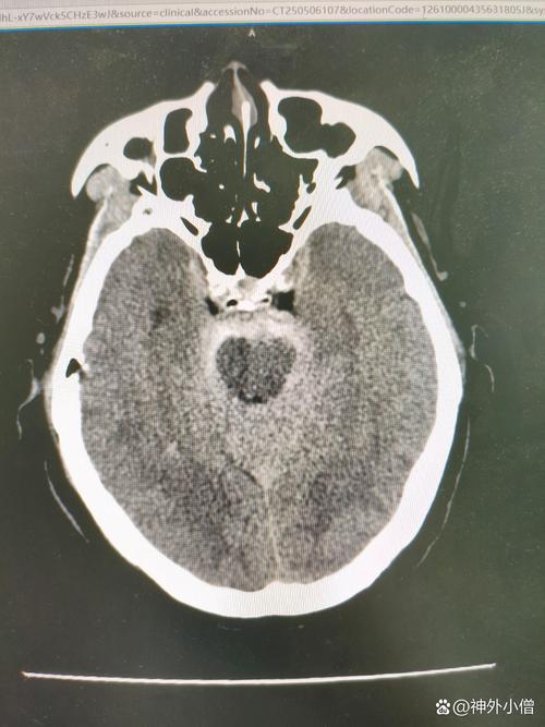
这到底意味着什么?
您可以把这个报告拆成三个部分来看:

- 脑内:病灶的位置在颅内,也就是我们的大脑里。
- 多发:不是一个,而是有多个病灶,这表明问题不是偶然发生的,而是有一定程度的普遍性。
- 缺血及腔梗灶:这是病灶的性质,解释了它们是什么。
- 缺血:指大脑的某个区域供血不足,就像一块田地浇水不够了,导致脑细胞(神经元)功能受损或死亡。
- 腔梗灶:这是“缺血性脑卒中”的一种特殊类型,全称是“腔隙性脑梗死”,它是由大脑深部的一些非常细小的动脉(穿通支)堵塞引起的,因为这些动脉很细,堵塞后坏死的脑组织范围也很小,形成一个像“小洞”或“小腔”一样的病灶,所以叫“腔隙性”梗死。
一句话总结: “脑内多发缺血及腔梗灶”意味着,在大脑的深部区域,存在多个由小血管堵塞或长期供血不足引起的小梗死灶。 它是脑小血管病的一种表现,通常与长期的高血压、糖尿病、高血脂等慢性病有关。
这些病灶是怎么形成的?(病因)
理解病因是关键,这些小病灶的形成,主要与以下几种因素有关,它们常常共同作用:
-
高血压(最常见的原因):
- 长期高血压会像高压水枪一样冲击大脑内脆弱的小动脉血管壁。
- 血管壁会因此变硬、增厚、弹性变差(动脉硬化)。
- 血管壁上还可能形成微小的“鼓包”(微动脉瘤)。
- 这些受损的小血管容易发生堵塞(血栓形成)或破裂,导致小区域的脑组织缺血坏死,形成腔梗灶。
-
动脉粥样硬化:
(图片来源网络,侵删)- 就像水管里长了水垢,大脑的动脉血管壁内也会脂质沉积,形成斑块。
- 这些斑块会使血管管腔变窄,导致血流不畅,引发缺血。
- 斑块脱落形成的微小栓子也可能堵塞远端的小血管。
-
糖尿病:
长期高血糖会严重损害血管内皮细胞,加速动脉硬化的进程,使血管更容易堵塞。
-
高龄:
随着年龄增长,血管自然老化,弹性下降,也更易出现病变。
-
其他因素:
吸烟、酗酒、肥胖、缺乏运动、高同型半胱氨酸血症等,都是重要的危险因素。
有什么症状?(临床表现)
腔梗灶的特点是“病灶小,但可能数量多”。
-
无症状(最常见):
很多腔梗灶非常小,位于大脑的“静区”(非功能区),因此不会引起任何明显的临床症状,很多人是在体检做头颅CT或MRI时偶然发现的。
-
有症状(取决于病灶位置):
- 如果病灶累及了负责特定功能的脑区,就会出现相应的神经功能缺损症状,常见的症状包括:
- 运动障碍:一侧肢体无力、笨拙、走路不稳、易摔倒。
- 感觉异常:一侧肢体麻木、针刺感、感觉减退。
- 言语障碍:说话含糊不清、找词困难、理解语言有问题。
- 认知功能下降:记忆力减退、反应变慢、注意力不集中,如果病灶数量多且分布广泛,是导致“血管性痴呆”的重要原因之一。
- 其他:头晕、平衡障碍、吞咽困难、尿失禁等。
- 如果病灶累及了负责特定功能的脑区,就会出现相应的神经功能缺损症状,常见的症状包括:
重要提示:这些症状可能很轻微,容易被忽视,偶尔觉得手有点麻”、“最近记性变差了”等。
发现了这个该怎么办?(治疗与管理)
看到这个报告,不必过度恐慌,但必须高度重视! 这份报告就像是身体发出的一个“重要警报”,提醒您脑血管健康已经出现问题,必须积极干预,以预防更严重的卒中(大面积脑梗死)发生。
核心原则:控制危险因素 + 对症治疗 + 生活方式干预
-
积极治疗基础病(最关键的一步):
- 严格控制血压:这是重中之重!目标通常是血压稳定在140/90 mmHg以下,最好能控制在130/80 mmHg左右,务必遵医嘱规律服药,不要随意停药。
- 控制血糖:糖尿病患者要严格控制血糖,糖化血红蛋白(HbA1c)达标。
- 调节血脂:特别是降低“坏胆固醇”(LDL-C),根据医生建议使用他汀类药物。
- 抗血小板治疗:医生通常会建议服用阿司匹林或氯吡格雷等药物,预防血小板聚集,形成新的血栓。(注意:必须在医生指导下服用,有禁忌症者不能用)
-
改善生活方式(与药物治疗同样重要):
- 健康饮食:低盐、低脂、低糖饮食,多吃蔬菜水果、全谷物、鱼类,减少红肉和加工食品的摄入。
- 规律运动:每周至少进行150分钟的中等强度有氧运动,如快走、慢跑、游泳等。
- 戒烟限酒:吸烟是脑血管病的独立危险因素,必须戒掉,严格限制酒精摄入。
- 控制体重:将体重指数(BMI)控制在18.5-23.9的理想范围内。
- 保持良好心态:避免长期精神紧张、焦虑,保证充足睡眠。
-
定期复查:
- 遵医嘱定期复查血压、血糖、血脂。
- 医生可能会建议在一段时间后(如1-2年)复查头颅MRI,以观察病灶是否有新发或变化。
“脑内多发缺血及腔梗灶”是一个重要的健康信号,它表明您的大脑小血管已经受到了慢性损害,虽然它本身可能不引起严重症状,但它预示着未来发生严重脑梗死(中风)的风险显著增加。
正确的应对方式是: 把它当作一个行动的起点,而不是一个绝望的终点。 立即行动,与医生紧密合作,严格控制危险因素,改变不良生活习惯,最大限度地保护您的大脑健康,预防更严重的悲剧发生。
