非常理解您此刻的担忧和焦虑。“脑内发现多处脑梗病灶”是一个需要严肃对待的医学发现,但它并不意味着绝望,关键在于明确病因、积极治疗、预防复发和长期管理。

(图片来源网络,侵删)
下面我将为您详细解释这个情况,希望能帮助您更好地理解并采取正确的行动。
要正确理解“多处脑梗病灶”
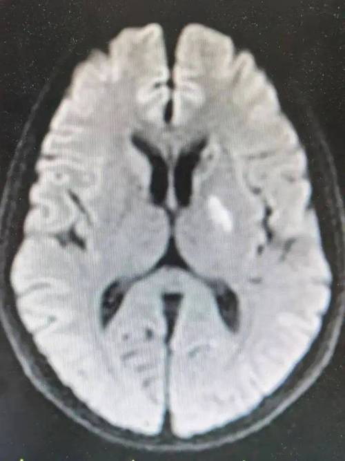
- 什么是脑梗病灶? 脑梗,全称“脑梗死”或“缺血性脑卒中”,是指因为脑部血管堵塞,导致局部脑组织缺血、缺氧而发生的坏死,这个坏死区域,在影像学检查(如CT或MRI)上显示出来的“印记”,脑梗病灶”,它就像身体其他部位(如心脏)的“心梗”一样,是脑组织受损后留下的痕迹。
- “多处”意味着什么? “多处”说明这种血管堵塞事件不是第一次发生,而是可能已经发生过多次,只是之前没有症状或者症状轻微未被察觉,每一次堵塞都会留下一个病灶,这提示我们,导致血管堵塞的根本原因依然存在,并且正在持续对大脑造成损害,核心任务是找到并控制这个“根本原因”。
最重要的一步:立即就医,明确病因
发现“多处病灶”后,绝不能掉以轻心,您需要做的第一件事,就是尽快到正规医院的神经内科就诊,医生会通过一系列检查来寻找病因,这是制定治疗方案和预防复发的基石。
可能的病因包括(医生会重点排查):
- 大动脉粥样硬化: 这是最常见的原因,颈动脉、大脑中动脉等大血管的动脉粥样硬化斑块脱落,随血流堵塞了脑部的小血管。
- 心源性栓塞: 心脏是另一个常见的“栓子”来源,特别是心房颤动(房颤),心房不规则跳动时容易形成血栓,血栓脱落随血流进入大脑,导致梗死,这是需要高度警惕的病因之一。
- 小血管病变: 如高血压导致的穿通小动脉病变,或一些遗传性小血管病。
- 其他原因: 如高同型半胱氨酸血症、自身免疫性疾病、血管炎、凝血功能障碍等。
医生可能会安排的检查:

