类风湿性关节炎是一种以侵蚀性、对称性多关节炎为主要临床表现的系统性自身免疫性疾病,影像学检查在RA的诊断、病情评估、治疗监测和鉴别诊断中扮演着至关重要的角色。

(图片来源网络,侵删)
以下是RA在不同影像学检查中的主要表现,我们将从最常用的X光开始,逐步介绍更先进的影像技术。
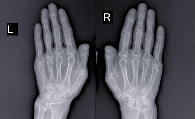
X线平片
X线是RA最基础、最常用的影像学检查方法,主要评估骨与软骨的破坏情况,RA的X线改变是一个动态发展的过程,国际通用的评估标准是Sharp/van der Heijde评分系统,它从侵蚀和关节间隙狭窄两个方面量化关节损害。
早期RA(X线可能正常或仅有轻微改变)
- 软组织肿胀:关节周围软组织因炎症、水肿而密度增高,是RA最早期的X线征象之一。
- 关节积液:表现为关节囊内脂肪垫被推挤、移位,尤其是在膝关节的髌下脂肪垫。
- 骨质疏松:关节周围,尤其是靠近关节面的骨质,出现弥漫性或局限性骨质密度减低,这是RA早期的特征性表现,由炎症性血管炎和破骨细胞活性增强引起。
中晚期RA(出现特征性破坏性改变)
-
关节间隙狭窄:
- 原因:由关节软骨面被侵蚀、破坏、磨损所致。
- 特点:通常是“均匀性”狭窄,即关节间隙两侧对称变窄,这与骨关节炎的“非均匀性”或“不对称”狭窄不同,狭窄程度与软骨破坏的严重性成正比。
-
骨侵蚀:
(图片来源网络,侵删)- 定义:关节边缘和邻近骨皮质出现的虫噬状、穿凿样骨质缺损。
- 好发部位:
- 手、足小关节:最典型的部位是近端指间关节、掌指关节、跖趾关节。
- 腕关节:尤其是尺骨茎突、桡骨远端、月骨、三角骨等部位。
- 股骨髁、胫骨平台等大关节。
- 特点:侵蚀灶通常位于关节边缘,与关节软骨相邻,这是滑膜血管翳从关节边缘向骨内侵袭的直接证据,典型的侵蚀形态是“穿凿样”,边缘清晰,可有硬化边。
-
关节畸形:
- 尺侧偏斜:掌指关节破坏后,手指向小指侧偏斜。
- 天鹅颈畸形:近端指间关节过伸,远端指间关节屈曲。
- 纽扣花畸形:远端指间关节过伸,近端指间关节屈曲。
- “Z”形拇畸形:拇指腕掌关节破坏导致。
-
关节脱位/半脱位:
- 由于韧带和关节囊被炎症破坏,导致关节对位关系失常,最常见的是腕关节的月骨向掌侧脱位(舟月骨分离)和跖趾关节的半脱位。
-
骨性强直:
在RA中不如骨关节炎常见,但如果炎症持续且得不到控制,最终也可能导致关节骨性融合,完全丧失功能。
(图片来源网络,侵删)
超声
超声是一种实时、无辐射、高分辨力的影像学工具,能直接显示滑膜、肌腱、韧带等软组织结构,对早期RA的诊断和评估非常有价值。
主要表现:
-
滑膜炎:
- 定义:滑膜增厚和关节积液。
- 超声表现:在灰阶超声上,增厚的滑膜表现为关节腔内低回声或无回声的软组织层,厚度通常>2mm,在彩色多普勒超声上,增厚的滑膜内可探及血流信号,这是滑膜炎症活动性的直接标志,对评估疾病活动度和指导治疗至关重要。
-
骨侵蚀:
- 超声表现:表现为骨皮质表面连续性的中断,形成“虫噬样”或“火山口样”的骨质缺损,超声对发现早期、表浅的骨侵蚀比X线更敏感。
-
腱鞘炎/肌腱炎:
- RA常累及肌腱,尤其是手指和腕部的伸肌腱和屈肌腱。
