第一部分:什么是 Bentall 手术?
Bentall手术是一种复杂的心脏外科手术,主要用于治疗主动脉根部和主动脉瓣的严重病变。

手术的“问题区域”:主动脉根部和主动脉瓣
- 主动脉:是人体最粗大的动脉,直接从心脏的左心室发出,负责将富含氧气的血液输送到全身。
- 主动脉瓣:位于左心室和主动脉之间,是一个单向阀门,保证血液只能从心脏泵出,而不能倒流。
- 主动脉根部:是主动脉最起始的、包裹着主动脉瓣的一段结构。
当这个区域出现严重问题时,就需要Bentall手术。
Bentall手术具体做什么?
Bentall手术是一个“替换和重建”的过程,医生会切除病变的主动脉瓣、主动脉根部以及一段升主动脉,然后用一个人工的复合物来替换它们。
这个人工复合物通常包括三个部分:
- 人工血管:一段人造的涤纶或膨体聚四氟乙烯血管,用来替换被切除的主动脉。
- 人工机械瓣膜或生物瓣膜:安装在人工血管的起始端,替代原有的主动脉瓣,负责单向血流。
- 冠状动脉“再植”:将原来从主动脉根部发出的两根冠状动脉(左、右冠状动脉)的开口,重新“缝”在人工血管的相应位置上,以保证心肌的血液供应。
手术目的:修复或替换病变的瓣膜和血管,解决主动脉瓣关闭不全/狭窄、主动脉瘤(血管扩张)或主动脉夹层(血管壁撕裂)等危及生命的问题。

Bentall手术的常见病因
- 马凡综合征:这是一种遗传性结缔组织病,患者主动脉壁中层结构异常,非常容易发生主动脉扩张、夹层,是Bentall手术最常见的病因之一。
- 主动脉瓣疾病:如严重的主动脉瓣关闭不全。
- 主动脉瘤或主动脉夹层:当主动脉根部扩张到一定程度(gt;5.5cm)或发生夹层时,为防止破裂,必须手术。
第二部分:什么是脑梗?
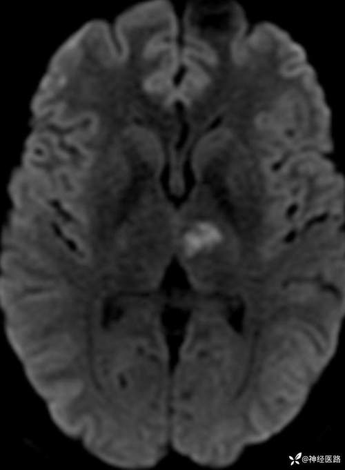
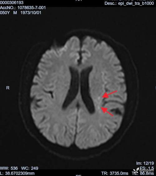
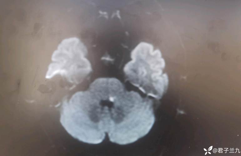
脑梗,全称“脑梗死”,俗称“中风”的一种,是由于脑部血管阻塞,导致局部脑组织缺血、缺氧而发生坏死。
- 病因:最常见的原因是血栓或栓子(脱落的斑块、血凝块等)堵塞了脑血管。
- 后果:堵塞区域的脑细胞会迅速死亡,导致相应的神经功能缺损,如偏瘫、失语、意识障碍等,严重时可致命。
第三部分:Bentall 手术与脑梗的密切关系
这是问题的核心,接受Bentall手术的患者,是脑梗的极高危人群,原因主要来自两个方面:手术本身和患者的基础疾病。
手术相关的直接风险因素
Bentall手术本身就是一个“高风险”操作,脑梗是其最严重的并发症之一。
-
术中血栓形成与脱落:
(图片来源网络,侵删)- 人工瓣膜和人工血管:手术中植入的人工瓣膜和人工血管表面不是我们自己的组织,血液流过时容易形成血栓,术中如果血栓形成,或在操作中脱落,就可能随血液循环进入脑动脉,造成堵塞。
- 长时间体外循环:Bentall手术需要在体外循环(心肺机)支持下进行,血液在体外循环中与管道、氧合器等非人体表面接触,容易激活凝血系统,形成微小血栓,这些栓子也可能进入大脑。