(图片来源网络,侵删)
- 头颅MRI+DWI+MRA/CTA: MRI是发现脑梗病灶最敏感的检查,MRA(磁共振血管成像)或CTA(CT血管成像)可以查看脑血管有无狭窄或闭塞。
- 颈动脉超声: 检查颈部大动脉有无斑块和狭窄。
- 心脏检查:
- 心电图: 基础检查,看有无心律失常。
- 24小时动态心电图(Holter): 如果怀疑阵发性房颤,这是非常重要的检查。
- 心脏超声(彩超): 检查心脏结构、功能,有无附壁血栓等。
- 血液检查: 血脂、血糖、糖化血红蛋白、同型半胱氨酸、凝血功能等。
核心治疗与预防策略:针对病因,控制危险因素
无论找到哪种具体病因,控制所有可干预的危险因素都是治疗和预防复发的基石,这通常被称为“卒中二级预防”。
药物治疗(遵医嘱服用,切勿自行停药或调整)
- 抗血小板药物: 这是预防血栓形成和复发最核心的药物。
- 常用药物:阿司匹林、氯吡格雷、替格瑞洛等。
- 注意: 医生会根据您的病因(如是否为心源性栓塞)选择单药或双联抗血小板治疗。必须严格遵医嘱,因为双联治疗会增加出血风险。
- 抗凝药物: 如果病因是心房颤动,则需要使用抗凝药来预防心房血栓形成。
- 常用药物:华法林、利伐沙班、阿哌沙班等新型口服抗凝药。
- 注意: 服用华法林需要定期监测INR值(凝血指标),而新型抗凝药则无需常规监测,但仍需警惕出血风险。
- 他汀类药物: 不仅仅是降血脂,更重要的是稳定动脉粥样硬化斑块,防止其破裂和脱落。
- 常用药物:阿托伐他汀、瑞舒伐他汀等。
- 目标: 通常要求低密度脂蛋白胆固醇(LDL-C)水平降至8 mmol/L以下,对于高危患者,甚至要求更低。
- 控制血压和血糖的药物:
- 血压: 目标值通常为<140/90 mmHg,如果耐受良好,可进一步降低,具体目标值请遵医嘱。
- 血糖: 糖尿病患者需严格控制血糖,糖化血红蛋白(HbA1c)目标通常为<7%。
生活方式干预(这是您自己能做的最重要的事)
- 饮食调整(“地中海饮食”或“DASH饮食”):
- 低盐: 每天食盐摄入量<5克。
- 低脂: 减少动物脂肪、油炸食品的摄入。
- 低糖: 减少含糖饮料和甜食。
- 多摄入: 蔬菜、水果、全谷物、鱼类(富含Omega-3脂肪酸)、坚果。
- 规律运动: 每周至少进行150分钟的中等强度有氧运动,如快走、慢跑、游泳、骑自行车等,运动有助于控制体重、血压、血糖和血脂。
- 戒烟限酒: 吸烟是脑梗的独立危险因素,必须彻底戒烟。 饮酒则应限量,最好不喝。
- 控制体重: 将体重指数(BMI)控制在18.5-24 kg/m²的理想范围内。
- 保持良好心态: 避免长期精神紧张、焦虑和抑郁,学会自我调节。
关于已存在的病灶和后续康复
- 病灶会消失吗? 已经形成的脑梗病灶(坏死的脑组织)无法再生或消失,它会作为“疤痕”永久存在。
- 功能能恢复吗? 可以! 大脑具有强大的可塑性,通过积极的康复治疗,未受损的脑细胞可以“接管”受损区域的部分功能,这就是康复治疗的意义所在。
- 康复治疗: 如果您或您的家人因此出现了肢体无力、言语不清、吞咽困难等症状,应尽早开始康复治疗。
- 康复时机: 只要病情稳定,生命体征平稳,就应该开始。
- 康复方式: 包括物理治疗(PT,改善肢体功能)、作业治疗(OT,训练日常生活能力)、言语治疗(ST,改善语言和吞咽功能)等。
- 康复是一个长期过程,需要耐心和毅力。
总结与建议
- 不要恐慌,但要重视: “多处病灶”是一个警示信号,提醒您必须立即采取行动。
- 立即就医,明确病因: 这是最关键的一步,是所有治疗的基础。
- 严格遵医嘱用药: 抗血小板/抗凝、他汀、降压、降糖药物是预防复发的“保护伞”,务必规律服用。
- 彻底改变生活方式: 健康的饮食、规律的运动、戒烟限酒是您自己能掌控的、最有效的“药物”。
- 定期复查: 即使没有症状,也要定期(例如每3-6个月或遵医嘱)回医院复查,监测血压、血脂、血糖等指标,并根据情况调整治疗方案。
- 积极康复: 如果有后遗症,尽早开始康复训练,最大限度地恢复功能。
您不是一个人在战斗,神经内科医生、康复科医生、护士以及您的家人,都是您可以依靠的力量,通过科学、系统的治疗和管理,绝大多数患者可以有效预防复发,并拥有良好的生活质量,祝您早日康复!

(图片来源网络,侵删)
