MRA正常,MRI却显示脑梗?别慌!医生为你揭开谜团与应对之道**

(引言 - 抓住用户痛点,引发共鸣)
“医生,我头晕、肢体麻木,做了MRI,报告上说有‘脑梗塞’,可MRA又说血管正常,这是怎么回事啊?难道误诊了?”
在临床工作中,我们经常遇到患者拿着这样的检查报告,满脸困惑与焦虑,MRA正常,MRI却提示脑梗,这看似矛盾的结果,究竟意味着什么?是检查出了问题,还是病情另有玄机?作为一名健康康复医生,我就带大家深入探讨这个问题,为你一一解惑,并提供科学的应对建议。
(一)先搞懂:MRA和MRI,这两位“侦察兵”有何不同?

要理解“MRA正常,MRI脑梗”这一现象,我们首先要明白MRA和MRI分别是什么,它们各自“侦察”的重点是什么。
-
MRI(磁共振成像):软组织的“超级显微镜”
- 作用:MRI利用磁场和无线电波,对人体进行多方位成像,对软组织(如脑、肌肉、韧带等)的分辨率极高。
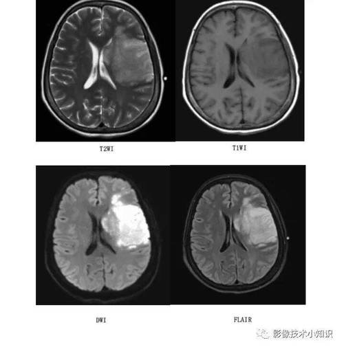
- 在脑梗中的应用:MRI能非常敏感地早期发现脑组织缺血、坏死的迹象,尤其是DWI序列(弥散加权成像),能在脑梗发生后的数分钟甚至更短时间内就显示出异常信号,是诊断急性脑梗的“金标准”之一,它能告诉我们“脑组织有没有梗塞”以及“梗塞的范围有多大”。
-
MRA(磁共振血管成像):血管的“透明管道工”
- 作用:MRA是MRI的一种特殊应用,无需造影剂(或少量造影剂)即可清晰地显示血管的结构、走行、有无狭窄、闭塞、动脉瘤或畸形等,它主要看“血管通不通,有没有明显病变”。
- 在脑梗中的应用:MRA可以帮助寻找脑梗的病因,比如大脑中动脉重度狭窄、颈内动脉闭塞等大血管病变导致的脑梗。
简单比喻:如果把大脑比作一片土地,MRI就是检查这片土地上的庄稼(脑组织)有没有旱死、坏死;而MRA则是检查灌溉这片土地的水管(血管)有没有堵塞、破裂或严重锈蚀。

