核心概念:一句话概括
磁共振血管成像 是一种无创的检查技术,用于观察血管的结构和血流情况,而 脑梗 是因脑部血管堵塞导致脑组织缺血坏死的疾病。MRA是诊断、评估和指导脑梗治疗的关键工具。

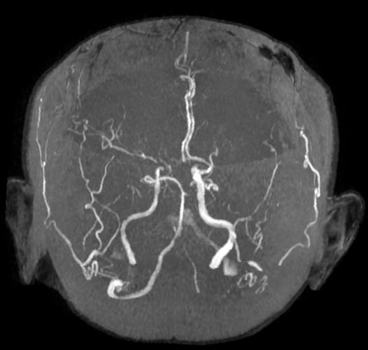
(图片来源网络,侵删)
第一部分:什么是磁共振血管成像?
MRA是磁共振成像的一个特殊应用,它不需要像传统血管造影那样向血管内注射造影剂(虽然也可以用),主要利用血液流动的特性来生成血管的图像。
主要技术类型:
- 时间飞跃法: 最常用的一种,利用血液流动速度快而周围组织静止的特点,流动的血液在图像上呈现为高信号(亮白色),而静止的组织呈低信号(黑色),从而形成血管的“造影像”。
- 相位对比法: 利用血流速度的方向和大小差异来成像,可以更精确地测量血流速度和方向。
- 对比增强磁共振血管成像: 静脉注射一种特殊的含钆造影剂,可以更清晰、更快速地显示血管,尤其适用于评估颈部动脉(如颈内动脉)和颅内细小血管,以及对TOF-MRA效果不佳的情况。
MRA能显示什么?
- 血管有无狭窄或闭塞: 这是最核心的应用。
- 血管有无扩张或动脉瘤: 血管壁上像气球一样的鼓包,有破裂风险。
- 血管有无畸形: 如动静脉畸形,血管结构混乱。
- 血管有无夹层: 血管壁撕裂,形成真假两腔。
第二部分:什么是脑梗?
脑梗,全称“脑梗死”或“缺血性脑卒中”,是指因脑部血管阻塞,导致血液供应中断,引起脑组织缺血、缺氧,最终导致脑细胞死亡的一种严重疾病。

(图片来源网络,侵删)
常见病因:
- 血栓形成: 在血管壁上(通常是动脉粥样硬化斑块处)形成血栓,逐渐增大最终堵塞血管。
- 栓塞: 身体其他部位(如心脏、颈部大动脉)的血栓、斑块或赘生物脱落,随血流堵塞到较细的脑部血管,这是最常见的病因之一。
- 其他原因: 如血管炎、夹层、凝血功能障碍等。
第三部分:MRA在脑梗诊疗中的关键作用
当怀疑发生脑梗时,MRA扮演着多个至关重要的角色。
明确病因:血管堵在哪里?堵住了多少?
这是MRA最核心的价值,医生需要知道:
- 责任血管是哪一根? 是大脑中动脉、颈内动脉还是其他血管?这决定了梗死的区域和治疗方案。
- 堵塞的程度如何? 是轻度狭窄、重度狭窄,还是完全闭塞?
- 堵塞的性质是什么? 是局部血栓形成,还是远处的栓子脱落造成的栓塞?
示例:

(图片来源网络,侵删)
- MRA显示右侧大脑中动脉M1段重度狭窄或闭塞,高度怀疑该血管是本次脑梗的“罪魁祸首”。
- MRA显示颈内动脉起始部有巨大斑块,可能是栓子的来源地。
指导急性期治疗(时间窗内)
对于急性脑梗患者,有一个关键的“治疗时间窗”(通常是发病后4.5小时内,部分患者可延长至6小时或24小时),在这个时间内,如果符合条件,可以进行静脉溶栓或动脉取栓。
- 决定能否进行动脉取栓:
- 适应症: 对于由大血管(如颈内动脉、大脑中动脉M1段)闭塞引起的严重脑梗,动脉取栓是效果最好的治疗方法。
- MRA的作用: 快速、准确地发现是否存在大血管闭塞,如果MRA证实了大血管闭塞,患者就有机会接受动脉取栓,大大提高康复几率,降低残疾风险。
- 排除禁忌症: MRA可以帮助排除血管畸形、动脉瘤等不适合溶栓/取栓的情况。
评估病情严重程度和预后
- 侧支循环评估: 当一根主要血管堵塞后,大脑会启动“备用通道”——侧支循环,来为缺血区域供血,MRA可以清晰地显示这些侧支循环是否丰富。
- 侧支循环好:意味着缺血区的脑组织还能得到部分血液供应,病情相对较轻,预后也更好。
- 侧支循环差:意味着缺血区完全“断供”,梗死范围可能更大,病情更重,预后更差。
查找潜在病因,预防复发
脑梗首次发作后,复发风险很高,MRA可以帮助寻找潜在的病因,以便进行二级预防。
- 颈部动脉检查: 发现颈动脉狭窄,可能需要颈动脉支架植入或内膜剥脱术。
- 颅内动脉检查: 发现颅内动脉狭窄,需要更严格的药物控制(如强化抗血小板、降脂治疗)。
- 发现其他问题: 如动脉瘤、夹层等,需要进行针对性处理。
第四部分:MRA与其他检查的比较
| 检查方法 | 优点 | 缺点 | 在脑梗中的应用 |
|---|---|---|---|
| 磁共振血管成像 | 无创,无辐射,软组织分辨率高,能同时评估脑组织和血管,可显示侧支循环。 | 对血流慢的血管显影不佳,对细小血管的分辨率不如DSA,有幽闭恐惧症患者受限。 | 首选的无创检查,用于诊断、评估和指导治疗。 |
| CT血管成像 | 速度快,对钙化斑块敏感,普及率高。 | 有辐射,需注射含碘造影剂(对肾功能不全和碘过敏者有风险),对出血敏感。 | 急诊常用,快速排除脑出血和大血管闭塞。 |
| 数字减影血管造影 | “金标准”,分辨率最高,能动态显示血流,可同时进行介入治疗(如取栓、支架植入)。 | 有创,有辐射,需动脉穿刺,有极低概率的并发症(如卒中、出血)。 | 当MRA/CTA结果不明确,或计划进行介入治疗时使用。 |
对于脑梗患者来说,磁共振血管成像是一项不可或缺的检查,它不仅仅是为了“看一眼血管堵没堵”,而是:
- 侦探:精准定位罪犯血管,分析堵塞原因。
- 决策者:在黄金时间内,决定是否进行最有效的动脉取栓治疗。
- 预言家:通过评估侧支循环,预测病情发展和康复潜力。
- 规划师:查找潜在风险,制定长期的二级预防方案,防止复发。
当医生怀疑或确诊脑梗时,安排MRA检查是规范诊疗流程中至关重要的一步。
