急性脑梗是“正在发生的事件”,而脑软化灶是“事件留下的永久性疤痕”。

(图片来源网络,侵删)
下面我为您详细解释这两者的关系、含义和临床意义。
急性脑梗 (Acute Cerebral Infarction)
- 定义:指脑部血管(动脉)突然堵塞,导致该血管供应的脑组织因缺血、缺氧而发生急性坏死,这是一个动态的、正在进行的病理过程。
- 特点:
- 时间性:“急性”意味着发病时间很短,通常是几小时到几天内,在这个阶段,脑细胞正在死亡,但周围缺血半暗带的细胞仍有抢救的可能。
- 可逆性:在急性期,通过及时的溶栓或取栓等治疗,有可能恢复血流,挽救一部分濒临死亡的脑组织,从而减轻后遗症。
- 影像学表现:在头颅CT或MRI上,急性脑梗在早期(几小时内)可能看不出来,或者仅有轻微的改变,MRI的DWI(弥散加权成像)序列对早期脑梗非常敏感,可以清晰地显示病灶。
- 临床表现:通常是突发的、局灶性的神经功能缺损症状,如偏瘫、失语、口角歪斜、视力障碍、眩晕等。
脑软化灶 (Cerebral Infarct Focus / Encephalomalacia)
- 定义:指脑组织因缺血、缺氧或外伤等原因坏死后,被胶质细胞(大脑的“清洁工”)吞噬、清除,最终形成一个由液体(囊腔)和胶质纤维瘢痕组织填充的“空洞”,这是一个静态的、已经完成的结果。
- 特点:
- 时间性:是脑梗发生数周甚至数月后的最终形态,它代表了脑组织坏死后无法修复的结局。
- 不可逆性:一旦形成脑软化灶,坏死的脑细胞无法再生,这个区域的功能会永久丧失,其功能需要由大脑其他区域来代偿。
- 影像学表现:
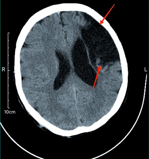
- CT:表现为低密度区域,边界清晰,形态不规则,常伴有局部脑沟、脑裂的增宽(脑萎缩)。
- MRI (T1/T2加权像):表现为长T1、长T2信号,即在T1像上比周围脑组织黑,在T2像上比周围白,如果形成囊变,在FLAIR序列上会像一个“黑洞”。
- 临床意义:脑软化灶本身通常不引起急性症状,但它标志着患者曾经发生过脑梗,它的存在意味着:
- 患者有脑血管病的病史。
- 大脑的某些功能已经永久受损,可能导致相应的后遗症(如遗留的肢体无力、语言障碍等)。
- 提示患者未来再次发生脑梗或其他心血管事件(如心肌梗死)的风险较高。
两者的关系与演变过程
可以把这个过程想象成一块土地:
- 急性脑梗(事件发生):就像一场突如其来的洪水(血管堵塞),淹没了田地(脑组织),庄稼(脑细胞)正在被淹死,但如果洪水能很快退去(再通灌注),部分庄稼还有可能救活。
- 缺血期(治疗窗口):这是抢救庄稼的关键时期,通过挖开河道(溶栓/取栓),让洪水退去,可以挽救大部分庄稼。
- 坏死与修复(形成疤痕):如果洪水持续时间太长,庄稼全部淹死,之后,土地会变得盐碱化、板结(坏死),最终变成一片无法耕种的洼地(脑软化灶),这片洼地就是永久性的疤痕。
总结一下关键点:
| 特征 | 急性脑梗 | 脑软化灶 |
|---|---|---|
| 性质 | 疾病事件(正在发生) | 疾病结局(已形成) |
| 时间 | 发病后数小时到几天 | 发病后数周至数月 |
| 可逆性 | 部分可逆(治疗时间窗内) | 完全不可逆 |
| 影像学 | MRI-DWI高信号,CT早期可能阴性 | CT低密度,MRI长T1长T2信号 |
| 临床意义 | 紧急! 需要立即就医抢救 | 提示既往病史,需长期预防复发 |
如果您的诊断报告上同时出现这两项,意味着什么?
这通常意味着以下几种情况:

(图片来源网络,侵删)
- 本次是急性脑梗,同时发现了陈旧的脑软化灶:这是最常见的情况,说明患者以前曾经发生过脑梗或小中风,但没有被发现或留下后遗症,而这次又发生了新的、急性的梗塞,这提示患者的脑血管基础病(如动脉粥样硬化、高血压、糖尿病等)非常严重,需要全面、强化的治疗。
- 本次急性脑梗的病灶,在报告中被描述为“急性期”或“早期软化灶”:医生可能在描述同一个病灶的不同阶段,超早期的梗塞在病理上已经开始坏死,影像上可能开始表现出软化灶的特征,但临床上仍按急性脑梗处理。
您应该怎么做?
请务必立即咨询神经内科医生! 这不是一个可以等待或自行处理的问题。
- 明确诊断:医生会结合您的症状、体征和影像学检查,明确本次急性脑梗的部位、大小、严重程度,以及陈旧软化灶的情况。
- 紧急治疗:如果处于急性期(发病4.5-6小时内),医生会评估您是否适合进行静脉溶栓治疗,如果血管堵塞严重,可能会进行动脉取栓手术,这是挽救脑细胞、减少后遗症最关键的一步。
- 病因查找:医生会安排检查,明确本次脑梗的病因,例如是颈动脉斑块、心源性栓塞(如房颤)还是其他原因。
- 二级预防:这是长期且至关重要的部分,医生会根据您的病因,制定长期的药物治疗方案,通常包括:
- 抗血小板药物:如阿司匹林、氯吡格雷等,预防血小板聚集。
- 他汀类药物:如阿托伐他汀、瑞舒伐他汀等,稳定斑块、降血脂。
- 控制危险因素:严格控制血压、血糖、血脂,戒烟限酒,健康饮食,规律运动。
- 康复治疗:如果已经留下了后遗症,需要在病情稳定后尽早开始康复治疗(如物理治疗、作业治疗、言语治疗等),最大限度地恢复功能。
最后强调: “脑软化灶”是过去,“急性脑梗”是现在和未来的挑战,两者同时出现,说明病情不容乐观,但只要抓住急性期的治疗时机,并坚持长期的二级预防,仍然可以有效控制病情,预防复发,提高生活质量,请务必遵从医嘱,积极治疗。
