脑梗死的CT检查:基本原理和时间线
要理解怎么看,首先要明白CT在脑梗死不同时期的表现。

(图片来源网络,侵删)
-
超早期(发病后6小时内):
- CT表现: 可能完全正常! 这是脑梗死CT检查最大的局限性,在最初的几个小时内,脑组织的密度变化非常细微,普通CT难以发现。
- 医生会看什么: 即使正常,医生也会仔细排除脑出血,因为脑出血和脑梗死的初始处理方案完全相反,排除出血后,如果高度怀疑脑梗,医生会建议立即进行CTA(CT血管造影)或MRI(磁共振)检查,特别是DWI序列,对早期脑梗死非常敏感。
-
早期(发病6-24小时):
- CT表现: 部分患者可能会开始出现一些间接征象,但直接征象仍不明显。
- 医生会看什么:
- 脑沟变浅或消失: 梗死区域因为脑细胞水肿,导致局部体积增大,压迫周围的脑沟,使其变得不明显。
- 豆状核模糊征: 正常情况下,内囊和豆状核之间界限清晰,当大脑中动脉供血区发生梗死后,豆状核的密度会变得与周围白质接近,界限模糊,这是一个非常重要的早期征象。
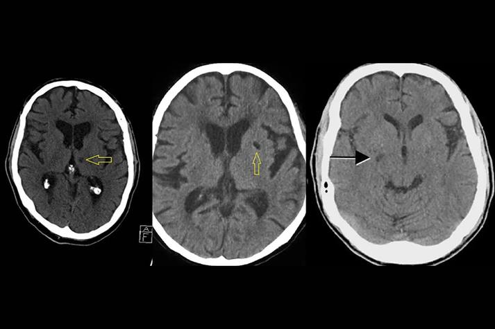
- 大脑中动脉高密度征: 在CT上,正常的大脑中动脉是看不到的,如果能看到一条高密度的“白线”状结构,提示该动脉内有血栓形成,是大脑中动脉梗死的强烈信号。
-
明确期(发病24小时后):
- CT表现: 梗死灶会变得非常清晰。
- 医生会看什么:
- 低密度灶: 这是最直接、最典型的表现,梗死区域的脑组织因为缺血、坏死,水分增多,密度明显低于周围正常的脑组织,在CT图像上呈现为黑色的、边界相对清晰的区域。
- 占位效应: 随着水肿加重,梗死区域体积增大,会压迫周围正常的脑组织,导致中线结构移位(大脑左右结构向一侧偏移),这是非常危险的信号,提示颅内压增高。
- 脑萎缩: 在恢复期或后遗症期,梗死区域的脑组织会坏死、液化,形成囊腔,表现为边界清晰的低密度区,并伴有局部脑组织的萎缩。
如何“看”一张脑CT片子(非专业人士视角)
想象一下,你拿着一张CT胶片或电脑屏幕上的图像,从上到下、从左到右地观察。

(图片来源网络,侵删)
第一步:看整体,排除大问题
- 中线结构: 观察颅骨中央的线状结构(大脑镰)和两侧脑室之间的结构,如果这条线明显地向一侧偏移,说明一侧大脑肿胀严重,是颅内压增高的紧急信号,需要立即处理。
- 脑沟回: 对比左右两侧大脑表面的沟回,如果某一侧的脑沟变浅、变平甚至消失,而另一侧正常,提示该侧大脑存在水肿或肿胀。
- 脑室系统: 观察两侧侧脑室是否对称,如果一侧脑室被挤压变小,另一侧被牵拉变大,也是占位效应的表现。
第二步:分区对比,寻找异常
大脑分为不同的供血区域,每个区域的血管堵塞,都会影响特定的脑区。
-
大脑中动脉区域(最常见):
- 位置: 大脑外侧裂附近,包括额叶、顶叶、颞叶和基底节区。
- 看什么: 仔细对比左右两侧的基底节区(豆状核)和岛叶(大脑外侧深部的一个三角形结构),如果发现一侧的这些区域密度变低(变黑),或者边界变得模糊不清,高度怀疑大脑中动脉供血区梗死。
-
大脑前动脉区域:
- 位置: 额叶的内侧面和中央部分。
- 看什么: 观察额叶内侧面的扣带回和中央前回的内侧部分是否有低密度灶。
-
大脑后动脉区域:
(图片来源网络,侵删)- 位置: 枕叶和颞叶的后部。
- 看什么: 观察枕叶(视觉中枢)是否有低密度灶,患者可能会出现视野缺损(偏盲)。
-
脑干/小脑区域:
- 位置: 颅骨的后下方,呈蝴蝶状的结构是脑干,下方是小脑。
- 看什么: 观察这些区域是否有低密度灶,脑干梗死的症状通常很严重,如眩晕、呕吐、吞咽困难、四肢瘫痪等。
第三步:看其他结构
- 颅骨: 有无骨折。
- 脑池/脑沟: 有无高密度影,排除蛛网膜下腔出血。
- 硬膜下/硬膜外: 有无新月形或梭形的高密度或等密度影,排除硬膜下/外血肿。
看CT片时需要警惕的危险信号
如果发现以下任何一种情况,都意味着病情危重,需要争分夺秒抢救:
- 大面积低密度灶: 超过大脑半球1/2或2/3的面积,伴有严重的占位效应。
- 中线结构移位: 移位超过5-10毫米。
- 脑室受压变形: 侧脑室、第三脑室被挤压成一条线或完全闭塞。
- 出现“脑疝”迹象: 如颞叶钩回疝(海马沟回疝),是颅内压极高的表现,死亡率极高。
一个简单的总结表格
| 时间 | CT表现 | 医生关注点 |
|---|---|---|
| 超早期 (<6h) | 可能完全正常 | 排除脑出血,高度怀疑时立即做MRI或CTA |
| 早期 (6-24h) | 脑沟变浅、豆状核模糊、大脑中动脉高密度征 | 寻找早期间接征象,评估血管情况 |
| 明确期 (>24h) | 边界清晰的低密度灶、占位效应 | 明确梗死范围、位置和严重程度,评估预后 |
最后再次强调:
您不需要成为CT读片专家,您需要做的是:
- 出现疑似脑梗症状(FAST原则:Face面部歪斜、Arm手臂无力、Speech言语不清、Time及时就医)时,立即拨打急救电话。
- 在医院,相信并配合医生,医生会结合CT、MRI、临床检查等所有信息,做出最准确的判断和最及时的治疗。
希望这份指南能帮助您更好地理解脑梗CT检查的意义,祝健康!
