什么是急性脑梗?
我们要理解“急性脑梗”的全称是急性脑梗死,也就是我们常说的“中风”或“脑血栓形成”。

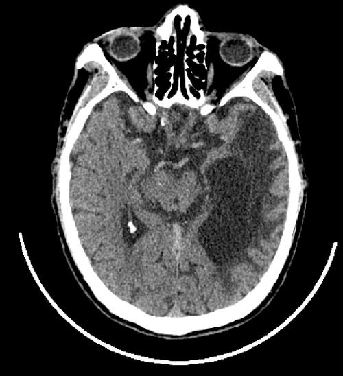
(图片来源网络,侵删)
- 病因:负责给大脑供血的某条动脉被血栓(血凝块)或栓子(从其他地方脱落的斑块、血块等)堵塞了。
- 后果:这条血管下游的脑组织会因为缺血缺氧,在短短几分钟到几个小时内就开始死亡,这个过程就像田地里的庄稼因为断水而枯萎。
从急性脑梗到脑软化灶:一个演变过程
“脑软化灶”并不是在脑梗发生的瞬间就形成的,而是脑组织坏死后,经过一段时间修复和演变留下的“疤痕”或“遗迹”,这个过程可以分为几个阶段:
急性期(数小时至数天)
- 核心事件:脑细胞因缺血而死亡,这个过程称为脑梗死。
- 病理变化:坏死的脑组织会极度水肿,体积增大,压迫周围健康的脑组织,这会进一步加重病情,甚至危及生命,在CT或MRI上,这个区域表现为低密度或异常信号,边界不清。
亚急性期(数天至数周)
- 核心事件:坏死组织开始被清除。
- 病理变化:身体里的“清洁工”——巨噬细胞会聚集到坏死区域,吞噬和分解坏死的脑细胞碎片,这个过程在医学上称为液化性坏死,坏死的脑组织逐渐变得像“豆腐渣”一样,质地松软。
慢性期(数月至数年)
- 核心事件:修复和“疤痕”形成。
- 病理变化:
- 液化吸收:坏死的组织被逐渐清除,留下一个充满液体(脑脊液)的空腔。
- 胶质增生:大脑的“支架细胞”——星形胶质细胞会在这个空腔的周围大量增生,形成一道致密的“疤痕墙”,这个结构就是胶质瘢痕。
- 最终形态:这个充满液体的空腔 + 周围的胶质瘢痕,共同构成了我们所说的“脑软化灶”。
脑软化灶的特征和意义
形象的比喻
您可以这样理解:
- 急性脑梗:田地里刚被洪水淹死的庄稼。
- 脑软化灶:洪水退去后,那片庄稼地已经完全荒芜,变成了一片水洼(空腔),周围长满了杂草和荆棘(胶质瘢痕),再也种不出庄稼了。
影像学上的表现
- CT扫描:
- 急性期:低密度灶。
- 慢性期(形成软化灶后):边界清晰的低密度灶,其密度与脑脊液相近,由于体积缩小,局部可能会有脑沟、脑池增宽或脑室局部扩大的现象(即脑萎缩)。
- 磁共振扫描:
- T1加权像(T1WI):呈低信号(很黑)。
- T2加权像(T2WI):呈高信号(很白)。
- 液体衰减反转恢复序列(FLAIR):呈高信号,能更好地显示与脑脊液区分开来的病灶。
- 特征性表现:软化灶的信号特点与脑脊液几乎完全一样。
临床意义
- “遗迹”而非“活动病灶”:脑软化灶是脑梗死后留下的永久性“遗迹”,它本身不具有活动性,意味着该区域的脑细胞已经永久死亡,不可能再恢复功能。
- 功能损害的标志:软化灶的位置和大小,直接反映了当初脑梗死的严重程度和受影响的脑功能区。
- 运动区的软化灶会导致永久性的肢体偏瘫。
- 语言中枢的软化灶会导致永久性的失语(说不出话或听不懂话)。
- 小脑的软化灶会导致共济失调(走路不稳、动作不协调)。
- 癫痫的风险:胶质瘢痕是大脑电活动的一个不稳定区域,有可能会异常放电,导致继发性癫痫,这是脑梗死后一个需要警惕的远期并发症。
- 复发的警示:一个脑软化灶的存在,说明患者本身就存在脑血管病的高危因素(如高血压、高血脂、糖尿病、动脉粥样硬化等),如果不加控制,发生新的脑梗(复发)的风险会显著增高。
发现脑软化灶后该怎么办?
如果影像报告上提示“脑软化灶”,通常意味着患者曾经发生过脑梗死(可能很轻微,自己没察觉到),接下来最重要的是:
-
寻找病因,控制危险因素:
(图片来源网络,侵删)- 全面检查:医生会安排检查,明确导致脑梗的原因,如颈动脉超声、经颅多普勒、心脏超声、血压、血糖、血脂等。
- “三高”管理:严格控制血压、血糖、血脂在目标范围内,这是预防复发的基石。
-
二级预防(防止复发):
- 药物治疗:医生通常会根据病因和指南,建议患者长期服用抗血小板药物(如阿司匹林、氯吡格雷)或抗凝药物(如华法林、新型口服抗凝药)。
- 生活方式干预:
- 健康饮食:低盐、低脂、低糖,多吃蔬菜水果。
- 规律运动:每周至少150分钟中等强度运动。
- 戒烟限酒。
- 控制体重。
-
康复治疗(改善功能):
- 如果软化灶导致了功能障碍(如偏瘫、失语等),康复治疗至关重要。
- 通过物理治疗、作业治疗、言语治疗等手段,最大限度地恢复患者的日常生活能力和生活质量,康复是一个长期的过程,越早开始效果越好。
-
定期随访:
定期到神经内科门诊复查,评估病情变化,调整治疗方案。
(图片来源网络,侵删)
急性脑梗后形成脑软化灶,是脑组织坏死并被修复后留下的永久性“疤痕”,它标志着该区域的脑功能已经永久丧失,同时也是一个强烈的警示信号,提示患者存在脑血管病风险,必须积极进行二级预防,以防止新的、更严重的脑血管事件发生。
