核心概念解析
脑梗13天意味着什么?
脑梗塞,也就是我们常说的“中风”,是由于脑部血管堵塞,导致局部脑组织缺血、缺氧而坏死,这个疾病有一个非常关键的时间概念:时间就是大脑。

- 急性期(通常指0-24小时):这是治疗的“黄金窗口期”,在这个阶段,堵塞的血管如果能够尽快开通,可以最大程度地挽救濒临死亡的脑细胞,减少后遗症。
- 超急性期(通常指24小时 - 48小时):仍然是积极干预的重要时期,部分治疗方法(如静脉溶栓)可能仍在时间窗内。
- 急性后期/亚急性期(通常指3天 - 2周):核心的梗死区域已经明确形成,脑细胞已经死亡,治疗的重点从“抢救”转向“防止病情恶化”和“促进康复”。
- 13天:这个时间点已经明确进入了亚急性期,这意味着:
- 核心梗死区已经定型:脑细胞已经死亡,这部分功能是永久性的,无法通过药物“复活”。
- 水肿高峰期可能已过:脑梗死后周围组织会水肿,引起颅内压增高,水肿通常在发病后第3-5天达到高峰,到第13天,水肿情况已经开始逐渐消退。
- 治疗策略转变:目前的治疗重点不再是溶栓取栓,而是二级预防(防止复发)、对症支持治疗(控制血压、血糖等)和早期康复。
什么是“半暗带”?
“半暗带”(Penumbra)是理解脑梗治疗潜力的核心概念。
- 核心梗死区(Core Infarct):这是血管完全堵塞、血流量严重不足的区域,这里的脑细胞在几分钟到几个小时内就会发生不可逆的死亡。这部分是“死的”,无法挽救。
- 缺血半暗带(Ischemic Penumbra):这是环绕在核心梗死区周围的“危险”区域,这里的脑细胞由于血流量严重下降,功能已经丧失(比如肢体不能动、说话不清楚),但细胞本身还没有完全死亡,它们处于一种“休眠”或“垂死”的状态。
打个比方: 想象一块被水淹的农田。
- 核心梗死区:已经被水完全淹没,庄稼(脑细胞)已经淹死,无法挽回。
- 缺血半暗带:田地边缘虽然也被水浸泡,庄稼也奄奄一息,但如果水能马上退去,这些庄稼还有可能存活下来并恢复生机。
拯救半暗带,就是脑梗治疗最根本的目标! 只要能及时恢复半暗带的血液供应,就能挽救这部分脑功能,极大地减少患者的后遗症。
脑CT与“半暗带”的关系(关键点)
现在我们来回答您最关心的问题:脑CT能看到半暗带吗?

答案是:在常规情况下,普通平扫CT在发病13天这个时间点,是无法直接、清晰地显示“半暗带”的。
原因如下:
-
时间限制:半暗带是一个急性期(通常是发病后数小时内)的概念,随着时间的推移,如果血流没有恢复,半暗带会逐渐“恶化”,最终也转变为不可逆的梗死区,到了第13天,原本可能存在的半暗带已经大部分或全部坏死,并融入了核心梗死区。
-
成像原理限制:
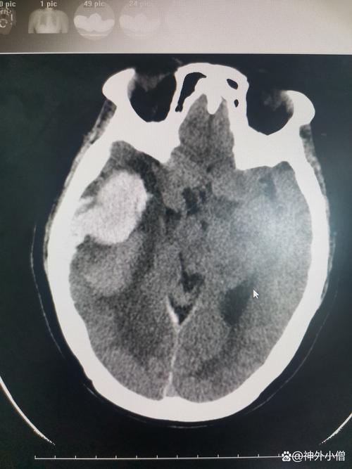
(图片来源网络,侵删)- 普通平扫CT:它主要是看密度变化,在发病超早期(6小时内),可能看不到明显异常,几小时到几天后,坏死的脑细胞会因为水肿而密度变低,这时才能看到低密度的梗死灶,但它无法区分哪些是已经坏死的“核心区”,哪些是濒临死亡的“半暗带”,它只能看到一个“模糊”的梗死整体。
- CTA(CT血管造影):可以清楚地看到哪根血管堵了,但同样无法直接显示半暗带。
- CTP(CT灌注成像):这是通过CT来评估半暗带的关键技术! 它需要注射造影剂,通过观察造影剂在脑组织中的通过情况(血流速度、血流量等),来绘制出“脑血流图”。
- CBF(脑血流量) 和 CBV(脑血容量) 低的区域,可能是核心梗死区。
- CBF低但CBV不低或轻度升高的区域,就是典型的缺血半暗带,这部分脑组织极度缺血,但为了维持生存,正在最大限度地扩张血管来储备血液。
对“脑梗13天做CT看到半暗带”的解读
如果您被告知在13天的CT检查中看到了“半暗带”,可能有以下几种情况:
-
使用了特殊的CTP检查:医生可能为您安排了CT灌注成像(CTP),即使在亚急性期,CTP有时仍能显示出一些血流动力学异常的区域,这些区域可以被理解为“半暗带”的残留或演变,对于评估病情严重程度和指导后续治疗(如调整血压、评估康复潜力)有一定价值,但这已经不是急性期那种“可被挽救”的半暗带了。
-
医生使用了比喻性的语言:医生在解释病情时,可能会用“半暗带”这个词来形容梗死灶周围仍然处于“休眠”状态、有恢复潜能的脑组织,虽然这些组织在影像上不是严格意义上的急性期半暗带,但它们的功能确实可以通过后续的康复治疗和神经重塑得到一定程度的改善,这是一种积极的、鼓励性的说法。
-
存在侧支循环:有些患者脑内形成了很好的侧支循环(就像道路堵塞了,但有很多小路可以绕行),使得即使主要血管堵塞,远端仍有少量血液供应,这部分区域在影像上可能表现为低灌注区,其功能状态也类似于一个“慢性的、稳定的半暗带”。
总结与建议
-
当前阶段(13天):治疗重点已从“抢救”转为“康复”和“预防复发”,请务必遵从医嘱,进行规范的二级预防(如服用抗血小板/抗凝药物、他汀类药物等),并开始积极的康复训练(物理治疗、作业治疗、言语治疗等)。
-
关于CT检查:
- 如果做的是普通平扫CT,它显示的是已经形成的梗死灶大小和位置,以及水肿消退情况。
- 如果做的是CTP(CT灌注成像),则提供了更详细的血流信息,有助于医生更全面地评估脑组织的状况。
-
与医生沟通:最准确的信息来源是您的主治医生,请带着您的CT影像和报告,直接询问医生:
- “医生,我的CT报告/影像上,除了这个大的梗死灶,您看到的这个低灌注区域(如果有的话)意味着什么?”
- “根据目前的检查结果,您对我接下来的治疗和康复有什么建议?”
请保持积极的心态,虽然13天已过,错过了急性期的黄金治疗,但通过科学的康复训练和严格的二级预防,患者仍然有很大的功能恢复空间,生活质量可以得到显著改善。
