在脑梗发生的早期(通常是发病后的6小时内),普通平扫脑CT的检查结果往往是“正常”或“无明显异常”的。

(图片来源网络,侵删)
这可能会让很多人感到困惑,为什么都怀疑是脑梗了,CT却看不出问题?下面我会详细解释原因,以及在什么情况下CT能发现问题。
为什么早期CT可能看不到脑梗?(核心原理)
-
时间窗问题:脑梗死的本质是脑组织因为缺血、缺氧而发生坏死,这个过程需要时间,在最初的几个小时内,脑细胞虽然功能受损,但细胞结构还没有崩解,因此脑组织的密度(CT上看到的黑白程度)还没有发生明显改变,CT上看起来和正常人一样。
-
CT的敏感性:普通平扫CT对脑组织密度的变化非常敏感,但对于早期、微小的梗死灶,它的分辨率还不够高,只有当脑组织坏死、水肿达到一定程度,密度发生显著改变时,CT才能捕捉到。
轻度脑梗在CT上可能出现的“蛛丝马迹”(如果能看到的话)
虽然早期CT可能正常,但如果在发病后24-48小时甚至更长时间进行复查,或者梗死灶位置比较特殊,CT上还是可能发现一些异常的,对于“轻度”脑梗,这些表现通常比较细微。

(图片来源网络,侵删)
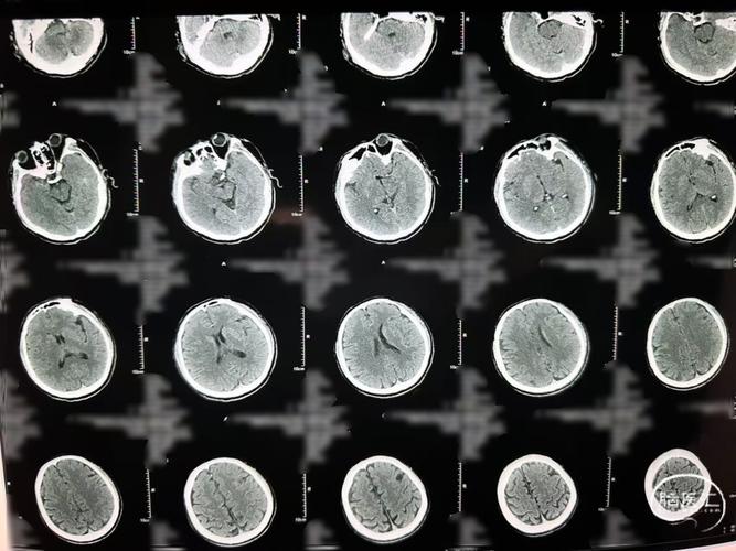
最典型的直接征象:低密度灶
- 表现:在脑的某个区域,出现一个边界相对清晰或不清晰的、密度比周围正常脑组织要低的区域,在黑白CT片上,这通常显示为灰色或黑色,而正常脑组织是均匀的灰白色。
- 特点:
- 位置:这个低密度灶的位置必须与患者的神经功能缺损症状相匹配,患者左侧肢体无力,那么CT上应该在右侧大脑半球(控制左侧肢体的区域)发现低密度灶。
- 形态:轻度脑梗的低密度灶可能很小,形态不规则,或者呈楔形(尖端指向脑中心,基底朝向脑表面)。
- 边界:早期边界可能模糊,随着时间推移,边界会变得清晰。
间接征象(提示早期缺血,比直接发现梗死灶更早出现)
这些征象非常细微,需要经验丰富的放射科医生才能识别,对于“轻度”脑梗的诊断价值很高。
- 脑沟变浅、模糊:缺血区域的脑组织因为早期水肿,会导致局部的脑沟(脑表面的沟回)变浅、变平,甚至消失,这通常是CT上最早能观察到的变化之一。
- 脑实质密度轻度减低:整个缺血区域的脑组织密度可能比健侧轻微、均匀地降低一点点,但还没有形成明确的低密度灶,这个变化非常细微,容易忽略。
- 豆状核边缘模糊:这是一个非常经典的早期征象,正常情况下,大脑深部的“豆状核”结构边界非常清晰,当供应它的血管发生缺血时,这个边界会变得模糊不清。
排除性征象:排除脑出血
这是脑CT在急性脑梗诊断中最重要的作用之一,医生做CT的首要任务是排除脑出血(如脑出血、蛛网膜下腔出血),因为脑梗和脑出血的治疗方案是截然相反的,一旦误诊后果严重。
- 表现:如果CT上看到高密度(白色)的出血灶,就可以明确诊断为脑出血,而不是脑梗,对于“轻度脑梗”,CT报告上通常会写“未见明确高密度出血灶”或“排除脑出血”。
脑CT vs. MRI:哪个更好?
对于怀疑脑梗,尤其是轻度脑梗,MRI(磁共振)是比CT更敏感、更准确的检查方法。
| 特性 | 脑CT (平扫) | 脑MRI (特别是DWI序列) |
|---|---|---|
| 早期敏感性 | 低 (发病6小时内多正常) | 极高 (发病30分钟-1小时即可发现) |
| 对梗死的显示 | 24-48小时后才较清晰 | 几乎即刻显示,是诊断早期脑梗的“金标准” |
| 优势 | 快速、便宜、普及、能排除出血 | 对早期、微小、后循环的梗死灶显示能力远超CT |
| 劣势 | 骨伪影干扰,对后颅窝(脑干、小脑)显示不佳 | 费用较高、检查时间长、幽闭恐惧症患者不适用 |
对于怀疑急性轻度脑梗的患者,医生通常会:

(图片来源网络,侵删)
- 立即做脑CT:首要目的是排除脑出血。
- 如果CT正常但高度怀疑脑梗,会建议立即或尽快做头部MRI检查,特别是DWI(弥散加权成像)序列,以明确诊断和评估病情。
如何看一份脑CT报告(示例)
一份关于“轻度脑梗”的CT报告可能会这样写:
检查所见:
- 颅骨骨质完整,未见明显骨折。
- 脑实质内未见明确高密度出血灶。
- 右侧基底节区可见一小片状稍低密度影,边界欠清,范围约Xcm×Ycm,符合急性脑梗死改变。 (或:右侧额叶皮质下可见小片状低密度灶...)
- 脑室、脑沟、脑裂未见明显受压移位。
- 中线结构居中。
诊断意见: 右侧基底节区急性脑梗死(建议结合临床及MRI进一步明确)。
解读这份报告:
- “未见明确高密度出血灶”:好消息,排除了脑出血。
- “右侧基底节区...低密度影”:发现了病灶,位置在右侧基底节区,这里是常见的脑梗好发部位(供应血管是大脑中动脉的深穿支)。
- “边界欠清”:提示是新鲜病灶,处于水肿期。
- “建议结合临床及MRI”:这是标准的、严谨的表述,因为CT有局限性,最终的诊断和治疗方案需要结合患者的症状、体征以及更精准的MRI结果。
轻度脑梗的脑CT片子在早期可能“正常”,主要起排除出血的作用,如果能看到异常,通常是低密度灶,但不如MRI敏感,对于诊断,MRI是更好的选择,最终诊断需要由神经科医生结合临床症状、体征和影像学综合判断。
