看到“核磁提示脑内多发脑梗”这个报告,请不要过于惊慌,这是一个需要严肃对待,但通过科学管理和积极治疗,可以有效控制、预防复发并改善生活质量的诊断。

下面我将为您详细解读这个报告,并提供后续的行动建议。
理解“脑内多发脑梗”是什么意思?
我们可以把这句话拆解开来理解:
-
脑梗(脑梗死):就是我们常说的“中风”的一种类型,它的全称是“缺血性脑卒中”,就是给大脑供血的血管(动脉)被堵住了,导致脑组织因为缺血缺氧而坏死,就像家里的水管堵了,下游就没水了,时间长了,下游的植物就会枯死。
-
多发:这意味着大脑中有不止一个地方发生了梗死,这通常提示脑血管的病变不是偶然的、单一的问题,而是一个系统性的、广泛性的问题。
(图片来源网络,侵删) -
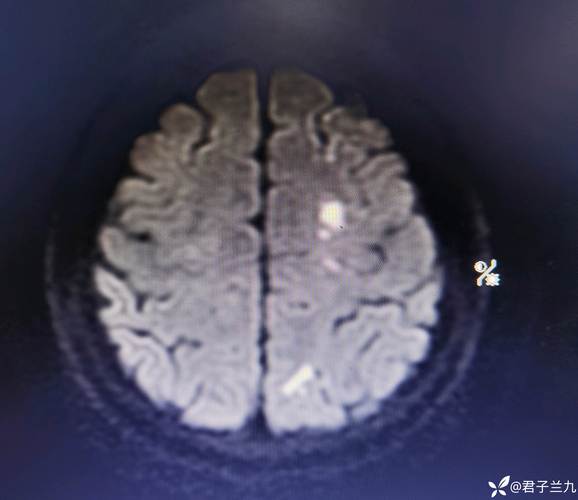
核磁(MRI):核磁共振是目前检查脑部病变最敏感、最准确的影像学方法之一,它能清晰地显示出非常早期的、微小的梗死灶,这些病灶可能在CT检查中完全看不出来。
“脑内多发脑梗”意味着您的大脑中有多个区域因为血管堵塞已经发生了缺血性坏死,这通常是一个慢性病,是身体长期健康状况不佳在脑血管上的体现。
为什么会发生“多发脑梗”?(寻找病因)
“多发”是关键,它指向了全身性的血管问题,最常见的病因包括:
- 高血压:这是导致脑梗最危险、最常见的因素,长期的高血压会不断冲击血管壁,使其变得脆弱、硬化、形成动脉粥样硬化斑块,斑块脱落或血管狭窄堵塞,就会导致脑梗。
- 动脉粥样硬化:就像水管壁上长了水垢,血管壁上也会形成脂质斑块,使血管变窄、变脆,是脑梗的基础病变。
- 心源性栓塞:心脏(如房颤)产生的血栓脱落后,随血流进入大脑,堵塞脑血管,多发梗死的病灶有时会分布在不同的血管区域,提示可能是心源性来源。
- 糖尿病:长期高血糖会严重损害血管内皮,加速动脉粥样硬化,是脑梗的重要危险因素。
- 高脂血症:特别是“坏胆固醇”(LDL-C)水平过高,是形成动脉粥样硬化斑块的原料。
- 吸烟和酗酒:会损伤血管内皮,升高血压,增加血液粘稠度,是明确的脑梗危险因素。
- 其他原因:如高同型半胱氨酸血症、自身免疫性疾病、血管炎等。
看到报告后,应该怎么办?(核心行动步骤)
最重要的一步:立即咨询神经内科医生!
