脑部CT检查脑梗,准确率有多高?

99ANYc3cd6
预计阅读时长 9 分钟
位置: 首页 脑梗 正文

这是一个非常好的问题,也是很多人关心的话题。

脑部ct能检查出脑梗
(图片来源网络,侵删)

核心答案是:可以,但需要分情况讨论,并且有时需要结合其他检查。

CT是排查脑梗最常用、最快速的“第一道防线”,但它不是万能的,下面我将详细解释其中的原理、优势和局限性。


CT如何发现脑梗?(基本原理)

脑梗,全称是“脑梗死”或“缺血性脑卒中”,它的本质是脑部血管堵塞,导致局部脑组织因为缺血缺氧而坏死

CT影像学上,发现脑梗主要有两种方式:

脑部ct能检查出脑梗
(图片来源网络,侵删)

直接发现脑梗的早期迹象——“缺血性改变”

在脑梗发生的最初几个小时(通常是6小时内),由于脑细胞刚刚开始死亡,细胞内的水分会稍微增多(细胞水肿),导致脑组织的密度发生极其微小的变化。

  • 在非增强CT(平扫CT)上:经验丰富的放射科医生可能会发现:
    • 脑沟变浅或消失:因为脑组织水肿,导致表面的沟回变平。
    • 脑白质密度轻度降低:坏死区域的脑组织密度会比周围正常组织稍微低一点点,像蒙了一层薄雾。
    • 豆状核模糊:一个叫做“豆状核”的脑结构边界变得不清楚,这是一个非常重要的早期征象。

关键点:这种早期改变非常细微,很容易被忽略,或者与一些正常变异混淆。在发病6小时内,CT检查正常,完全不能排除脑梗。

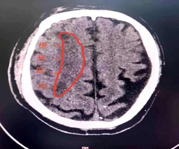
发现脑梗的晚期迹象——“脑组织坏死”

如果脑梗发生超过24-48小时,坏死的脑组织会发生更显著的变化。

  • 在非增强CT(平扫CT)上
    • 清晰的低密度灶:坏死的脑组织会变成明显的、边界相对清晰的低密度(发黑)区域,这时,CT诊断脑梗就非常明确和容易了。
    • 占位效应:大面积的脑梗死后,周围脑组织会因为水肿而产生挤压,导致脑室受压变形,中线结构移位。

总结一下CT的时间窗:

脑部ct能检查出脑梗
(图片来源网络,侵删)
  • 超早期(<6小时):可能看不出异常,或仅能看到非常细微的、不特异的征象。阴性结果不能排除脑梗。
  • 急性期(6-24小时):开始出现比较典型的低密度灶,诊断可能性增大。
  • 亚急性/慢性期(>24-48小时):病灶非常清晰,诊断明确。

CT在诊断脑梗中的优势和局限性

优势:

  1. 快速、普及、廉价:这是CT最大的优点,对于怀疑脑梗的患者,能第一时间进行CT检查,以快速排除另一种需要紧急处理的疾病——脑出血,因为脑梗和脑出血的治疗原则完全相反,必须先分清。
  2. 排除脑出血:如果CT显示脑内有高密度(发白)的出血灶,就可以立即诊断为“脑出血”,从而避免使用溶栓等错误的治疗方案。
  3. 评估梗死范围和并发症:对于已经形成的较大梗死灶,CT可以清晰显示其大小、位置,以及是否伴有脑水肿、中线移位等严重并发症,帮助医生判断病情严重程度。

局限性:

  1. 早期敏感性差:如前所述,在发病6小时内,CT的阴性率很高(大约有20%-50%的早期脑梗在CT上显示正常)。
  2. 对小病灶不敏感:对于小的、位于脑深处的梗死灶,CT很难发现。
  3. 无法显示血管和病因:CT本身只能看脑组织,看不出是哪根血管堵了,更不能分析出堵塞的原因(是血栓、斑块脱落还是其他原因)。

更先进的检查方法

为了弥补CT的不足,临床上还有更精准的检查方法,通常用于CT怀疑或阴性但高度怀疑脑梗的患者:

  1. CTA (CT Angiography / CT血管成像)

    • 作用:在注射造影剂后进行CT扫描,可以清晰地显示脑部的血管,直接看到血管有无狭窄、闭塞、斑块等情况,这是目前临床上非常常用且快速的方法,可以同时评估脑组织和血管状况。
  2. MRI (Magnetic Resonance Imaging / 核磁共振)

    • 作用:是诊断早期脑梗的“金标准”。
    • DWI序列 (弥散加权成像):能在脑梗发生的几十分钟到2小时内就发现异常信号,对早期脑梗的敏感性极高,如果怀疑是超早期的脑梗,医生会首选MRI检查。
    • 优点:没有辐射,对软组织和病灶的显示比CT更清晰。
  3. MRA (MR Angiography / 核磁血管成像)

    • 作用:与CTA类似,但使用MRI技术来显示血管,同样可以评估血管情况。

总结与建议

检查项目 优点 缺点 适用情况
非增强CT (平扫CT) 极快、普及、便宜、能排除脑出血 早期敏感性差、对小病灶不敏感 所有疑似卒中患者的首选检查,用于快速鉴别脑梗和脑出血。
CTA (CT血管成像) 快速、普及、能同时看脑组织和血管 需要注射造影剂、有辐射 怀疑脑梗且CT已发现病灶,或CT阴性但高度怀疑,需要寻找血管原因。
MRI (核磁共振) 早期敏感性极高、无辐射、图像清晰 耗时较长、费用较高、部分患者有禁忌症 怀疑超早期脑梗(<6小时)、CT阴性但高度怀疑、需要精确评估病灶范围和性质。

给您的建议:

如果您或家人出现突发的口角歪斜、肢体无力、言语不清、视物模糊等症状,请立即拨打急救电话(如120)

  • 医生会第一时间安排CT平扫,这是最紧急、最必要的步骤。
  • 根据CT结果,医生会决定下一步是否需要做CTAMRI来明确诊断和制定最佳治疗方案(如溶栓、取栓等)。
  • 切记:时间就是大脑!越早诊断、越早治疗,脑梗的预后就越好,不要因为CT结果正常就掉以轻心,一定要遵从医嘱进行进一步的检查。
-- 展开阅读全文 --
头像
高血压脑梗患者该选什么主食?
« 上一篇 今天
脑梗后抑郁,如何有效开导?
下一篇 » 今天
取消
微信二维码
支付宝二维码

最近发表

标签列表

目录[+]