一句话总结
脑梗是“原因”,脑软化是“结果”。

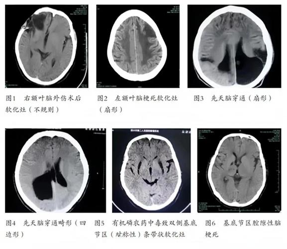
(图片来源网络,侵删)
脑梗死后,脑组织缺血、坏死,最终被清除,留下一个充满液体的空腔,这个空腔及其周围的组织变化,就被称为“脑软化灶”。
什么是脑梗?
脑梗,全称“脑梗死”或“缺血性脑卒中”,是指因脑部血管阻塞,导致局部脑组织缺血、缺氧而发生坏死。
- 病因:最常见的病因是动脉粥样硬化,导致血管狭窄或形成血栓,心源性栓塞(如房颤导致的心脏血栓脱落)、小血管病变等也是常见原因。
- 过程:当血管堵塞后,其供应区域的脑细胞在几分钟内就会因缺乏氧气和能量(葡萄糖)而开始死亡,这个过程是不可逆的。
什么是脑软化?
脑软化,更准确的医学术语是脑梗死灶或脑软化灶,是脑组织坏死后的一种终末状态。
- 病理过程:
- 梗死发生:脑细胞因缺血死亡。
- 坏死组织清除:身体的免疫系统会清除这些坏死的细胞和碎片。
- 空腔形成:坏死组织被清除后,原来的位置就留下了一个充满脑脊液的囊性空腔。
- 胶质增生:空腔的周围会由增生的神经胶质细胞(一种支持细胞)来填充和包裹,形成一道“疤痕”。
脑软化灶本质上就是一个“脑组织的疤痕”,它标志着此处曾经发生过脑梗死或其他类型的脑组织损伤(如外伤、出血等)。

(图片来源网络,侵删)
MRI如何显示脑梗和脑软化?
磁共振成像(MRI)是诊断和评估脑梗死的最佳工具,因为它对水分子的变化极其敏感。
A. 急性期脑梗死的MRI表现(发病数小时至数天内)
这个阶段,目标是“超早期诊断”,以便尽快进行溶栓或取栓治疗。
-
DWI (弥散加权成像) - 最关键的序列
- 表现:高信号(亮白)。
- 原理:在急性缺血的早期,细胞能量衰竭,细胞膜上的钠钾泵失效,导致细胞内水肿(细胞毒性水肿),水分子从自由运动变为被限制在肿胀的细胞内,其“弥散”能力下降,DWI序列对这种水分子运动受限的改变非常敏感,因此能最早、最清晰地显示出梗死的区域。DWI是诊断早期脑梗金的“金标准”。
-
FLAIR (液体衰减反转恢复) 序列
(图片来源网络,侵删)- 表现:在超早期可能为等信号或稍低信号,但随着病情进展(几小时后),梗死区域会变为高信号(亮白)。
- 原理:对血管源性水肿(血脑屏障破坏后,水分进入细胞外间隙)敏感,在急性期,它与DWI结合使用,可以更好地显示病灶范围,并排除一些伪影。
-
ADC (表观弥散系数) 图
- 表现:低信号(暗黑)。
- 原理:ADC图是DWI的定量分析图,水分子弥散受限越严重,ADC值越低,图像上就越暗,它与DWI信号相反,是确认急性梗死的重要佐证。
-
GRE / SWI (梯度回波/磁敏感加权成像) 序列
- 表现:如果梗死是由于大血管栓塞导致,可能会在梗死核心的远端看到“血管高信号征”,这是血栓在MRI上留下的痕迹。
- 原理:对血液中的去氧血红蛋白(一种含铁血黄素)非常敏感,能显示微小的出血或血栓。
B. 慢性期脑梗死的MRI表现(发病数周至数月后)
这个阶段,梗死已经进入终末期,即“脑软化”阶段。
-
T1加权像 (T1WI)
- 表现:低信号(暗黑)。
- 原理:坏死的脑组织被清除后形成的囊腔,其信号特点与脑脊液相似,在T1WI上呈低信号。
-
T2加权像 (T2WI) 和 FLAIR 序列
- 表现:高信号(亮白)。
- 原理:囊腔内充满液体(脑脊液),在富含水分的T2序列和FLAIR序列上均呈明显高信号,FLAIR序列能更好地显示皮层和脑室旁的病灶,因为它会抑制脑脊液的信号,使得靠近脑室的病灶更突出。
-
DWI / ADC 序列
- 表现:DWI呈等信号或低信号,ADC呈等信号或高信号。
- 原理:急性期的细胞毒性水肿已经消失,囊腔内的水分子是自由运动的,所以其弥散不受限制,信号恢复正常(与周围正常脑组织相似),这是区分急性期和慢性期最关键的影像学特征。
-
T1增强扫描 (Gadolinium-enhanced T1WI)
- 表现:在梗死灶的边缘(囊壁)可能会出现线样或环样强化。
- 原理:这是由于血脑屏障被破坏后,造影剂漏出到新生成的毛细血管(肉芽组织)中,这种强化通常在梗死后的第2周到第3个月最明显,之后会逐渐消失。
总结表格:脑梗与脑软化的MRI表现对比
| 特征 | 急性期脑梗死 (数小时 - 数天) | 慢性期脑软化 (数周 - 数月后) |
|---|---|---|
| 本质 | 脑细胞正在死亡,细胞毒性水肿 | 脑细胞已坏死、清除,形成囊性疤痕 |
| T1WI | 稍低信号或等信号 | 低信号(囊腔) |
| T2WI / FLAIR | 高信号 | 高信号(囊腔) |
| DWI | 高信号 (亮白) | 等信号或低信号 |
| ADC | 低信号 (暗黑) | 等信号或高信号 |
| 增强扫描 | 可能有脑膜强化或血管强化 | 可能有边缘强化(肉芽组织) |
| 形态 | 边界可能模糊,范围与血管供血区一致 | 边界清晰,呈囊性、液性改变,可伴有局部脑萎缩 |
临床意义
- 诊断与鉴别:MRI能明确区分新鲜的脑梗死和陈旧的脑软化灶,这对于制定治疗方案(如是否溶栓)和判断病情至关重要。
- 评估病情:通过MRI可以准确评估梗死的部位、大小和范围,从而预测患者可能出现的神经功能缺损(如偏瘫、失语等)。
- 病因查找:MRI血管成像(如MRA、CTA)可以寻找导致梗死的血管病变(如狭窄、闭塞、动脉瘤等)。
- 指导康复:明确脑软化灶的位置,有助于医生为患者制定针对性的康复训练计划。
希望这个详细的解释能帮助您全面理解脑梗、脑软化以及它们在MRI上的表现,如果您有具体的影像报告或疑问,建议咨询专业的神经科医生进行解读。