- 超声表现:肌腱增粗,回声减低,内部纤维结构模糊,周围可见积液和血流信号,严重时可出现肌腱撕裂或断裂。
-
关节积液:
表现为关节腔内无回声暗区,可压迫增厚的滑膜。
磁共振成像
MRI是评估RA最敏感的影像学方法,能清晰地显示滑膜、骨髓、软骨、肌腱等所有结构,对发现早期、轻微的病变具有无与伦比的优势。
主要表现:
-
滑膜炎:
- T1加权像:增厚的滑膜呈低信号。
- T2加权像/STIR序列:增厚的滑膜呈高信号(代表水肿和炎症)。
- 增强扫描(Gd-DTPA):是评估滑膜炎的金标准,增厚的滑膜出现明显强化,强化程度与炎症活动性高度相关。
-
骨髓水肿:
- 定义:骨组织内因炎症、充血和微骨折导致的液体增加。
- MRI表现:在STIR和T2加权像上表现为边界不清的高信号区域,骨髓水肿是RA早期非常敏感的标志,预示着即将发生骨侵蚀,被认为是“侵蚀前”病变,它也与关节疼痛和疾病活动度密切相关。
-
骨侵蚀:
- MRI表现:比X线更早、更清晰地显示骨皮质破坏,表现为骨皮质连续性中断,周围常伴有骨髓水肿信号。
-
肌腱炎/腱鞘炎:
表现为肌腱和腱鞘增厚,在T2加权像和STIR序列上呈高信号,增强扫描可见强化。
CT
CT在RA中的应用不如前三者广泛,但在特定情况下有重要价值。
主要应用和表现:
- 高分辨率骨细节显示:对于复杂的关节,如腕关节、骶髂关节,CT能更清晰地显示微小的骨侵蚀和骨折。
- 引导穿刺活检:在CT引导下对增厚的滑膜或可疑病变进行精准穿刺。
- 评估关节破坏程度:尤其在准备进行关节置换手术时,CT能提供详细的骨骼形态信息,帮助医生制定手术方案。
- 表现为:与X线类似的骨侵蚀和关节间隙狭窄,但图像更清晰,无重叠干扰。
总结与比较
| 影像学方法 | 主要优势 | 主要表现 | 适用阶段 |
|---|---|---|---|
| X线平片 | 基础、普及、廉价、标准化 | 骨侵蚀、关节间隙狭窄、畸形、骨质疏松 | 诊断、分期、随访(中晚期评估“损害”) |
| 超声 | 实时、无辐射、动态评估、高分辨率软组织 | 滑膜炎(血流信号)、骨侵蚀、肌腱炎 | 早期诊断、评估活动性、引导治疗 |
| 磁共振 | 最敏感、多平面成像、评估骨髓和滑膜 | 骨髓水肿、滑膜炎(强化)、骨侵蚀 | 早期诊断、研究、评估预后 |
| CT | 高分辨率骨细节、无重叠 | 清晰显示复杂骨侵蚀、引导手术 | 特定疑难病例、术前评估 |
核心要点:
- 动态演变:RA的影像表现是一个从软组织肿胀、骨质疏松,到滑膜炎、骨髓水肿,再到骨侵蚀、关节间隙狭窄,最终导致畸形和强直的连续过程。
- 评估目的不同:
- 诊断和早期发现:首选MRI和超声。
- 评估疾病活动性(炎症):首选超声(血流信号)和MRI(强化滑膜、骨髓水肿)。
- 评估结构性损害(破坏):首选X线(标准化评分)。
- “金标准”的演变:过去X线是诊断的基石,而现在,ACR/EULAR的诊断标准更强调临床指标,影像学(尤其是MRI和超声发现的滑膜炎和骨侵蚀)作为重要的支持证据,用于早期诊断和分类。
通过综合运用这些影像学方法,医生可以全面、准确地把握RA的病情,为患者制定最个体化的治疗方案。
