核心概念:一句话总结
- 脑梗 (Acute Infarction / 脑梗死):指正在发生的、由血管阻塞引起的脑组织缺血性坏死,这是一个急性、活动性的病理过程。
- 脑软化灶 (Encephalomalacia / 脑软化灶):指脑组织缺血坏死之后,被胶质细胞和液体(脑脊液)替代所形成的永久性、囊性的“疤痕”或“空洞”,这是一个慢性、陈旧性的病变。
打个比方:

(图片来源网络,侵删)
- 脑梗就像房子刚刚被火烧毁,现场还在冒烟、温度很高,结构正在崩塌。
- 脑软化灶就像房子被烧毁很多年后,只剩下一个空空的、充满水的地基,杂草丛生。
影像学详细对比(CT & MRI)
为了更清晰,我们用一个表格来对比:
| 特征 | 急性期脑梗 | 脑软化灶 |
|---|---|---|
| 病理基础 | 细胞毒性水肿、血管源性水肿、细胞坏死 | 液化坏死、胶质细胞增生、囊腔形成 |
| 发病时间 | 超急性期 (<6小时) 急性期 (6小时 - 3天) 亚急性期 (3天 - 3周) 慢性期 (>3周) |
通常指发病数周、数月甚至数年之后 |
| CT影像表现 | 超急性期/急性期: • 早期征象:脑沟、脑池变浅或消失,脑白质密度轻度减低(“致密动脉征”不常见)。 • 典型表现:发病24小时后,可见片状、楔形的低密度灶,边界模糊,范围与供血动脉区一致。 • 占位效应:早期不明显,随时间推移可出现,表现为脑室受压、中线移位。 • 脑出血转化:部分梗死灶内可继发出血,密度不均匀。 |
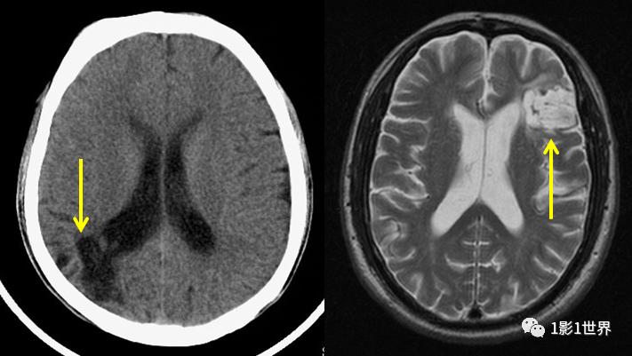
慢性期: • 形态:表现为低密度的囊腔,形态不规则,边界清晰锐利。 • 密度:与脑脊液密度相近(CT值接近0-10 HU)。 • 周围:常伴有局限性脑萎缩,如邻近的脑沟增深、脑室扩大。 • 占位效应:**无**或极轻微,甚至因局部萎缩而有“负占位”效应。 |
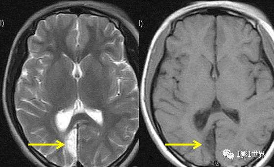
| MRI影像表现 | 这是诊断急性脑梗最敏感的检查 • 超急性期 (<6小时): • DWI (弥散加权成像):呈明显高信号 (“亮”信号),这是诊断早期脑梗的金标准。 • ADC (表观弥散系数):呈低信号 (“暗”信号),代表细胞毒性水肿。 • FLAIR/T2WI:可能尚未出现异常信号,或仅有轻微改变。 • 急性期 (6小时 - 3天): • DWI/ADC:仍然是高/低信号组合。 • T1WI:呈低信号。 • T2WI/FLAIR:呈高信号。 • GRE/SWI:可早期发现微出血。 • 亚急性/慢性期: • DWI:高信号逐渐减弱,转为等信号。 • T1WI:低信号,可出现“脑膜强化”。 • T2WI/FLAIR:高信号,范围可因水肿消退而相对缩小。 |
