是预防这三种致命疾病的最有效方法,定期体检,尤其关注心脑血管健康。
