什么是脑白质脱髓鞘?
基本概念: 我们可以把大脑的神经纤维想象成电线,而包裹在神经纤维外面的髓鞘,就像是电线外层的绝缘皮,髓鞘的主要作用是绝缘和加速神经信号的传导。

脑白质脱髓鞘,就是大脑白质区域(由大量神经纤维束组成)的“绝缘皮”(髓鞘)发生了损坏、脱落或破坏,这会导致神经信号传导变慢、中断,从而引起各种神经功能障碍。
常见病因: 脑白质脱髓鞘可以分为两大类:
-
A. 获得性脱髓鞘(最常见):
- 多发性硬化: 这是最典型的中枢神经系统脱髓鞘疾病,是一种自身免疫性疾病,免疫系统错误地攻击并破坏了自身的髓鞘。
- 急性播散性脑脊髓炎: 通常发生在病毒感染或疫苗接种后,是一种针对髓鞘的异常免疫反应。
- 缺血性脱髓鞘: 这是与您问题高度相关的一点,当脑组织长期处于慢性缺血(血液供应不足)状态时,负责供应营养的血管(穿通支)末端的白质区域最容易受损,这种缺血首先损害的是对缺氧非常敏感的少突胶质细胞(髓鞘的制造细胞),导致髓鞘崩解,这通常是慢性脑小血管病的表现之一。
-
B. 遗传性脱髓鞘:
(图片来源网络,侵删)如肾上腺脑白质营养不良等,较为罕见。
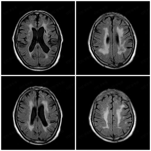
影像学表现: 在磁共振上,脑白质脱髓鞘病灶通常表现为T2加权像和FLAIR序列上的高信号,医生会根据病灶的形态、分布(如是否贴近脑室)、数量等来判断其可能的原因。
什么是贫血性脑梗塞?
基本概念: “贫血性脑梗塞”这个术语在临床中不常用,但它准确地描述了一种特定类型的脑梗塞。
-
脑梗塞:通常指动脉粥样硬化性血栓形成性脑梗塞,也就是我们常说的“中风”或“缺血性中风”,它的核心原因是脑部动脉被血栓堵塞,导致该动脉供应的脑组织因缺血缺氧而坏死,在CT上,早期可能不显影,24-48小时后会出现低密度影。
(图片来源网络,侵删) -
“贫血性”:这个词在这里有特殊含义,它指的是梗塞发生时,患者处于贫血状态,由于血液中红细胞或血红蛋白含量低,血液的携氧能力下降,即使在同样的动脉堵塞情况下,贫血患者的脑组织对缺血缺氧的耐受性更差,梗塞的范围可能会更大,损伤也可能更严重。
核心机制: 贫血性脑梗塞的本质仍然是血管堵塞,但贫血是一个重要的加重因素。
两者之间的密切关系
这是您问题的核心,脑白质脱髓鞘和贫血性脑梗塞虽然病理表现不同(一个是髓鞘的慢性破坏,一个是脑组织的急性坏死),但它们常常“同根同源”,有着共同的病理基础。
共同的“根”慢性脑缺血。
贫血是慢性脑缺血的重要诱因:
- 血液是运输氧气的“卡车”,贫血意味着“卡车”数量不足或载货量不够,导致单位时间内运输到大脑的氧气总量减少。
- 大脑是人体耗氧量最大的器官之一,对缺血缺氧极为敏感,长期贫血,即使没有发生大血管堵塞,也会造成全脑的慢性、低灌注状态。
- 这种慢性缺血首先会影响到脑白质,因为白质区域的血液供应主要来自长而细的穿通小动脉,它们是血液循环的“末梢”,最容易受到低灌注的影响,久而久之,就会导致缺血性脱髓鞘,也就是我们看到的脑白质病变。
贫血会加重脑梗塞的后果:
- 当一个本就因为贫血而处于“脆弱”状态的大脑,突然遭遇一根主要血管的堵塞(即发生脑梗塞)时,后果会非常严重。
- 由于“氧气卡车”本就不足,梗塞区域周边的“半暗带”(濒死但可恢复的脑组织)会因为得不到及时的氧气补充而迅速坏死,导致梗塞灶体积扩大,神经功能缺损更重。
- 这就是“贫血性脑梗塞”的潜在风险。
总结一下它们的关系链: 长期贫血 → 慢性全脑低灌注/缺血 → 脑白质末端供血不足 → 脑白质脱髓鞘(缺血性) 长期贫血 → 脑血管调节能力下降、血液黏稠度改变 → 在某些诱因下(如血压波动、斑块脱落)→ 发生脑动脉堵塞 → 形成脑梗塞,且因贫血导致梗塞范围更大、症状更重
临床意义和建议
对于患者而言,理解这两者的关系至关重要,因为它指向了根本性的治疗方向。
-
积极治疗贫血是关键:
- 如果检查发现贫血,必须首先找出贫血原因(是缺铁、缺维生素B12/叶酸,还是其他血液系统疾病?)并进行针对性治疗。
- 纠正贫血,等于为大脑补充了“氧气卡车”,可以改善脑的慢性灌注状态,延缓甚至部分逆转脑白质脱髓鞘的进展,并预防未来更严重的脑梗塞。
-
控制脑梗塞的危险因素:
- 既然存在慢性脑缺血的基础,那么控制其他血管危险因素就尤为重要,包括:
- 严格控制血压、血糖、血脂。
- 戒烟限酒。
- 健康饮食,适度运动。
- 既然存在慢性脑缺血的基础,那么控制其他血管危险因素就尤为重要,包括:
-
定期复查和随访:
- 定期进行头颅MRI检查,监测脑白质病变和脑梗塞的情况。
- 定期复查血常规,了解贫血的纠正情况。
脑白质脱髓鞘(尤其是缺血性的)和贫血性脑梗塞是同一病理过程(慢性脑缺血)在不同阶段、不同部位的表现,前者是慢性、弥漫性的“磨损”,后者是急性、局灶性的“断裂”。贫血是连接两者的一个重要桥梁和可干预的危险因素,在临床上,当发现患者有脑白质脱髓鞘时,医生通常会建议检查血常规,以排除或确认是否存在贫血,并进行相应的干预。