MRI表现非常具有特征性 • T1WI:呈极低信号(与脑脊液信号一致)。 • T2WI/FLAIR:呈极高信号(FLAIR上信号很高,与周围脑脊液信号差异大,这是与新鲜梗死的区别)。 • DWI/ADC:呈等信号(因为水分子可以自由弥散,没有受限)。 • GRE/SWI:常可见含铁血黄素沉积导致的低信号环或斑片状低信号(代表陈旧性出血)。 • 周围:可见明显的局部脑萎缩和胶质增生(T2WI/FLAIR上呈高信号的边缘环)。 |
动态演变过程理解
理解一个“脑梗”是如何最终变成“脑软化灶”的,有助于更好地记忆它们的区别:
- 超急性期 (数小时内):血管堵塞,细胞缺氧,细胞毒性水肿开始,此时CT可能完全正常,但MRI-DWI已经能明确捕捉到异常。
- 急性期 (6小时 - 3天):细胞死亡,血管源性水肿达到顶峰,CT上出现低密度灶,MRI上T2/FLAIR和DWI均为高信号,是诊断和治疗的关键窗口期。
- 亚急性期 (3天 - 3周):坏死组织被清除,炎症细胞浸润,开始修复,水肿逐渐消退,占位效应减轻,MRI上DWI高信号开始消失。
- 慢性期 (>3周):坏死组织被完全清除,由液体填充,形成囊腔,周围胶质细胞增生包裹,最终演变为脑软化灶,影像学上表现为一个边界清晰的“水泡”样结构,伴随周围脑萎缩。
临床意义与鉴别诊断
| 方面 | 急性期脑梗 | 脑软化灶 |
|---|---|---|
| 临床意义 | 医疗急症! 需要立即进行评估和治疗(如静脉溶栓、取栓),目的是挽救缺血半暗带,最大限度减少神经功能缺损。 | 陈旧性病变。 提示患者既往有“中风”病史,临床意义在于寻找病因(如高血压、房颤、动脉粥样硬化),预防复发,并进行康复治疗。 |
| 主要鉴别点 | “新”的、与症状相关的、可治疗的病变。 | “旧”的、可能无症状或遗留后遗症的、不可逆的病变。 |
需要鉴别的其他情况:
- 急性脑梗 vs 脑肿瘤: 梗死灶通常呈楔形、符合血管分布,而肿瘤形态多不规则,占位效应更显著,可强化,DWI信号模式不同。
- 脑软化灶 vs 蛛网膜囊肿: 两者在CT和T1/T2上信号相似,但蛛网膜囊肿边界更光滑,常位于脑沟/脑裂处,不伴有周围胶质增生和明显的局部脑萎缩,FLAIR上蛛网膜囊肿内信号与脑脊液一致(被抑制),而软化灶的囊液在FLAIR上仍为高信号。
- 脑软化灶 vs 脑穿通畸形囊肿: 后者是先天性发育异常,通常位于脑深部(如基底节区),形态更规则,不遵循血管分布。
| 核心区别 | 急性脑梗 | 脑软化灶 |
|---|---|---|
| 本质 | 急性事件 (正在坏死) | 慢性结局 (已坏死修复) |
| 时间 | 数小时至数周 | 数周至数年 |
| CT关键 | 低密度,边界模糊,可伴水肿 | 脑脊液样低密度,边界清晰,伴萎缩 |
| MRI关键 | DWI高信号,ADC低信号 (急性期) | DWI等信号,T1/T2与脑脊液一致,伴胶质环 |
| 临床 | 急诊! 立即干预 | 回顾性诊断 预防复发 |
通过影像学上的这些特征性差异,医生可以迅速判断患者是处于脑梗的急性期,还是留下了陈旧性的脑软化灶,从而制定完全不同的治疗方案。

(图片来源网络,侵删)

(图片来源网络,侵删)
