核心问题:房颤是如何导致大面积脑梗的?
这个过程可以简单概括为 “血栓形成” 和 “血栓脱落” 两个关键步骤。

第一步:房颤,为血栓“温床”的形成创造了条件
-
什么是房颤? 心房颤动,简称房颤,是一种常见的心律失常,正常情况下,心脏的心房规律、有序地收缩,将血液泵入心室,但在房颤状态下,心房失去了有效的收缩功能,取而代之的是一种快速、不规则且紊乱的“颤动”。
- 直观比喻: 想象一个正常的游泳池,水泵有规律地工作,水流畅通,而房颤的心房就像一个水泵坏掉了,里面的水不再是流动,而是在原地“乱晃”。
-
血栓是如何在心房里形成的? 心房不规则地乱颤,导致血液在心房内,尤其是左心耳这个像小口袋一样的结构里,无法有效被泵出,流速变得极其缓慢。
- 血液淤滞: 流速缓慢的血液容易形成涡流,导致血液成分(如血小板、红细胞)在心房内,特别是左心耳里沉积、聚集。
- 内皮损伤: 不规则的血流会摩擦心房内壁,造成微小的损伤。
- 高凝状态: 房颤本身也会导致血液处于一种容易凝固的“高凝”状态。
- 结果: 在以上多种因素共同作用下,血液中的有形成分不断沉积,最终形成一个血凝块,这就是血栓。
第二步:血栓脱落,引发“致命一击”
-
血栓脱落: 这个在心房里形成的血栓并不安稳,当心脏再次收缩(尽管心房收缩无力,但心室仍在工作),或者因为体位变化、情绪激动等因素,血栓就可能从心房壁上脱落下来。
-
随血流奔向大脑: 脱落的血栓会随着心脏的泵血,被强力地射入主动脉,然后上行,进入供应大脑的血管——颈动脉或椎动脉。
(图片来源网络,侵删) -
堵塞脑血管: 血栓会顺着血流,一直冲向大脑,如果血栓的体积较大,或者脑血管本身就有狭窄,它就会在某个关键的脑血管处(如大脑中动脉)被卡住,造成血管的急性、完全性堵塞。
-
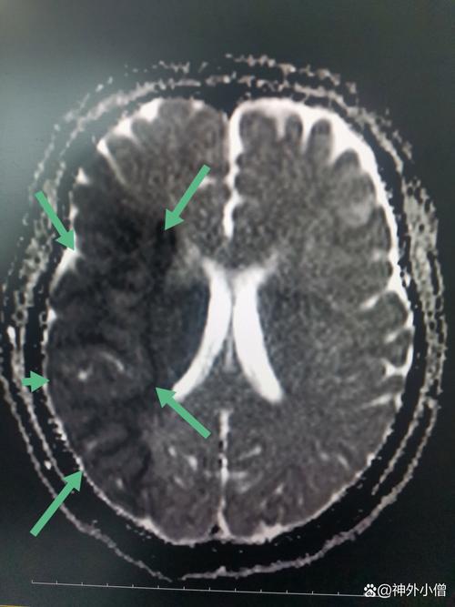
形成大面积脑梗:
- 大脑中动脉是供应大脑半球最主要的血管之一,它堵塞后,会导致其供应的大面积脑组织严重缺血、缺氧。
- 脑细胞对缺氧极其敏感,在几分钟内就会开始死亡,这种死亡是不可逆的。
- 导致大面积脑梗死,这是一种极其凶险的卒中类型。
大面积脑梗的严重后果
大面积脑梗的致死率和致残率都非常高,后果极其严重:
- 剧烈头痛、呕吐: 颅内压急剧升高。
- 意识障碍: 患者可能迅速陷入昏迷、嗜睡,甚至植物状态。
- 偏瘫: 对侧肢体完全或完全丧失活动能力。
- 失语: 如果左侧大脑半球受累,患者可能失去语言表达能力(运动性失语)或理解能力(感觉性失语)。
- 脑疝: 这是最危急的并发症,由于大面积脑水肿,脑组织被挤压移位,嵌入颅骨的天然孔道中,压迫负责心跳、呼吸的脑干,可在短时间内导致死亡。
- 长期卧床: 即使幸存,患者也常常伴有严重的后遗症,如瘫痪、失语、吞咽困难(易导致误吸和肺炎)、认知障碍等,生活质量极差,需要长期护理。
如何预防和治疗?
针对房颤引起的大面积脑梗,策略分为预防和紧急治疗两部分。
预防是关键!
预防的核心是“防血栓”和“控病因”。
-
最核心的预防措施:抗凝治疗
- 目的: 阻止在心房内形成新的血栓,或让已形成的血栓不再增大。
- 药物: 传统药物是华法林,但需要定期抽血监测INR值,调整剂量,非常不便,现在更常用的是新型口服抗凝药(NOACs),如达比加群、利伐沙班、阿哌沙班等,它们效果不劣于华法林,且出血风险相对较低,使用更方便。
- 重要原则:
- 遵医嘱用药: 是否需要抗凝、用哪种药、用多大剂量,必须由医生根据患者的CHA₂DS₂-VASc评分(评估房颤卒中风险)来决定。
- 切勿自行停药或换药: 这是房颤患者最大的禁忌!自行停药会使血栓风险在短期内急剧升高,极易诱发脑梗。
-
控制房颤本身
通过药物或手术治疗(如射频消融),尽可能恢复或维持正常的心律,减少房颤的发作时间和频率,从而降低血栓形成的风险。
-
积极治疗基础疾病
高血压、糖尿病、高血脂、心力衰竭等都是房颤和脑梗的危险因素,严格控制这些疾病,是预防的根本。
-
健康生活方式
戒烟限酒、低盐低脂饮食、适度运动、控制体重、保持情绪稳定。
紧急治疗
一旦怀疑发生大面积脑梗,必须立即就医,与时间赛跑!
- 立即拨打急救电话: 时间就是大脑!发病后越早治疗,效果越好。
- 溶栓治疗: 在发病后的5小时内(部分患者可延长至6小时),使用溶栓药物(如阿替普酶)溶解血栓,开通血管,这是目前最有效的急性期治疗方法之一。但前提是必须经过医生严格评估,排除禁忌症(如近期有大手术、严重出血等)。
- 机械取栓: 对于大血管堵塞(如大脑中动脉)的患者,如果错过了溶栓时间窗(通常在6-24小时内),可以考虑进行介入手术,通过导管将血栓直接取出,这是近年来革命性的进展,能显著改善预后。
房颤 → 心房血流淤滞 → 形成血栓 → 血栓脱落 → 堵塞脑血管 → 大面积脑梗
这是一个清晰而危险的链条。对于房颤患者而言,最最重要的事情就是坚持规范的抗凝治疗,这根小小的药片,就是预防灾难性脑梗的“生命之盾”,控制好血压、血糖等基础病,并了解脑梗的早期症状,才能最大程度地避免悲剧的发生。
如果您或您的家人有房颤,请务必咨询心脏科医生,制定最适合您的预防和管理方案。
