我们来拆解一下这个报告
-
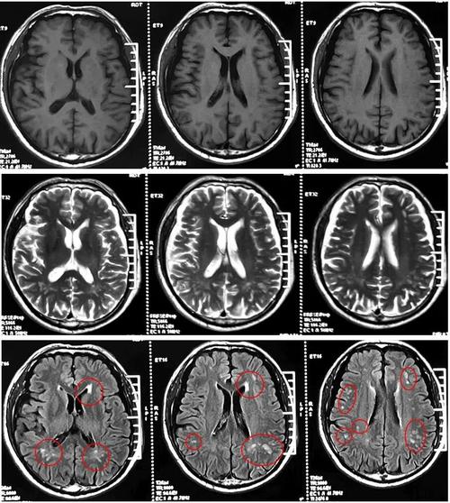
脑系核磁:
(图片来源网络,侵删)这指的是检查的部位和方法,即“头颅核磁共振成像”(MRI),这是一种非常先进的影像学检查,对脑部组织的分辨率很高,能发现CT检查看不出来的细微病变。
-
脑内:
病变的位置在脑组织内部。
-
腔梗:
(图片来源网络,侵删)- 这是核心诊断。“腔隙性脑梗塞”的简称。
- 简单理解:可以把它想象成大脑里非常微小的“小中风”或“小梗塞”。
- 形成原因:我们的大脑里有非常细小的血管,叫做“穿通动脉”,这些血管为大脑深部的一些重要结构(如基底节、丘脑、脑干等)供血,当这些小血管因为各种原因(比如堵塞、变性)发生堵塞时,它所供应的那一小块脑组织就会因为缺血而坏死,形成一个微小的“洞”或“腔隙”,这个坏死区域就叫做“腔隙性脑梗塞”。
- 大小:通常病灶非常小,直径一般在1.5-3毫米左右,所以报告描述为“少许”,说明数量不多,且体积很小。
-
少许:
表明数量不多,通常是1-3个,或者更多但分散,这提示病情可能处于早期或相对较轻的阶段。
这个结果严重吗?
对于绝大多数人来说,“少许腔梗”不算特别严重,但它是一个非常重要的“健康警报信号”。
-
不严重的一面:
(图片来源网络,侵删)- 病灶小:因为梗塞的区域非常小,通常不会影响到重要的神经功能,所以很多人没有任何症状,只是在体检时偶然发现。
- 可控制:它是一个可控的、可防的疾病,关键在于后续的管理。
-
需要警惕的一面(为什么它是警报信号):
- 是“冰山一角”:脑内能被MRI看到的“少许腔梗”,说明您大脑的血管系统已经存在问题了,那些更细小、还没形成梗塞的血管,可能也已经处于不健康的状态,它预示着未来发生更大面积脑梗或其它心脑血管疾病(如心肌梗死)的风险比正常人要高。
- 病因提示:腔梗的出现,通常意味着您可能存在一些基础的健康问题,最常见的就是:
- 高血压(最重要的原因!)
- 糖尿病
- 高脂血症
- 长期吸烟
- 高龄
我该怎么办?(最重要的部分)
发现“腔梗”后,千万不要慌张,但一定要重视,把它看作是身体在提醒您:“是时候关注心脑血管健康了!”以下是具体的行动建议:
立即就医,咨询专科医生
- 首选科室:神经内科。
- 医生会做什么:
- 详细评估:询问您的病史、生活习惯、有无症状(如头晕、肢体麻木、反应稍慢等)。
- 完善检查:可能会建议您做一些检查来评估整体血管健康状况,
- 血压监测(包括家庭自测)
- 血糖、糖化血红蛋白(筛查糖尿病)
- 血脂全套(检查胆固醇、甘油三酯等)
- 颈动脉超声(检查颈部大血管有无斑块)
- 明确诊断和制定方案:根据您的具体情况,给出个性化的治疗和生活方式干预建议。
严格控制“三高”(核心中的核心)
- 高血压:这是导致腔梗的“头号杀手”,务必将血压控制在医生建议的目标范围内(通常是 < 140/90 mmHg,如果有糖尿病或肾病,要求可能更严格,如 < 130/80 mmHg)。坚持规律服药,不要随意停药或减药。
- 高血糖:糖尿病患者要严格控制血糖,定期监测糖化血红蛋白。
- 高血脂:特别是低密度脂蛋白胆固醇(LDL-C,俗称“坏胆固醇”)要达标,医生可能会根据您的心血管风险,决定是否需要服用他汀类药物来降脂。
彻底改变生活方式(比吃药更重要)
- 健康饮食:
- 低盐:每天食盐摄入量 < 5克。
- 低脂:少吃油炸食品、肥肉,多选择瘦肉、鱼类。
- 低糖:少喝含糖饮料,少吃甜点。
- 多蔬菜水果:多吃富含膳食纤维的食物。
- 推荐:地中海饮食或DASH饮食模式。
- 规律运动:
- 每周至少进行150分钟的中等强度有氧运动,如快走、慢跑、游泳、骑自行车等。
- 运动有助于控制血压、血糖、体重,改善血管弹性。
- 戒烟限酒:
- 吸烟必须彻底戒掉,吸烟对血管的伤害是巨大且直接的。
- 饮酒应严格限制或戒除。
- 控制体重:将体重指数(BMI)控制在18.5-24的理想范围内。
- 保持良好心态:避免长期精神紧张、焦虑,学会减压,保证充足睡眠。
定期复查
- 遵医嘱:按照医生的要求,定期回来复查血压、血糖、血脂,以及复查头颅MRI(通常1-2年一次,具体听从医生安排)。
- 监测变化:复查的目的是监测病情有无进展,评估治疗效果,并及时调整方案。
“脑内少许腔梗”是一个发现早、可防可控的信号,它本身可能不引起症状,但它揭示了您未来心脑血管疾病的风险正在增加。
您的当务之急是:
- 去看神经内科医生,进行全面评估。
- 和医生一起,找出导致腔梗的根本原因(如高血压等)。
- 下定决心,通过“药物治疗 + 生活方式改变”双管齐下,将风险降到最低。
把它当成一个改善健康状况的契机,积极面对,科学管理,绝大多数人都能很好地控制病情,正常生活,祝您健康!
