脑CT上显示的“脑梗症状边缘模糊”是急性期脑梗死的典型影像学特征之一,但它并不能作为确诊脑梗死的唯一依据。

(图片来源网络,侵删)
下面我将从几个方面为您拆解这个信息:
“边缘模糊”到底是什么意思?
在正常的脑CT影像上,大脑的灰质(细胞体聚集的地方)和白质(神经纤维束)之间有比较清晰的分界,当发生脑梗死后,这个分界会变得模糊不清,主要原因是:
- 细胞水肿(细胞毒性水肿):这是最核心的原因,脑组织缺血缺氧后,脑细胞无法维持正常的离子平衡,导致大量水分涌入细胞内,细胞像气球一样“肿胀”起来,这种肿胀的细胞会压迫周围的正常组织,使得原本清晰的解剖边界变得模糊。
- 血管源性水肿:随着缺血时间延长,血脑屏障(保护大脑的一道“墙”)被破坏,血管里的液体会漏到细胞间隙中,进一步加重水肿和边界模糊。
“边缘模糊”是脑组织正在发生缺血性损伤的早期信号,表明梗死的范围可能还在扩大,或者处于非常活跃的病理变化阶段。
脑CT在诊断脑梗死中的作用和局限性
您需要了解,脑CT在诊断脑梗死方面是一把“双刃剑”。

(图片来源网络,侵删)
脑CT的优势(为什么医生会开CT):
- 快速排除:这是CT最重要的作用,医生需要迅速排除脑出血,因为脑出血和脑梗死的初期症状非常相似(都可能是突发的肢体无力、言语不清等),但治疗方案却完全相反,一个快速、清晰的CT可以在几分钟内确定有没有出血,这是决定后续治疗的关键第一步。
- 发现早期大梗死灶:对于大脑中动脉等大血管堵塞引起的大面积脑梗死,CT在发病后数小时内就可能显示出一些间接征象,比如脑沟变浅、脑回模糊、密度稍低等,这些都是“边缘模糊”的宏观表现。
脑CT的局限性(为什么有时CT看不出问题):
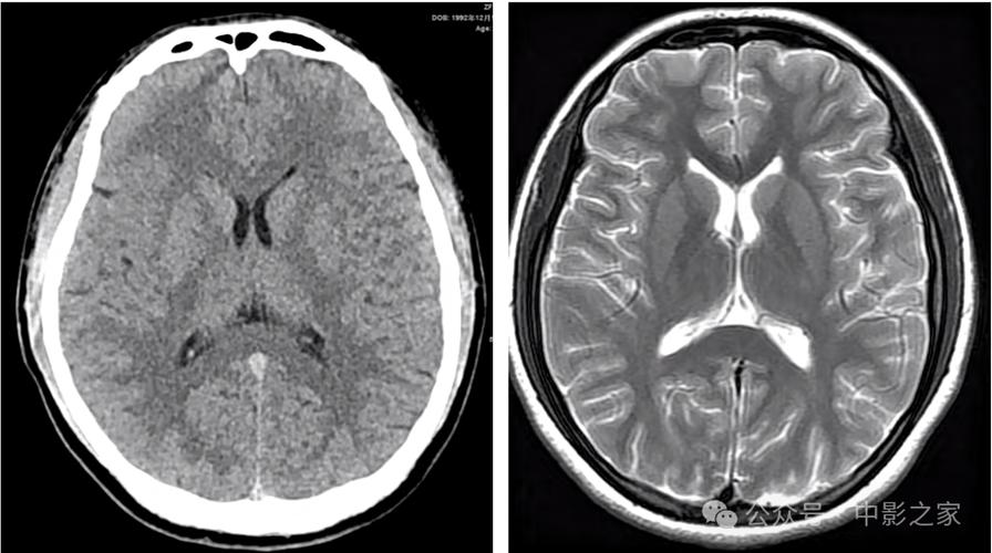
- 对早期小梗死不敏感:在发病后的6小时内,甚至是24小时内,很多小的、腔隙性的脑梗死在CT上可能完全正常,或者只有非常细微的改变,难以与正常脑组织区分,这就是为什么很多患者症状很重,但第一次CT报告却是“未见明显异常”。
- “边缘模糊”并非脑梗死特有:其他一些情况,如脑炎、肿瘤、脱髓鞘疾病等,在CT上也可能表现为边缘模糊的低密度影,单凭CT的“边缘模糊”,不能100%确诊就是脑梗死。
确诊脑梗死需要做什么检查?
如果高度怀疑是脑梗死,而CT又没有明确显示,医生通常会建议进行以下检查来确诊和评估病情:
-
磁共振成像,特别是DWI序列(弥散加权成像)
- 这是目前诊断早期脑梗死的“金标准”,DWI对水分子的微观运动极其敏感,能在发病后30分钟到2小时内就发现缺血坏死的脑组织,表现为明显的高信号(亮点),而且边界清晰。
- 如果您或您的家人被怀疑脑梗死,但CT正常,医生一定会建议尽快做MRI检查。
-
CT血管造影
- 这是在CT基础上进行的增强扫描,可以清晰地显示颅内大血管(如颈内动脉、大脑中动脉等)有没有堵塞、狭窄或夹层,它能帮助医生找到病因,并评估是否适合进行溶栓或取栓治疗。
-
磁共振血管成像
(图片来源网络,侵删)与CTA类似,也是用来评估血管情况的,但无辐射,对血管壁的显示有时更优。
总结与建议
综合以上信息,我们可以得出以下结论:
- “脑CT显示脑梗症状边缘模糊”:这是一个重要的警示信号,提示医生患者很可能是急性脑梗死,尤其是大面积梗死,它为后续的紧急治疗提供了方向。
- CT正常或模糊≠排除脑梗死:如果症状典型但CT报告“未见异常”,绝对不能掉以轻心,必须尽快进行MRI检查来明确诊断。
- 时间就是大脑:对于脑梗死,每一分钟都至关重要,一旦出现疑似症状(如FAST原则:Face面部歪斜、Arm手臂无力、Speech言语不清、Time及时就医),请立即拨打急救电话,争分夺秒送往有救治能力的医院。
给您的最终建议: 请务必遵从主治医生的指导,医生会根据您的临床症状、CT结果以及其他检查(如血液检查)来综合判断,如果医生建议您做进一步的MRI或CTA检查,请务必积极配合,以便获得最准确的诊断,并制定最佳的治疗方案。
