如何看懂脑梗脑CT图?医生教你“三步走”,快速识别关键信息!
(文章导语/ “医生,我父亲的CT报告上写着‘右侧基底节区低密度影’,这到底是什么意思?是不是脑梗了?” “我头晕做CT,没事就代表不是脑梗吗?” 作为家属或患者,拿到脑CT报告时,常常会感到一头雾水,作为一名资深的健康康复医生,我将用最通俗易懂的语言,手把手教你如何看懂脑梗相关的脑CT图,让你不再被专业术语“唬住”,能更好地与医生沟通,为康复争取宝贵时间。

(图片来源网络,侵删)
基础篇:脑CT报告单上,这些“名词”你必须知道
在看图之前,我们首先要了解CT报告单上常见的“黑话”,一张标准的脑CT报告单通常包含以下几部分:
- 检查描述 (Imaging Findings): 这是核心部分,描述了CT图像上观察到的具体情况。
- 印象 (Impression/Conclusion): 这是医生根据图像给出的初步判断,脑梗死可能”、“未见明显异常”等。
核心术语解读:
- 密度: 这是CT影像的灵魂,人体不同组织的密度不同,在CT上显示的颜色也不同。
- 高密度: 骨骼、钙化、新鲜出血等,在CT图像上呈现白色。
- 等密度: 与脑灰质密度相近,不易分辨。
- 低密度: 水肿、炎症、梗死、陈旧性病变等,在CT图像上呈现黑色或灰色。
- 脑沟、脑裂、脑池: 大脑表面的沟壑和腔隙,里面充满脑脊液(密度低,呈黑色),正常情况下,这些结构清晰。
- 脑室: 内含脑脊液的腔隙,如侧脑室、第三脑室、第四脑室,正常时对称,大小适中。
- 中线结构: 指大脑正中的结构,如透明隔、第三脑室、脑干等,正常时居中。
- 病灶: 指影像上看到的异常区域,对于脑梗,我们关注的是“低密度灶”。
进阶篇:脑梗死的CT影像特征——“时间”是关键
看懂脑梗CT图,最核心的一点就是“时间窗”,脑梗死的CT表现会随着发病时间的变化而演变。
第一步:识别“缺血灶”——超早期(发病6小时内)
- 影像表现: 在这个“黄金时间窗”内,绝大多数脑梗死在常规CT上表现为“正常”!
- 医生解读: 这是因为脑细胞缺血后,细胞水肿还不明显,水分变化不足以被CT检测到。CT正常≠排除脑梗!
- 关键提示: 如果患者高度疑似脑梗(如突发口角歪斜、肢体无力、言语不清),但CT显示正常,医生会高度怀疑,并立即安排头颅MRI(磁共振)检查,特别是DWI序列,能更早、更准确地发现梗死病灶。
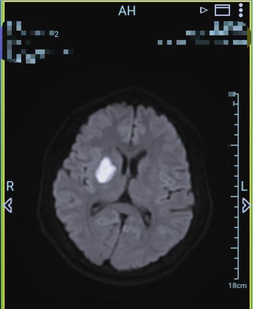
第二步:寻找“低密度影”——急性期(发病6-24小时后)
- 影像表现: 随着时间推移,缺血区域的脑细胞开始坏死、水肿,细胞内水分增多,密度逐渐降低,CT上会开始出现边界不清的、片状的低密度影。
- 医生解读: 这就是典型的脑梗死CT征象,低密度灶的位置和大小决定了梗死血管的分布和神经功能缺损的严重程度。
- 左侧基底节区低密度灶: 可能导致右侧肢体偏瘫、感觉障碍。
- 右侧大脑中动脉供血区低密度灶: 可能导致左侧肢体偏瘫、失语(如果优势半球受损)。
- 关键提示: CT不仅能确诊脑梗,还能帮助医生排除脑出血,因为脑梗死和脑出血的治疗方案截然相反,这是CT在急性期最重要的作用之一。
第三步:判断“演变过程”——亚急性期与慢性期(发病数天至数月后)
- 影像表现:
- 亚急性期(1-2周): 梗死灶的水肿会逐渐消退,低密度影变得更加清晰、锐利,甚至由于吞噬细胞的聚集,边缘密度会稍增高。
- 慢性期(数月以上): 梗死灶的体积会缩小,形成边界清晰的低密度囊腔,周围可能伴有脑组织的萎缩,如脑沟增深、脑室扩大。
- 医生解读: 了解这一演变过程,有助于医生判断脑梗死的发病时间,以及评估后遗症和康复潜力。
火眼金睛:脑CT上,脑梗死与这些情况要区分
低密度影不一定是脑梗死,医生需要仔细鉴别:

(图片来源网络,侵删)
- 脑软化灶/陈旧性梗死: 这是由既往的脑梗死或脑出血留下的“疤痕”,表现为边界清晰的低密度囊腔,周围无水肿,医生会结合病史进行判断。
- 脑白质脱髓鞘: 常见于老年人,表现为脑室周围、半卵圆中心散在的斑点状、片状低密度影,通常不按血管分布,形态不规则。
- 脑水肿: 可由多种原因引起(如肿瘤、炎症),表现为广泛的脑沟变浅、脑室受压,不一定有典型的“血管分布区”低密度灶。
一张图教你快速看懂脑梗CT
| 发病阶段 | CT影像表现 | 医生解读与建议 |
|---|---|---|
| 超早期 (≤6小时) | 多数正常 | 高度怀疑脑梗! 立即做MRI确诊,评估是否适合溶栓或取栓。 |
| 急性期 (6-24小时后) | 出现片状低密度影 | 确诊脑梗。 主要用于排除脑出血,指导后续治疗。 |
| 亚急性期 (1-2周) | 低密度影更清晰、锐利 | 水肿高峰期后,评估病情进展。 |
| 慢性期 (数月后) | 形成边界清晰的低密度囊腔,伴脑萎缩 | 陈旧性病变,评估后遗症,制定长期康复计划。 |
医生特别提醒:比看懂CT更重要的事
作为一名康复医生,我必须强调:影像学检查是辅助诊断的工具,而您的症状和体征才是最重要的!
- 时间就是大脑! 一旦怀疑脑梗,不要纠结于“要不要做CT”,应立即拨打120,最快时间到达有卒中救治能力的医院。
- CT不等于MRI。 如果CT正常但症状持续,一定要遵医嘱做MRI检查,以免漏诊。
- 请交给专业医生判断。 本文旨在科普,无法替代专业医师的诊断,拿到CT报告后,请务必与主治医生充分沟通,了解病情、治疗方案和预后。
希望这篇文章能帮助您拨开脑CT的神秘面纱,了解它,是为了更好地战胜它,愿每一位患者都能得到及时、准确的诊断和治疗,早日康复!
(文末可添加相关标签,如:#脑梗 #脑CT #如何看懂CT #健康科普 #脑卒中 #康复医生 #头晕 #肢体无力)

(图片来源网络,侵删)
