这是一个非常常见的影像学报告,了解它的含义、原因和后续处理非常重要。

(图片来源网络,侵删)
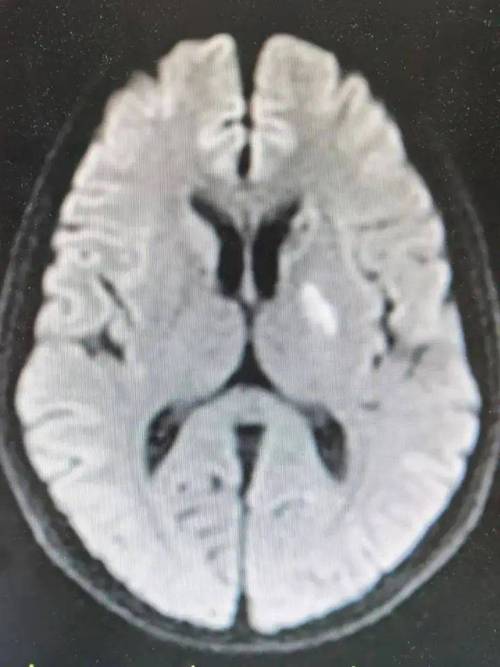
什么是“陈旧性脑梗塞”?
这就像大脑某块区域的“疤痕”。
- “脑梗塞”:指的是大脑的某部分血管堵塞了,导致该区域的脑组织因为缺血缺氧而坏死,这个过程就是“脑梗塞”或“缺血性脑卒中”(俗称“中风”)。
- “陈旧性”:这个词非常关键,它说明这次脑梗塞不是新发生的,而是已经发生了一段时间的,通常指梗塞发生超过2-3周。
为什么能判断是“陈旧性”呢?这主要看CT影像的特点:
- 病灶形态:梗塞区域在CT上通常会表现为一个低密度(比周围正常的脑组织颜色要深/黑)的区域。
- 边界清晰:随着时间的推移(几周后),这个低密度区域的边界会变得非常清晰锐利,周围没有明显的水肿(这是急性期的主要表现)。
- 脑萎缩改变:长期来看,这个梗塞区域会导致局部脑组织体积缩小,可能伴有周围脑室的轻微扩大。
这个结果意味着什么?
- 确认了过去有过一次中风:报告明确告诉你,你的大脑曾经发生过一次缺血事件,并且身体已经“处理”了这次事件的急性期。
- 不是急性发作:好消息是,这不代表你现在正在发生急性中风,如果是急性中风,CT上可能还看不清楚,或者会看到其他急性期的表现(如脑水肿),医生需要立即进行紧急处理。
- 重点在于预防复发:这个结果是一个重要的“警示信号”,它表明你属于“卒中高危人群”,未来再次发生中风(包括新梗塞或出血)的风险比普通人要高。预防和复查是核心。
为什么会发生陈旧性脑梗塞?(常见原因)
绝大多数脑梗塞是由于血栓堵塞了脑血管造成的,根本原因通常与以下因素有关:
- 大血管病变:
- 动脉粥样硬化:最常见的原因,就像水管里长了水垢,颈动脉、大脑中动脉等大血管内壁上形成了斑块,斑块破裂或脱落形成血栓。
- 心源性栓塞:心脏(如房颤、心肌梗死、瓣膜病)产生的脱落的血栓,随血流进入大脑,堵塞了远端的血管。
- 小血管病变:
- 高血压:长期高血压会损伤脑内细小的深穿动脉,导致血管壁变脆、闭塞,形成小范围的梗塞,也叫“腔隙性脑梗塞”。
- 其他少见原因:
血管炎、血液高凝状态、烟雾病等。
发现陈旧性脑梗塞后,我该怎么办?(关键步骤)
这绝对不是可以掉以轻心的问题,需要积极应对。
第一步:立即就医,明确诊断和病因
- 去哪个科室? 神经内科,这是最核心的科室。
- 医生会做什么?
- 详细询问病史:你以前有没有过中风症状(如短暂的手脚无力、说话不清等)?有没有高血压、糖尿病、心脏病、高血脂等病史?生活习惯如何(吸烟、饮酒、饮食)?
- 神经系统体格检查:检查你的肢体力量、感觉、语言、视力、平衡等,评估当前的功能状态。
- 安排进一步检查(非常重要!):
- 颈部血管超声(颈动脉彩超):检查颈动脉有没有明显的斑块或狭窄。
- 经颅多普勒超声(TCD):检查颅内主要血流情况。
- 心脏检查:心电图和心脏超声,排查房颤等心脏问题,必要时做24小时动态心电图。
- 血液检查:血脂、血糖、同型半胱氨酸等。
- 头颅MRI(磁共振):这是比CT更敏感的检查,能更清晰地显示梗塞灶的大小、位置和发生时间,还能发现一些CT看不到的小病灶。
第二步:针对病因,进行“二级预防”(核心中的核心)
神经内科医生会根据你的具体情况,制定一套个性化的预防方案,目标是防止下一次中风发生,通常包括:
-
控制“三高”:
- 高血压:这是最重要的危险因素,必须长期、规律服药,把血压控制在目标值(lt;140/90 mmHg,医生会根据情况调整)。
- 高血脂:他汀类药物是基石,需要将低密度脂蛋白胆固醇(LDL-C)降至目标水平。
- 糖尿病:严格控制血糖,糖化血红蛋白(HbA1c)达标。
-
抗血小板治疗:
- 对于大多数动脉粥样硬化引起的梗塞,需要长期服用抗血小板药物,如阿司匹林或氯吡格雷(或两者联用一段时间后改为单药),以防止血小板聚集形成新的血栓。切记:需在医生指导下服用,不可自行停药或换药。
-
生活方式干预:
- 健康饮食:低盐、低脂、低糖,多吃蔬菜水果、全谷物。
- 规律运动:每周至少150分钟中等强度有氧运动。
- 戒烟限酒:吸烟是明确的高危因素,必须戒掉。
- 控制体重。
- 保持良好心态。
-
处理心脏问题:
- 如果发现是房颤引起的,可能需要长期服用抗凝药(如华法林、新型口服抗凝药),而不是抗血小板药,抗凝药作用更强,出血风险也稍高,需严格遵医嘱。
第三步:评估神经功能,进行康复治疗
- 如果陈旧性脑梗塞导致了后遗症,如肢体无力、言语不清、走路不稳等,应尽早进行康复治疗。
- 康复科或康复中心的医生和治疗师会评估你的功能状况,并制定物理治疗、作业治疗、言语治疗等方案,帮助你最大限度地恢复功能,提高生活质量。
“脑CT检查提示陈旧性脑梗塞”是一个重要的健康警报。
- 它不等于急性病,但预示着未来风险高。
- 核心任务是:找神经内科医生,查清原因,积极预防复发。
- 治疗重点是控制危险因素(三高)、服用预防药物(抗血小板/抗凝)和改善生活方式。
- 不要恐慌,但一定要重视。 通过科学的管理,可以有效降低再次中风的风险,健康地生活。
请务必携带您的CT报告,尽快去正规医院的神经内科就诊,让专业医生为您制定下一步的诊疗计划。