(二)核心谜团:MRA正常,为何MRI却提示脑梗?
当MRA显示主要脑血管“正常”,而MRI却明确提示有脑梗塞时,通常有以下几种可能性,这也是临床较为常见的情况:
-
“小血管病变”是“元凶”——最常见的原因
- 解释:MRA虽然能清晰显示颅内主要的大血管(如颈内动脉、大脑中动脉、大脑前动脉、大脑后动脉及其主要分支),但对于更细小的穿通动脉(直径约0.2-1mm)的显示能力有限,这些穿通动脉深穿脑组织,主要负责供应基底节、丘脑、脑干等关键区域的血液。
- 关联:高血压、糖尿病、高脂血症等危险因素长期损害这些小血管,导致其玻璃样变性、纤维素样坏死或管腔闭塞,从而引起其供血区域的 small deep infarct(小深部梗塞),也就是我们常说的“腔隙性脑梗塞”,MRA大血管可能完全正常,但MRI却能清晰显示这些微小的梗塞灶。
-
“血管痉挛”或“血流动力学改变”
- 解释:在某些情况下,如蛛网膜下腔出血后、严重头痛或应激状态下,脑血管可能会发生痉挛,导致局部血流减少,形成脑梗,这种痉挛可能是暂时性的,MRA检查时痉挛已缓解,故显示正常,或者,由于心脏功能下降、血容量不足等原因,导致整体脑血流灌注压降低,主要血管虽然本身没问题,但远端血流不足,也可能形成分水岭梗塞或皮层下梗塞,MRA可无异常。
-
“栓塞来源”来自心脏或大动脉远端
- 解释:脑梗塞很多时候是由于血栓或斑块脱落(栓子)堵塞脑血管所致,如果栓子来源于心脏(如房颤附壁血栓、心内膜炎赘生物)或颈动脉/主动脉弓等大动脉的远端斑块脱落,这些栓子可能随机堵塞了较小的颅内分支血管,导致相应区域脑梗,而MRA检查时,栓子可能已自行溶解、移位或被冲走,或者堵塞的血管太小MRA未能清晰显示,其来源的近端大血管MRA则表现为“正常”。
-
“检查时机”与“栓子性质”
- 解释:对于急性血栓形成,如果MRA检查过早,血栓尚未完全形成或MRA技术未能捕捉到;或者栓子太小,MRA分辨率不足以发现,一些特殊的栓子(如脂肪栓子、空气栓子)可能MRA表现不典型。
-
“技术因素”与“解读差异”
- 解释:虽然MRA是成熟技术,但不同设备、不同参数设置、不同操作者的技术水平,以及图像后处理方式,都可能对结果产生影响,有时轻微的血管狭窄或斑块在MRA上可能未能清晰显示,被误判为“正常”,选择正规医疗机构和有经验的放射科医生解读报告非常重要。
-
“其他原因”导致的脑组织缺血坏死
- 解释:极少数情况下,如血管炎、静脉窦血栓形成、血液系统疾病(如高凝状态、真性红细胞增多症)等,也可能导致脑组织缺血坏死,而MRA对动脉的检查可能无明显异常,此时可能需要结合其他检查,如CTA、DSA、血管超声、血液检查等进一步明确。
(三)发现“MRA正常,MRI脑梗”,我该怎么办?—— 科学应对是关键
面对这样的检查结果,患者和家属不必过度恐慌,但也不能掉以轻心,以下 steps 请牢记:
-
第一步:寻求专业医生的综合评估
- 核心:影像学检查结果必须结合临床症状、体征及其他辅助检查进行综合判断。 立即就诊于神经内科或康复医学科医生,详细告知你的症状、起病方式、既往病史(高血压、糖尿病、心脏病等)、用药史等。
-
第二步:完善相关检查,明确病因
- 医生可能会建议你进行以下检查,以寻找脑梗的潜在原因:
- 颈动脉超声/椎动脉超声:评估颈部大动脉有无斑块、狭窄。
- 经颅多普勒超声(TCD):评估颅内血流速度及有无微栓子信号。
- 心脏检查:心电图、24小时动态心电图、心脏超声等,排除心律失常(如房颤)、心脏瓣膜病、心肌病等心源性栓塞可能。
- 血液检查:血常规、血糖、血脂、同型半胱氨酸、凝血功能、感染指标等,评估血管危险因素及高凝状态。
- 必要时DSA(数字减影血管造影):作为血管检查的“金标准”,能更清晰地显示各级血管,MRA不明确或有疑问时可能需要。
- 医生可能会建议你进行以下检查,以寻找脑梗的潜在原因:
-
第三步:明确诊断,个体化治疗
- 医生会根据所有信息,明确脑梗的类型、病因、责任血管及梗死范围,制定个体化的治疗方案:
- 急性期治疗:如果处于急性发病期(4.5-6小时内),符合适应症者,可能考虑静脉溶栓治疗;部分大血管闭塞者可能考虑动脉取栓。
- 二级预防治疗:
- 控制危险因素:严格控制血压、血糖、血脂达标;戒烟限酒;健康饮食(低盐低脂低糖);适量运动;控制体重。
- 药物治疗:根据病因可能需要长期服用抗血小板药物(如阿司匹林、氯吡格雷)或抗凝药物(如华法林、新型口服抗凝药)等。
- 康复治疗:对于已经出现神经功能缺损(如肢体无力、言语不清、吞咽困难等)的患者,早期、规范的康复训练至关重要,有助于改善功能,提高生活质量。
- 医生会根据所有信息,明确脑梗的类型、病因、责任血管及梗死范围,制定个体化的治疗方案:
-
第四步:定期复查,长期管理
脑梗是一种慢性病,需要长期管理,遵医嘱定期复查,监测病情变化及药物不良反应,及时调整治疗方案。
(四)康复医生温馨提示:重视预防,远离脑梗威胁
无论MRA是否正常,一旦MRI提示脑梗,都说明你的脑血管已经存在健康问题,以下几点对于预防和减少脑梗复发至关重要:
- “三高”是元凶,控制要严格:高血压、糖尿病、高脂血症是脑梗最主要的危险因素,务必将其控制在理想范围。
- 健康生活方式是基石:低盐低脂饮食,多吃蔬菜水果,全谷物;规律运动,每周至少150分钟中等强度有氧运动;戒烟限酒;保持健康体重。
- 保持良好心态:避免长期精神紧张、焦虑、抑郁,学会调节情绪。
- 警惕先兆症状:如突然出现的肢体麻木无力、言语不清、视物模糊、眩晕、剧烈头痛等,应立即就医,争分夺秒。
- 科学康复,重拾健康:脑梗后康复是一个长期过程,应在专业康复医师和治疗师指导下,进行循序渐进的康复训练。
(- 总结与鼓励)
“MRA正常,MRI脑梗”这一结果,虽然看似矛盾,但在临床上并不少见,多数情况下与小血管病变或其他非大血管狭窄因素有关,关键在于不要慌张,及时寻求专业神经内科医生的帮助,进行全面评估,明确病因,并接受科学规范的治疗和康复管理。
脑梗可防可控,通过积极控制危险因素、改善生活方式,配合医生的治疗,大多数患者可以有效预防复发,并最大限度地恢复功能,重拾生活信心,希望这篇文章能为你解开疑惑,指明方向,如果你或身边的人遇到类似情况,请务必重视,及早诊治!
(文章创作说明)
- 关键词布局:核心关键词“mra正常 mri脑梗”自然融入标题、引言、正文小标题及内容中,并适当使用相关长尾关键词,如“mri和mra区别”、“mra正常为什么会有脑梗”、“小血管病变脑梗”、“脑梗康复”等,以提升百度搜索匹配度。
- 用户需求洞察:直接针对用户的核心困惑——“为什么MRA正常MRI却有脑梗”以及“我该怎么办”,提供清晰、有条理的解答。
- 专业性与通俗性结合:作为“健康康复医生专家”,内容保证专业准确(如解释小血管病变、分水岭梗塞等),同时运用比喻(“侦察兵”、“超级显微镜”、“透明管道工”)等手法,让非专业用户易于理解。
- :采用引言、分点论述(MRA与MRI区别、原因分析、应对措施、温馨提示)、结语的结构,逻辑清晰,阅读体验好,利于用户快速获取信息。
- SEO优化包含核心关键词,段落清晰,使用小标题(H2/H3概念),内容详实,有助于搜索引擎抓取和排名。
- 价值输出:不仅解释现象,更提供实用的应对步骤和康复建议,体现“高级内容策划”的价值,吸引用户阅读和信任。
- 正向引导:结尾给予用户鼓励,强调积极防治的重要性,传递正能量。
希望这篇文章能满足您的要求!