-
术中空气栓塞:
在心脏和大血管的操作中,如果不慎将空气注入血管,空气栓子会随血流到达脑血管,引起脑梗,这是心脏外科手术需要极力避免的严重并发症。
-
主动脉操作:
- 手术需要钳夹、切开、缝合主动脉,这个过程可能导致主动脉壁上的动脉粥样硬化斑块脱落,脱落的斑块是一个大栓子,极易堵塞脑血管,造成大面积脑梗。
-
低血压或灌注不足:
在体外循环转流期间,如果脑部血流灌注不足或发生低血压,就会导致脑组织缺血缺氧,最终形成脑梗。
患者自身的基础疾病风险
需要做Bentall手术的患者,其身体条件本身就为脑梗埋下了“种子”。
-
动脉粥样硬化:
很多需要Bentall手术的老年患者,同时伴有全身性的动脉粥样硬化,这意味着他们不仅主动脉有问题,脑动脉、颈动脉等也可能有严重的狭窄或斑块,手术中的任何微小栓子都可能成为“压垮骆驼的最后一根稻草”,引发脑梗。
-
房颤:
一些主动脉瓣疾病患者会合并心房颤动(房颤),房颤时,心房内血液流动缓慢,容易在左心耳形成血栓,这些血栓一旦脱落,会直接进入主动脉,再流向全身,包括大脑,是导致脑梗的常见原因,Bentall手术本身并不能根治房颤,如果术前存在房颤,术后脑梗风险依然很高。
-
血液高凝状态:
无论是主动脉夹层本身,还是体外循环对凝血系统的干扰,都可能导致患者在术后处于一种血液容易凝固的“高凝状态”,增加了血栓形成的风险。
术后风险
手术成功并不意味着万事大吉,术后早期仍然是脑梗的高发期。
- 抗凝治疗:如果植入的是机械瓣膜,患者需要终身服用抗凝药(如华法林),抗凝药的剂量需要精确控制,剂量不足容易形成血栓导致脑梗,剂量过大则容易引发出血,这是一个需要长期精细管理的平衡过程。
- 感染性心内膜炎:人工瓣膜有感染的风险,一旦发生感染,瓣膜上会形成赘生物(大块血栓),这些赘生物脱落极易导致全身栓塞,其中脑梗是灾难性的后果。
总结与建议
Bentall手术是治疗严重主动脉根部病变的有效救命手术,但该手术本身和患者的基础病,使其成为一个脑梗发生率较高的高风险手术。
给患者和家属的建议:
- 充分沟通:术前,务必与主刀医生和麻醉团队进行深入沟通,充分了解手术风险、脑梗的发生率、预防措施以及应急预案。
- 全面评估:术前进行详细的脑血管评估,如颈动脉超声、经食道超声(查看主动脉斑块)、头部CTA/MRA等,以评估脑梗的潜在风险。
- 积极配合:术后严格遵守医嘱,特别是抗凝治疗,定期复查INR值(国际标准化比值),确保其在安全有效的范围内。
- 警惕症状:出院后,自己和家属都要了解脑梗的早期症状(如“FAST”原则:Face面部歪斜、Arm手臂无力、Speech言语不清、Time及时就医),一旦出现任何可疑症状,立即拨打急救电话,时间就是大脑!
- 长期管理:术后康复是一个长期过程,要严格控制血压、血糖、血脂,戒烟,健康饮食,适度锻炼,从根本上降低心脑血管事件的风险。
Bentall手术是一项伟大的技术,虽然风险高,但对于合适的患者来说,利远大于弊,理解其风险,并做好充分的预防和应对,是保障手术成功和术后生活质量的关键。