核磁报告只是一个“发现”,真正的诊断和治疗需要专业医生来完成,以下是您需要和医生一起做的事情:
第一步:明确诊断和评估风险
- 详细问诊:医生会询问您的病史、症状(如是否有过头晕、肢体麻木无力、言语不清、视物模糊等)、生活习惯、用药史等。
- 完善检查:为了找到病因和评估整体风险,医生通常会建议做以下检查:
- 颈部血管超声/经颅多普勒(TCD):查看颈部和颅内大血管是否有狭窄或斑块。
- 心脏检查:心电图和心脏超声,排查房颤等心脏问题,必要时可能需要24小时动态心电图。
- 血液检查:血糖、血脂(特别是总胆固醇、甘油三酯、低密度脂蛋白LDL-C、高密度脂蛋白HDL-C)、同型半胱氨酸等。
- 血压监测:可能需要做24小时动态血压监测,了解您的血压全貌。
第二步:制定个体化治疗方案(“ABCDE”治疗原则)
医生会根据您的具体情况,制定一个综合性的管理方案,核心是“ABCDE”原则:
A - Antiplatelet therapy (抗血小板治疗)
- 目的:防止血小板聚集形成新的血栓。
- 常用药物:阿司匹林、氯吡格雷(波立维)等。请务必在医生指导下服用,不要自行停药或换药。
B - Blood pressure control (血压控制)
- 目标:将血压稳定在理想水平(通常建议<140/90 mmHg,医生会根据您的情况设定个体化目标)。
- 方法:低盐饮食、规律运动、必要时服用降压药。
C - Cholesterol management (胆固醇管理)
- 目标:降低“坏胆固醇”(LDL-C),对于脑梗患者,这个目标值通常要求很低(如<1.8 mmol/L)。
- 方法:他汀类药物(如阿托伐他汀、瑞舒伐他汀)是基石,同时要低脂饮食。
D - Diabetes management & Diet (糖尿病管理与饮食)
- 目标:严格控制血糖。
- 方法:遵医嘱用药,严格控制饮食,减少高糖、高精制碳水化合物的摄入。
E - Exercise & Education (运动与健康教育)
- 运动:在医生允许的情况下,进行规律的、适度的有氧运动,如快走、慢跑、游泳等,有助于改善血管功能。
- 教育:充分了解自己的疾病,知道如何识别中风先兆(FAST原则),并学会长期自我管理。
第三步:改变生活方式(与药物治疗同等重要)
- 健康饮食:采用地中海饮食或DASH饮食模式,多吃蔬菜、水果、全谷物、鱼类,减少红肉、加工食品、油炸食品和含糖饮料。
- 戒烟限酒:必须戒烟! 酒精也要严格限制。
- 控制体重:将体重指数(BMI)控制在18.5-24的理想范围内。
- 规律作息:保证充足的睡眠,避免熬夜。
- 保持心态平和:避免情绪剧烈波动。
关于预后和复发风险
- “多发”意味着什么? 它确实提示未来发生中风或再次梗死的风险相对更高,预防和控制工作必须做得更严格、更持久。
- 已经发生的梗塞灶会消失吗? 不会,坏死的脑组织无法再生,大脑有强大的代偿功能,通过积极的康复治疗和后续管理,其他健康的脑区可以接管部分功能,从而使您的症状得到改善或生活自理能力不受影响。
- 康复治疗:如果您已经留下了后遗症(如肢体无力、言语障碍等),请尽早开始康复治疗(物理治疗、作业治疗、言语治疗等),这对于恢复功能至关重要。
总结与核心建议
- 不要恐慌,但要重视:这不是绝症,而是一个需要终身管理的慢性病。
- 立即就医:挂神经内科的号,让专业医生为您进行系统评估和制定治疗方案。
- 全面检查:配合医生完成所有必要的检查,找出病因是有效治疗的前提。
- 坚持治疗:严格按照医嘱服药,尤其是抗血小板、降压、降脂药物,这是预防复发的基石。
- 彻底改变生活方式:这是所有药物治疗的基础,效果甚至不亚于药物。
- 定期复查:遵医嘱定期复查血压、血脂、血糖等指标,并根据情况调整治疗方案。
您现在掌握的主动权,就是通过科学的管理,最大限度地降低未来风险,保护好您的大脑,维持高质量的生活,祝您早日康复!
