- 脑梗 是一个症状或结果,指脑部血管堵塞导致局部脑组织缺血坏死,它就像身体发出的一个“警报信号”。
- CADASIL 是一个病因,一种罕见的遗传性疾病,它会破坏脑血管壁,导致脑梗等一系列症状,它就像是导致“警报”反复响起的“根本原因”。
下面我们来详细拆解和对比这两者。

(图片来源网络,侵删)
什么是脑梗?
脑梗,全称“脑梗死”或“缺血性脑卒中”,是由于脑部血管(动脉)被血栓或栓子堵塞,导致血流中断,使该血管供应的脑组织发生缺血、缺氧性坏死的一种疾病。
核心特点:
-
病因多样(多因素): 脑梗不是由单一原因引起的,而是多种危险因素共同作用的结果,常见的诱因包括:
- 高血压:最常见的危险因素,长期高压会损伤血管内皮。
- 高血脂:特别是低密度脂蛋白胆固醇(坏胆固醇)过高,容易形成动脉粥样硬化斑块。
- 糖尿病:会加速全身小血管的病变。
- 心房颤动:心脏不规则跳动,容易在心房形成血栓,血栓脱落后随血流进入脑血管。
- 吸烟、酗酒、肥胖、缺乏运动、高龄等。
-
发病年龄: 任何年龄都可能发生,但更常见于中老年人(>50岁),如果年轻人发生脑梗,需要高度警惕是否存在特殊病因,如遗传性疾病、血管畸形等。
(图片来源网络,侵删) -
治疗:
- 急性期治疗: 目标是尽快开通堵塞的血管,常用方法是“静脉溶栓”(用药物溶解血栓)和“机械取栓”(通过介入手术将血栓取出)。时间就是大脑,越早治疗越好。
- 二级预防: 目标是防止复发,包括长期服用抗血小板药(如阿司匹林)、他汀类药物(降脂稳定斑块),并严格控制上述提到的危险因素。
-
预后: 差异很大,轻者可能完全康复,重者可能留下永久性后遗症(如偏瘫、失语、认知障碍),甚至危及生命。
什么是CADASIL?
CADASIL是英文Cerebral Autosomal Dominant Arteriopathy with Subcortical Infarcts and Leukoencephalopathy的缩写,中文全称为“伴有皮质下梗死和白质脑病的常染色体显性遗传性脑动脉病”。
这是一个听起来非常拗口,但理解起来并不复杂的疾病。
核心特点:
-
根本病因: 一种遗传性疾病,它是由位于19号染色体上的NOTCH3基因突变引起的,这个基因负责编码一种维持血管壁平滑肌细胞正常功能的蛋白质,突变导致蛋白质异常,并沉积在血管壁上,使血管壁逐渐变厚、变硬、失去弹性,最终堵塞或破裂。
-
遗传方式: 常染色体显性遗传,这意味着:
- 只要父母中有一方携带致病基因,子女就有50%的几率遗传到该病。
- 男女患病几率均等。
- 这是一个家族性疾病,家族中通常有多人出现类似症状。
-
核心临床表现(典型“三联征”):
- 反复发作的缺血性脑梗(脑梗):这是最常见的首发症状,通常在30-50岁之间开始出现,梗死部位多在脑深部(基底节、脑白质等),导致偏瘫、麻木、言语不清等症状。
- 偏头痛:特别是伴有先兆的偏头痛(如眼前闪光、视野缺损等),是很多患者的早期症状,有时甚至在脑梗发生前数年或数十年就已出现。
- 进行性认知障碍和痴呆:随着病情发展,由于反复的脑梗和白质病变,患者会逐渐出现记忆力下降、反应迟钝、判断力减退,最终发展为痴呆。
- 其他症状: 情绪不稳(如抑郁、易怒)、癫痫、步态不稳等也较为常见。
-
诊断:
- 基因检测:是诊断CADASIL的“金标准”,通过检测NOTCH3基因是否存在突变即可确诊。
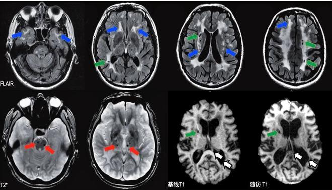
- 磁共振成像:MRI有非常典型的表现,即在脑白质(特别是颞叶白质)和基底节区域出现多发的小梗死灶和信号异常(白质病变)。
- 皮肤活检:通过显微镜观察皮肤中的微小血管,可以发现NOTCH3蛋白的异常沉积(嗜锝颗粒样物质),是重要的辅助诊断手段。
-
治疗:
- 目前没有根治方法。
- 治疗原则与普通脑梗的二级预防类似,但目的更为复杂:
- 控制危险因素:严格控制血压、血糖、血脂。
- 对症治疗:使用抗血小板药(如阿司匹林)预防血栓,但需注意部分患者可能因血管病变严重而增加出血风险,需医生谨慎评估。
- 管理症状:如使用止痛药治疗偏头痛,使用促认知药物改善痴呆等。
- 遗传咨询:对患者家族成员至关重要,有家族史的人可以进行基因检测和咨询,以了解自身风险。
脑梗与CADASIL的关系与核心区别
| 特征 | 脑梗 | CADASIL |
|---|---|---|
| 本质 | 一种疾病(症状/综合征) | 一种遗传性疾病(病因) |
| 病因 | 多样化,后天获得性为主(高血压、高血脂等) | 单一病因,先天性基因突变(NOTCH3基因) |
| 遗传性 | 通常不遗传(除非是遗传性易栓症等罕见原因) | 常染色体显性遗传,家族聚集性明显 |
| 发病年龄 | 任何年龄,多见于中老年人 | 相对年轻,多在30-50岁发病 |
| 核心病理 | 血管内血栓或栓子堵塞 | 血管壁结构性破坏(变厚、变性) |
| 治疗目标 | 急期开通血管,长期预防复发 | 对症支持治疗,延缓疾病进展,无法根治 |
| 诊断关键 | 影像学(CT/MRI)显示梗死灶 | 基因检测确诊,结合典型MRI和家族史 |
一个生动的比喻:
- 脑梗 就像是房子(脑组织)被火烧了(缺血坏死)。
- CADASIL 就像是房子的电路系统(脑血管)天生就有设计缺陷(基因突变),导致电线(血管)不断老化、短路,最终频繁引发火灾(脑梗),即使你每次都把火扑灭(治疗脑梗),但根源的电路问题没解决,火灾还是会反复发生。
总结与警示
- 脑梗是结果,CADASIL是原因之一。 当一个年轻人(尤其是40岁以下)反复发生脑梗,或者有脑梗家族史,特别是同时伴有偏头痛或认知下降时,医生会高度怀疑CADASIL等遗传性血管病。
- CADASIL是导致“青年卒中”的重要原因之一。 如果一个家族中多人有类似的脑梗、偏头痛或痴呆病史,应尽早进行神经内科咨询和基因检测。
- 明确诊断至关重要。 诊断CADASIL不仅能指导患者的治疗和二级预防,更重要的是能为整个家族提供遗传咨询,帮助其他亲属了解风险,做到早发现、早干预。
希望这个详细的解释能帮助您清晰地理解脑梗和CADASIL的区别与联系,如果您或您的家人有相关疑虑,请务必咨询专业的神经科医生。
